Aquaporin-4 Antibody (AQP4/3324) - Azide and BSA Free

Images

 
Protein Array: Aquaporin-4 Antibody (AQP4/3324) - Azide and BSA Free [NBP3-14104] - Analysis of Protein Array containing more than 19,000 full-length human proteins using Aquaporin-4 Antibody (AQP4/3324).
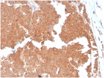
Formalin-fixed, paraffin-embedded human small intestine stained with Aquaporin-4 antibody (AQP4/3324). HIER: Tris/EDTA, pH9.0, 45min. Secondary: HRP-polymer, 30min. DAB, 5min.
Formalin-fixed, paraffin-embedded human small intestine stained with Aquaporin-4 antibody (AQP4/3324). HIER: Tris/EDTA, pH9.0, 45min. Secondary: HRP-polymer, 30min. DAB, 5min.

Product Details

Summary
Reactivity HuSpecies Glossary
Applications IHC, MA
Clone
AQP4/3324
Clonality
Monoclonal
Host
Mouse
Conjugate
Unconjugated
Format
Azide and BSA Free
Concentration
1 mg/ml

Order Details

Aquaporin-4 Antibody (AQP4/3324) - Azide and BSA Free Summary

Description
1.0 mg/ml of antibody purified from Bioreactor Concentrate by Protein A/G. Prepared in 10mM PBS WITHOUT BSA & azide. Also available at 200 ug/ml WITH BSA & azide (NBP3-13952).

Antibody with azide - store at 2 to 8C. Antibody without azide - store at -20 to -80 C.
Immunogen
Human recombinant Aquaporin-4 protein fragment (around aa254-323) (exact sequence is proprietary) (Uniprot: P55087)
Localization
Membrane
Isotype
IgG1 Kappa
Clonality
Monoclonal
Host
Mouse
Gene
AQP4
Purity
Protein A or G purified
Innovator's Reward
Test in a species/application not listed above to receive a full credit towards a future purchase.

Applications/Dilutions

Dilutions
  • Immunohistochemistry-Paraffin 1-2 ug/ml
  • Protein Array
Application Notes
Immunohistochemistry (Formalin-fixed): 1-2ug/ml for 30 minutes at RT. Staining of formalin-fixed tissues requires heating tissue sections in 10mM Tris with 1mM EDTA, pH 9.0, for 45 min at 95C followed by cooling at RT for 20 minutes
Theoretical MW
34 kDa.
Disclaimer note: The observed molecular weight of the protein may vary from the listed predicted molecular weight due to post translational modifications, post translation cleavages, relative charges, and other experimental factors.

Packaging, Storage & Formulations

Storage
Store at -20 to -80C. Avoid freeze-thaw cycles.
Buffer
10mM PBS
Preservative
No Preservative
Concentration
1 mg/ml
Purity
Protein A or G purified

Alternate Names for Aquaporin-4 Antibody (AQP4/3324) - Azide and BSA Free

  • AQP4
  • AQP-4
  • Aquaporin 4
  • MGC22454
  • MIWC
  • WCH4

Background

The Aquaporin-4 gene encodes a member of the aquaporin family of intrinsic membrane proteins that function as water-selectivechannels in the plasma membranes of many cells. The encoded protein is the predominant aquaporin found in brain. Twoalternatively spliced tra

Limitations

This product is for research use only and is not approved for use in humans or in clinical diagnosis. Primary Antibodies are guaranteed for 1 year from date of receipt.

Customers Who Viewed This Item Also Viewed...

NB600-749
Species: Hu
Applications: ELISA, ICC/IF, IHC, IHC-Fr,  IHC-P, WB
NB300-141
Species: Bv, Ch, Eq, Gp, Hu, Mu, Po, Rb, Rt
Applications: ICC/IF, IHC, IHC-Fr,  IHC-P, Simple Western, WB
NBP1-97927
Species: Hu, Mu, Rt
Applications: ICC/IF, IHC,  IHC-P, WB
NB110-74682
Species: Hu, Mu, Rt
Applications: ICC/IF, IHC, IHC-Fr,  IHC-P, WB
NBP2-67247
Species: Hu
Applications: ICC/IF, WB
NBP1-89953
Species: Hu, Mu
Applications: ICC/IF, IHC,  IHC-P
NBP1-20149
Species: Hu, Mu, Rt
Applications: IHC, IHC-Fr,  IHC-P, WB
7954-GM/CF
Species: Hu
Applications: BA
NBP1-30862
Species: Eq, Hu, Mu, Po
Applications: ICC/IF, IHC, IHC-Fr, WB
NBP2-42388
Species: Hu
Applications: ICC/IF, IHC,  IHC-P, KD, WB
NBP1-30865
Species: Hu
Applications: IHC,  IHC-P, WB
AF009
Species: Hu
Applications: IHC, WB
H00004340-B01P
Species: Hu, Rt
Applications: WB
DVE00
Species: Hu
Applications: ELISA
NBP1-87466
Species: Hu, Mu, Rt
Applications: ICC/IF, IHC-FrFl, IHC, IHC-Fr,  IHC-P, WB
NBP3-14104
Species: Hu
Applications: IHC, MA

Publications for Aquaporin-4 Antibody (NBP3-14104) (0)

There are no publications for Aquaporin-4 Antibody (NBP3-14104).
By submitting your publication information earn gift cards and discounts for future purchases.

Reviews for Aquaporin-4 Antibody (NBP3-14104) (0)

There are no reviews for Aquaporin-4 Antibody (NBP3-14104). By submitting a review you will receive an Amazon e-Gift Card or Novus Product Discount.
  • Review with no image -- $10/€7/£6/$10 CAD/¥70 Yuan/¥1110 Yen
  • Review with an image -- $25/€18/£15/$25 CAD/¥150 Yuan/¥2500 Yen

Product General Protocols

Find general support by application which include: protocols, troubleshooting, illustrated assays, videos and webinars.

FAQs for Aquaporin-4 Antibody (NBP3-14104) (0)

There are no specific FAQs related to this product. Read our general customer & technical service FAQs.

Secondary Antibodies

 

Isotype Controls

Additional Aquaporin-4 Products

Research Areas for Aquaporin-4 Antibody (NBP3-14104)

Find related products by research area.

Blogs on Aquaporin-4

There are no specific blogs for Aquaporin-4, but you can read our latest blog posts.

Customers Who Bought This Also Bought

Contact Information

Product PDFs

Calculators

Concentration Calculator

The concentration calculator allows you to quickly calculate the volume, mass or concentration of your vial. Simply enter your mass, volume, or concentration values for your reagent and the calculator will determine the rest.

=
÷

Review this Product

Be the first to review our Aquaporin-4 Antibody (AQP4/3324) - Azide and BSA Free and receive a gift card or discount.

Bioinformatics

Gene Symbol AQP4