ARID1A Antibody (ARID1A/7735) - Azide and BSA Free

Images

 
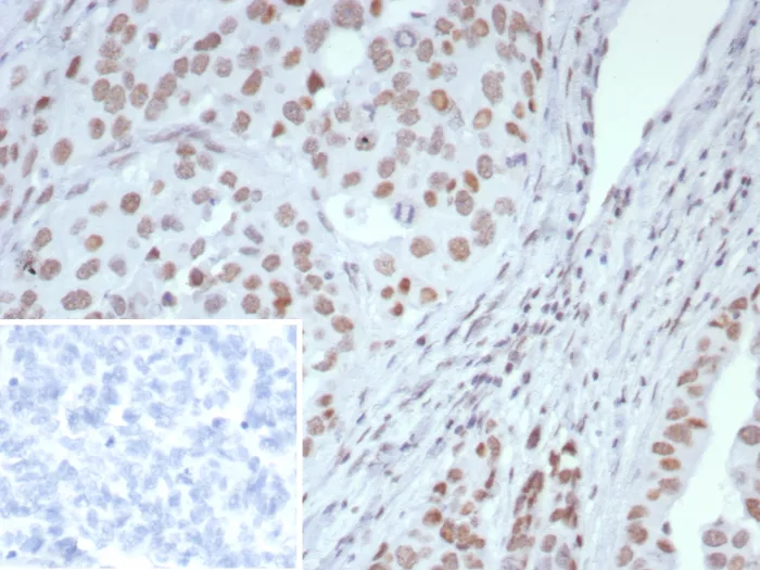
Formalin-fixed, paraffin-embedded human ovarian cancer stained with ARID1A Antibody (ARID1A/7735) - Azide and BSA Free. Inset: PBS instead of primary antibody; secondary only negative control.

Product Details

Summary
Reactivity HuSpecies Glossary
Applications IHC
Clone
ARID1A/7735
Clonality
Monoclonal
Host
Mouse
Conjugate
Unconjugated
Format
Azide and BSA Free
Concentration
1 mg/ml

Order Details

ARID1A Antibody (ARID1A/7735) - Azide and BSA Free Summary

Description
Antibody without azide - store at -20 to -80C. Non-hazardous. No MSDS required.
Immunogen
Recombinant fragment (around aa1900-2000) of human ARID1A protein (exact sequence is proprietary)
Localization
Nucleus
Isotype
IgG2b Kappa
Clonality
Monoclonal
Host
Mouse
Gene
ARID1A
Purity
Protein A or G purified
Innovator's Reward
Test in a species/application not listed above to receive a full credit towards a future purchase.

Applications/Dilutions

Dilutions
  • Immunohistochemistry-Paraffin 1-2ug/ml for 30 minutes at RT
Application Notes
Immunohistochemistry-Paraffin 1-2ug/ml for 30 minutes at RT. Optimal dilution for a specific application should be determined.. Staining of formalin-fixed tissues requires heating tissue sections in 10mM Tris with 1mM EDTA, pH 9.0, for 45 min at 95C followed by cooling at RT for 20 minutes

Packaging, Storage & Formulations

Storage
Store at -20 to -80C. Avoid freeze-thaw cycles.
Buffer
10mM PBS
Preservative
No Preservative
Concentration
1 mg/ml
Purity
Protein A or G purified

Alternate Names for ARID1A Antibody (ARID1A/7735) - Azide and BSA Free

  • ARID domain-containing protein 1A
  • AT rich interactive domain 1A (SWI- like)
  • AT rich interactive domain 1A (SWI-like)
  • AT-rich interactive domain-containing protein 1A
  • B120SWI-like protein
  • BAF250a
  • BAF250SWI/SNF complex protein p270
  • BM029
  • brain protein 120
  • BRG1-associated factor 250
  • BRG1-associated factor 250a
  • C10rf4
  • C1orf4SWI/SNF-related, matrix-associated, actin-dependent regulator of chromatinsubfamily F member 1
  • chromatin remodeling factor p250
  • hELD
  • hOSA1
  • matrix associated, actin dependent regulator of chromatin
  • Osa homolog 1
  • OSA1 nuclear protein
  • OSA1
  • P270
  • SMARCF1
  • subfamily f, member 1

Background

ARID1A encodes a member of the SWI/SNF family, whose members have helicase and ATPase activities and are thought to regulate transcription of certain ARID1A genes by altering the chromatin structure around those genes. The encoded protein is part of the large ATP-dependent chromatin remodeling complex SNF/SWI, which is required for transcriptional activation of genes normally repressed by chromatin. It possesses at least two conserved domains that could be important for its function. First, it has a DNA-binding domain that can specifically bind an AT-rich DNA sequence known to be recognized by a SNF/SWI complex at the beta-globin locus. Second, the C-terminus of the protein can stimulate glucocorticoid receptor-dependent transcriptional activation. It is thought that the protein encoded by this gene confers specificity to the SNF/SWI complex and may recruit the complex to its targets through either protein-DNA or protein-protein interactions. Two transcript variants encoding different isoforms have been found for this gene.

Limitations

This product is for research use only and is not approved for use in humans or in clinical diagnosis. Primary Antibodies are guaranteed for 1 year from date of receipt.

Customers Who Viewed This Item Also Viewed...

NBP2-61879
Species: Hu, Mu
Applications: ELISA, Flow, IHC,  IHC-P, WB
AF5738
Species: Hu
Applications: ICC, KO, Simple Western, WB
H00057492-M02
Species: Hu, Mu
Applications: ELISA, ICC/IF, IHC,  IHC-P, WB
NBP3-13283
Species: Hu, Mu, Rt
Applications: ICC/IF, IHC,  IHC-P, WB
NB200-103
Species: Hu, Mu, Rt, Xp(-), Ye
Applications: CyTOF-ready, ELISA, Flow-IC, Flow, ICC/IF, IHC, IHC-Fr,  IHC-P, IP, WB
NBP2-29463
Species: Pm, Hu, Pm, Mu
Applications: Flow, ICC/IF, IHC,  IHC-P, WB
NBP1-90014
Species: Hu, Mu, Rt
Applications: ICC/IF, IHC,  IHC-P, WB
NBP2-76978
Species: Hu, Mu, Rt
Applications: Flow, ICC/IF, IHC,  IHC-P, WB
NBP2-19804
Species: Hu, Mu
Applications: ICC/IF, IHC,  IHC-P, WB
NB100-79833
Species: Hu, Mu
Applications: ICC/IF, IHC,  IHC-P, IP, WB
NBP1-90017
Species: Hu
Applications: ICC/IF, IHC,  IHC-P, WB
NBP2-46085
Species: Hu
Applications: IHC,  IHC-P, WB
AF6897
Species: Hu, Mu
Applications: IHC, Simple Western, WB
H00027065-M01
Species: Hu, Rt
Applications: ELISA, ICC/IF, S-ELISA, WB
NBP2-20415
Species: Hu, Mu, Rt
Applications: ChIP, ICC/IF, IHC,  IHC-P, IP, WB
NB100-381
Species: Hu
Applications: ChIP, IP, WB
NB600-302
Species: Bv, Dr, Hu, Mu
Applications: ChIP, ELISA, Flow-IC, Flow, IB, ICC/IF, IHC, IHC-Fr,  IHC-P, IP, PLA, S-ELISA, Simple Western, WB
H00003845-M01
Species: Hu, Mu
Applications: ELISA, ICC/IF, IP, WB
NBP1-32870
Species: Ch, Hu
Applications: IHC,  IHC-P, IP, KD, WB
AF5415
Species: Hu
Applications: ICC, IHC, Simple Western, WB

Publications for ARID1A Antibody (NBP3-27036) (0)

There are no publications for ARID1A Antibody (NBP3-27036).
By submitting your publication information earn gift cards and discounts for future purchases.

Reviews for ARID1A Antibody (NBP3-27036) (0)

There are no reviews for ARID1A Antibody (NBP3-27036). By submitting a review you will receive an Amazon e-Gift Card or Novus Product Discount.
  • Review with no image -- $10/€7/£6/$10 CAD/¥70 Yuan/¥1110 Yen
  • Review with an image -- $25/€18/£15/$25 CAD/¥150 Yuan/¥2500 Yen

Product General Protocols

Find general support by application which include: protocols, troubleshooting, illustrated assays, videos and webinars.

FAQs for ARID1A Antibody (NBP3-27036) (0)

There are no specific FAQs related to this product. Read our general customer & technical service FAQs.

Secondary Antibodies

 

Isotype Controls

Additional ARID1A Products

Research Areas for ARID1A Antibody (NBP3-27036)

Find related products by research area.

Blogs on ARID1A

There are no specific blogs for ARID1A, but you can read our latest blog posts.

Customers Who Bought This Also Bought

Contact Information

Product PDFs

Calculators

Concentration Calculator

The concentration calculator allows you to quickly calculate the volume, mass or concentration of your vial. Simply enter your mass, volume, or concentration values for your reagent and the calculator will determine the rest.

=
÷

Review this Product

Be the first to review our ARID1A Antibody (ARID1A/7735) - Azide and BSA Free and receive a gift card or discount.

Bioinformatics

Gene Symbol ARID1A