alpha 1-Acid Glycoprotein Antibody (A2-B10)

Images

 
Western Blot: alpha 1-Acid Glycoprotein Antibody (A2-B10) [NBP2-76901] - Western blot analysis of Alpha-1-acid glycoprotein on recombinant protein using anti-Alpha-1-acid glycoprotein antibody at 1/5,000 (1), 1:20,000 ...read more
Immunohistochemistry: alpha 1-Acid Glycoprotein Antibody (A2-B10) [NBP2-76901] - Immunohistochemical analysis of paraffin-embedded human esophagus tissue using anti- Alpha-1-acid glycoprotein antibody. Counter stained ...read more
Flow Cytometry: alpha 1-Acid Glycoprotein Antibody (A2-B10) [NBP2-76901] - Flow cytometric analysis of HepG2 cells with Alpha-1-acid glycoprotein antibody at 1/100 dilution (red) compared with an unlabelled control ...read more
Immunohistochemistry: alpha 1-Acid Glycoprotein Antibody (A2-B10) [NBP2-76901] - Immunohistochemical analysis of paraffin-embedded rat liver tissue using anti- Alpha-1-acid glycoprotein antibody. Counter stained with ...read more
Immunohistochemistry: alpha 1-Acid Glycoprotein Antibody (A2-B10) [NBP2-76901] - Immunohistochemical analysis of paraffin-embedded human lung cancer tissue using anti-Alpha-1-acid glycoprotein antibody. Counter stained ...read more
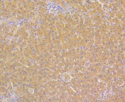
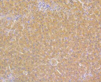
Immunohistochemistry: alpha 1-Acid Glycoprotein Antibody (A2-B10) [NBP2-76901] - Immunohistochemical analysis of paraffin-embedded mouse liver tissue using anti- Alpha-1-acid glycoprotein antibody. Counter stained with ...read more

Product Details

Summary
Product Discontinued
View other related alpha 1-Acid Glycoprotein Primary Antibodies

Order Details


    • Catalog Number
      NBP2-76901
    • Availability
      Product Discontinued

    Can't find what you are looking for? Use our Antibody Concierge Service & we will help you locate your antibody!

    Or feel free to contact us for alternative products.

alpha 1-Acid Glycoprotein Antibody (A2-B10) Summary

Immunogen
Recombinant protein within Human alpha 1-Acid Glycoprotein aa 1-201 / 201. (SwissProt: P02763 Human; SwissProt: Q60590 Mouse; SwissProt: P02764 Rat)
Localization
Secreted.
Isotype
IgG
Clonality
Monoclonal
Host
Mouse
Gene
ORM1
Purity
Protein G purified
Innovator's Reward
Test in a species/application not listed above to receive a full credit towards a future purchase.

Applications/Dilutions

Dilutions
  • Flow Cytometry 1:50-1:100
  • Immunohistochemistry
  • Immunohistochemistry-Paraffin 1:50-1:200
  • Western Blot 1:500
Theoretical MW
24 kDa.
Disclaimer note: The observed molecular weight of the protein may vary from the listed predicted molecular weight due to post translational modifications, post translation cleavages, relative charges, and other experimental factors.

Reactivity Notes

Mouse blocking reagent may be needed for IHC and ICC experiments to reduce high background signal. You can find these reagents under catalog numbers PK-2200-NB and MP-2400-NB. Please contact Technical Support if you have any. Please note that this antibody is reactive to Mouse and derived from the same host, Mouse. Mouse-On-questions.

Packaging, Storage & Formulations

Storage
Store at 4C short term. Aliquot and store at -20C long term. Avoid freeze-thaw cycles.
Buffer
PBS (pH7.4), 0.2% BSA, 50% Glycerol
Preservative
0.05% Sodium Azide
Concentration
2 mg/ml
Purity
Protein G purified

Alternate Names for alpha 1-Acid Glycoprotein Antibody (A2-B10)

  • AGP 1
  • AGP
  • AGP1
  • AGP1alpha-1-acid glycoprotein 1
  • AGPA
  • AGP-A
  • alpha 1Acid Glycoprotein
  • alpha 1-Acid Glycoprotein
  • OMD 1
  • ORM
  • ORM1
  • orosomucoid 1
  • Orosomucoid
  • orosomucoid-1

Background

Alpha 1 Acid Glycoprotein encodes a key acute phase plasma protein. Because of its increase due to acute inflammation, this protein is classified as an acute-phase reactant. The specific function of this protein has not yet been determined; however, it may be involved in aspects of immunosuppression.

Limitations

This product is for research use only and is not approved for use in humans or in clinical diagnosis. Primary Antibodies are guaranteed for 1 year from date of receipt.

Customers Who Viewed This Item Also Viewed...

NBP3-41442
Species: Hu, Rt
Applications: IHC,  IHC-P, WB
DFTA00
Species: Hu
Applications: ELISA
DHAPG0
Species: Hu
Applications: ELISA
2914-HT
Species: Hu
Applications: BA
NB300-917
Species: Hu, Mu
Applications: ICC/IF, IHC,  IHC-P
NB200-540
Species: Ec, Mu
Applications: CyTOF-ready, Flow-IC, Flow, IA, ICC/IF, IHC, IHC-Fr,  IHC-P, IP
664-LI
Species: Hu
Applications: BA
NBP2-75086
Species: Hu
Applications: IHC,  IHC-P, PEP-ELISA, WB
M6000B
Species: Mu
Applications: ELISA
NBP2-16374
Species: Hu, Mu, Rt, Ze
Applications: ICC/IF, IHC,  IHC-P, WB
MAB1455
Species: Hu
Applications: CyTOF-ready, Dual ISH-IHC, ICC, IHC, ICFlow, Simple Western, WB
NBP1-91803
Species: Hu
Applications: IHC,  IHC-P, WB
H00005688-M01
Species: Hu
Applications: ELISA, ICC/IF, IHC,  IHC-P, IP, S-ELISA, WB
NBP1-87404
Species: Hu, Mu, Rt
Applications: ICC/IF, IHC,  IHC-P, WB
AF1148
Species: Hu
Applications: CyTOF-ready, Flow, Simple Western, WB
NBP1-31589
Species: Hu, Mu
Applications: ICC/IF, IHC,  IHC-P, WB
MAB7724
Species: Hu
Applications: ICC, WB

Publications for alpha 1-Acid Glycoprotein Antibody (NBP2-76901) (0)

There are no publications for alpha 1-Acid Glycoprotein Antibody (NBP2-76901).
By submitting your publication information earn gift cards and discounts for future purchases.

Reviews for alpha 1-Acid Glycoprotein Antibody (NBP2-76901) (0)

There are no reviews for alpha 1-Acid Glycoprotein Antibody (NBP2-76901). By submitting a review you will receive an Amazon e-Gift Card or Novus Product Discount.
  • Review with no image -- $10/€7/£6/$10 CAD/¥70 Yuan/¥1110 Yen
  • Review with an image -- $25/€18/£15/$25 CAD/¥150 Yuan/¥2500 Yen

Product General Protocols

Find general support by application which include: protocols, troubleshooting, illustrated assays, videos and webinars.

Video Protocols

WB Video Protocol

FAQs for alpha 1-Acid Glycoprotein Antibody (NBP2-76901) (0)

There are no specific FAQs related to this product. Read our general customer & technical service FAQs.

Secondary Antibodies

 

Isotype Controls

Additional alpha 1-Acid Glycoprotein Products

Research Areas for alpha 1-Acid Glycoprotein Antibody (NBP2-76901)

Find related products by research area.

Blogs on alpha 1-Acid Glycoprotein

There are no specific blogs for alpha 1-Acid Glycoprotein, but you can read our latest blog posts.

Contact Information

Product PDFs

Calculators

Concentration Calculator

The concentration calculator allows you to quickly calculate the volume, mass or concentration of your vial. Simply enter your mass, volume, or concentration values for your reagent and the calculator will determine the rest.

=
÷

Review this Product

Be the first to review our alpha 1-Acid Glycoprotein Antibody (A2-B10) and receive a gift card or discount.

Bioinformatics

Gene Symbol ORM1