Adrenomedullin R/ADMR/GPR182 Antibody

Images

 
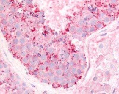
Immunohistochemistry-Paraffin: Adrenomedullin R/ADMR/GPR182 Antibody [NBP1-02674] - Staining of human testis.

Order Details


    • Catalog Number
      NBP1-02674
    • Availability
      Product Discontinued

    Can't find what you are looking for? Use our Antibody Concierge Service & we will help you locate your antibody!

    Or feel free to contact us for alternative products.

Adrenomedullin R/ADMR/GPR182 Antibody Summary

Immunogen
Synthetic 18 amino acid peptide from C-terminus of human GPR182 / ADMR.
Specificity
Human Adrenomedullin R/ADMR/GPR182. BLAST analysis of the peptide immunogen showed no homology with other human proteins.
Predicted Species
Monkey (94%). Backed by our 100% Guarantee.
Isotype
IgG
Clonality
Polyclonal
Host
Rabbit
Gene
GPR182
Purity
Immunogen affinity purified
Innovator's Reward
Test in a species/application not listed above to receive a full credit towards a future purchase.

Applications/Dilutions

Dilutions
  • ELISA
  • Immunohistochemistry 1:10 - 1:500
  • Immunohistochemistry-Paraffin 20 ug/ml
Application Notes
IHC: NBP1-02674 was validated for use in immunohistochemistry on a panel of 21 formalin-fixed, paraffin-embedded (FFPE) human tissues after heat induced antigen retrieval in pH 6.0 citrate buffer. After incubation with the primary antibody, slides were incubated with biotinylated secondary antibody, followed by alkaline phosphatase-streptavidin and chromogen. The stained slides were evaluated by a pathologist to confirm staining specificity.

Reactivity Notes

Predicted cross-reactivity based on sequence identity: Gibbon (100%), Gorilla (94%), Marmoset (83%).

Packaging, Storage & Formulations

Storage
Store at 4C short term. Aliquot and store at -20C long term. Avoid freeze-thaw cycles.
Buffer
PBS
Preservative
0.1% Sodium Azide
Concentration
1.0 mg/ml
Purity
Immunogen affinity purified

Alternate Names for Adrenomedullin R/ADMR/GPR182 Antibody

  • 7TMR
  • ADMR
  • Adrenomedullin R
  • adrenomedullin receptor
  • AdrenomedullinR
  • AMR
  • AM-R
  • G protein-coupled receptor 182,7TMR
  • G10D
  • GAMRH
  • Gpcr22
  • GPR182
  • G-protein coupled receptor 182
  • hrhAMR
  • MB10
  • MGC34399
  • NOW

Background

G Protein-Coupled Receptor L1/G10D (GPR182) has been suggested to be an Adrenomedullin Receptor. Originally cloned from rats and later from humans, L1/G10D does not to bind adrenomedullin or display functional cAMP response to adrenomedullin (reviewed in Poyner et al. 2002). The initial experimental results, which demonstrated high-affinity binding and increased levels of cAMP in COS cells that were transfected with L1/G10D and treated with adrenomedullin, could not be reproduced by other laboratories (Kapas et al. 1995). It is now known that the functional adrenomedullin receptor is a heterodimeric complex composed of calcitonin receptor-like receptor (CRLR) and receptor activity modifying proteins (RAMPs) (McLatchie et al. 1998). L1/G10D therefore should be considered an Orphan A receptor.

Limitations

This product is for research use only and is not approved for use in humans or in clinical diagnosis. Primary Antibodies are guaranteed for 1 year from date of receipt.

Customers Who Viewed This Item Also Viewed...

NLS6731
Species: Bv, Ca, Eq, Gt, Ha, Hu, Pm, Po, Pm, Rb, Rt, Xp
Applications: IHC,  IHC-P
NBP2-01853
Species: Hu, Pm
Applications: Flow, IHC,  IHC-P, WB
NB120-14817
Species: Hu, Rt
Applications: ICC/IF, IHC, S-ELISA, WB
AF1052
Species: Hu
Applications: CyTOF-ready, Flow, IHC, Simple Western, WB
AF6428
Species: Hu
Applications: IHC, WB
AF4875
Species: Hu
Applications: WB
NB100-40840
Species: Hu, Mu
Applications: IHC,  IHC-P, IP, WB
NB100-56490
Species: Ca, Hu, Pm
Applications: IHC,  IHC-P, WB
AF6517
Species: Hu
Applications: WB
NBP2-33680
Species: Hu
Applications: IHC,  IHC-P
NBP2-13628
Species: Hu
Applications: ICC/IF, IHC,  IHC-P, WB
NBP1-58023
Species: Hu
Applications: WB
NBP1-88582
Species: Hu
Applications: ICC/IF, IHC,  IHC-P, WB
MAB4614
Species: Hu
Applications: CyTOF-ready, Flow, KO
NBP1-30027
Species: Hu, Mu, Rt
Applications: ICC/IF, IHC,  IHC-P, WB
NBP2-92783
Species: Hu, Mu, Rt
Applications: IHC,  IHC-P, WB
H00003126-P01
Species: Hu
Applications: ELISA, AP, PA, WB
NB100-56603
Species: Ca, Hu, Mu, Pm, Rt
Applications: IHC,  IHC-P, WB
NBP1-02674
Species: Hu, Pm
Applications: ELISA, IHC

Publications for Adrenomedullin R/ADMR/GPR182 Antibody (NBP1-02674) (0)

There are no publications for Adrenomedullin R/ADMR/GPR182 Antibody (NBP1-02674).
By submitting your publication information earn gift cards and discounts for future purchases.

Reviews for Adrenomedullin R/ADMR/GPR182 Antibody (NBP1-02674) (0)

There are no reviews for Adrenomedullin R/ADMR/GPR182 Antibody (NBP1-02674). By submitting a review you will receive an Amazon e-Gift Card or Novus Product Discount.
  • Review with no image -- $10/€7/£6/$10 CAD/¥70 Yuan/¥1110 Yen
  • Review with an image -- $25/€18/£15/$25 CAD/¥150 Yuan/¥2500 Yen

Product General Protocols

Find general support by application which include: protocols, troubleshooting, illustrated assays, videos and webinars.

FAQs for Adrenomedullin R/ADMR/GPR182 Antibody (NBP1-02674) (0)

There are no specific FAQs related to this product. Read our general customer & technical service FAQs.

Secondary Antibodies

 

Isotype Controls

Additional Adrenomedullin R/ADMR/GPR182 Products

Research Areas for Adrenomedullin R/ADMR/GPR182 Antibody (NBP1-02674)

Find related products by research area.

Blogs on Adrenomedullin R/ADMR/GPR182

There are no specific blogs for Adrenomedullin R/ADMR/GPR182, but you can read our latest blog posts.

Contact Information

Product PDFs

Calculators

Concentration Calculator

The concentration calculator allows you to quickly calculate the volume, mass or concentration of your vial. Simply enter your mass, volume, or concentration values for your reagent and the calculator will determine the rest.

=
÷

Review this Product

Be the first to review our Adrenomedullin R/ADMR/GPR182 Antibody and receive a gift card or discount.

Bioinformatics

Gene Symbol GPR182
Uniprot