ALDH1L1 Antibody (ALDH1L1/7959) - Azide and BSA Free

Images

 
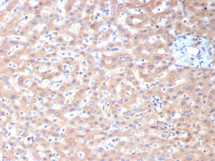
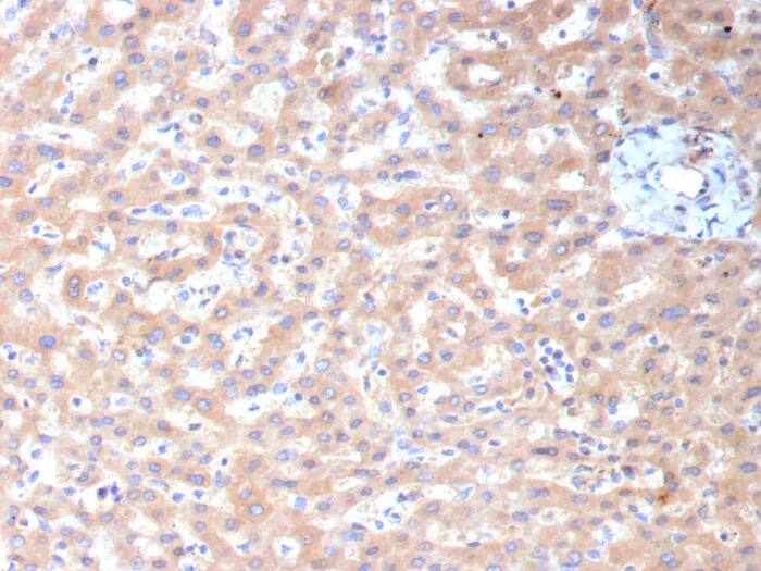
Immunohistochemistry-Paraffin: ALDH1L1 Antibody (ALDH1L1/7959) - Azide and BSA Free [NBP3-24222] - Formalin-fixed, paraffin-embedded human hepatocellular carcinoma stained with ALDH1L1 Antibody (ALDH1L1/7959). HIER: ...read more

Product Details

Summary
Reactivity HuSpecies Glossary
Applications IHC
Clone
ALDH1L1/7959
Clonality
Monoclonal
Host
Mouse
Conjugate
Unconjugated
Format
Azide and BSA Free
Concentration
1 mg/ml

Order Details

ALDH1L1 Antibody (ALDH1L1/7959) - Azide and BSA Free Summary

Description
Antibody without azide - store at -20 to -80C.
Immunogen
Recombinant fragment of human ALDH1L1 protein (exact sequence is proprietary)
Localization
Cytoplasm.
Isotype
IgG1 Kappa
Clonality
Monoclonal
Host
Mouse
Gene
ALDH1L1
Purity
Protein A or G purified
Innovator's Reward
Test in a species/application not listed above to receive a full credit towards a future purchase.

Applications/Dilutions

Dilutions
  • Immunohistochemistry-Paraffin 1-2ug/ml
Application Notes
Immunohistochemistry-Paraffin: 1-2ug/ml for 30 minutes at RT. Staining of formalin-fixed tissues requires heating tissue sections in 10mM Tris with 1mM EDTA, pH 9.0, for 45 min at 95C followed by cooling at RT for 20 minutes. Optimal dilution for a specific application should be determined.

Packaging, Storage & Formulations

Storage
Store at -20 to -80C. Avoid freeze-thaw cycles.
Buffer
10mM PBS
Preservative
No Preservative
Concentration
1 mg/ml
Purity
Protein A or G purified

Alternate Names for ALDH1L1 Antibody (ALDH1L1/7959) - Azide and BSA Free

  • 10-formyltetrahydrofolate dehydrogenase
  • aldehyde dehydrogenase 1 family, member L1
  • aldehyde dehydrogenase family 1 member L1
  • Cytosolic 10-formyltetrahydrofolate dehydrogenase
  • DKFZp781N0997
  • EC 1.5.1.6,10-FTHFDH
  • FDH
  • formyltetrahydrofolate dehydrogenase
  • FTHFD10-fTHF

Background

ALDH1L1 is encoded by this gene catalyzes the conversion of 10-formyltetrahydrofolate, NADP, and water to tetrahydrofolate, NADPH, and carbon dioxide. The encoded protein belongs to the aldehyde dehydrogenase family and is responsible for formate oxidation in vivo. Deficiencies in this gene can result in an accumulation of formate and subsequent methanol poisoning.

Limitations

This product is for research use only and is not approved for use in humans or in clinical diagnosis. Primary Antibodies are guaranteed for 1 year from date of receipt.

Customers Who Viewed This Item Also Viewed...

NBP2-49350
Species: Hu
Applications: IHC,  IHC-P, Simple Western, WB
NBP1-81838
Species: Hu
Applications: IHC,  IHC-P, WB
AF1936
Species: Hu
Applications: IP, WB
MAB1455
Species: Hu
Applications: CyTOF-ready, Dual ISH-IHC, ICC, IHC, ICFlow, Simple Western, WB
AF009
Species: Hu
Applications: IHC, WB
NBP1-81935
Species: Hu
Applications: ICC/IF, IHC,  IHC-P
NBP2-02164
Species: Hu, Mu, Rt
Applications: Flow, ICC/IF, IHC,  IHC-P, WB
NBP1-91942
Species: Hu, Mu, Rt
Applications: IHC,  IHC-P, WB
NBP1-86036
Species: Hu, Mu, Rt
Applications: ICC/IF, IHC,  IHC-P, KD, WB
NBP1-90906
Species: Hu, Mu, Rt
Applications: ICC/IF, IHC,  IHC-P, WB
NBP2-16679
Species: Dr, Hu, Mu, Rt
Applications: ELISA, ICC/IF, IHC,  IHC-P, WB
NBP1-48284
Species: Hu, Mu, Rt
Applications: ICC/IF, IHC,  IHC-P, WB
NBP2-24915
Species: Bv, Hu, Mu, Rt
Applications: IHC,  IHC-P, WB
NB200-103
Species: Hu, Mu, Rt, Xp(-), Ye
Applications: CyTOF-ready, ELISA, Flow-IC, Flow, ICC/IF, IHC, IHC-Fr,  IHC-P, IP, WB
NBP1-82847
Species: Hu
Applications: ICC/IF, IHC,  IHC-P, WB
H00000053-M01
Species: Hu
Applications: ELISA, ICC/IF, IHC,  IHC-P, KD, WB
NBP1-46179
Species: Hu
Applications: IHC,  IHC-P, IP, WB
NB100-56745
Species: Hu, Mu
Applications: ChIP, ChIP, ICC/IF, IHC,  IHC-P, IP, WB
H00055835-M02
Species: Hu
Applications: ELISA, IP, S-ELISA, WB
NBP3-24222
Species: Hu
Applications: IHC

Publications for ALDH1L1 Antibody (NBP3-24222) (0)

There are no publications for ALDH1L1 Antibody (NBP3-24222).
By submitting your publication information earn gift cards and discounts for future purchases.

Reviews for ALDH1L1 Antibody (NBP3-24222) (0)

There are no reviews for ALDH1L1 Antibody (NBP3-24222). By submitting a review you will receive an Amazon e-Gift Card or Novus Product Discount.
  • Review with no image -- $10/€7/£6/$10 CAD/¥70 Yuan/¥1110 Yen
  • Review with an image -- $25/€18/£15/$25 CAD/¥150 Yuan/¥2500 Yen

Product General Protocols

Find general support by application which include: protocols, troubleshooting, illustrated assays, videos and webinars.

FAQs for ALDH1L1 Antibody (NBP3-24222) (0)

There are no specific FAQs related to this product. Read our general customer & technical service FAQs.

Secondary Antibodies

 

Isotype Controls

Additional ALDH1L1 Products

Research Areas for ALDH1L1 Antibody (NBP3-24222)

Find related products by research area.

Blogs on ALDH1L1

There are no specific blogs for ALDH1L1, but you can read our latest blog posts.

Customers Who Bought This Also Bought

Contact Information

Product PDFs

Calculators

Concentration Calculator

The concentration calculator allows you to quickly calculate the volume, mass or concentration of your vial. Simply enter your mass, volume, or concentration values for your reagent and the calculator will determine the rest.

=
÷

Review this Product

Be the first to review our ALDH1L1 Antibody (ALDH1L1/7959) - Azide and BSA Free and receive a gift card or discount.

Bioinformatics

Gene Symbol ALDH1L1