ADAR Antibody (CL0176) - Azide and BSA Free

Images

 
Staining of A549 cells using the Anti-ADAR monoclonal antibody) .
Orthogonal Strategies: Analysis in human cerebral cortex and skeletal muscle tissues using NBP3-44046 antibody. Corresponding ADAR RNA-seq data are presented for the same tissues.
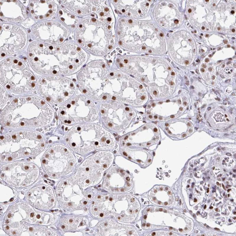
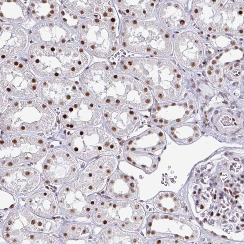
Staining of human kidney shows strong nuclear positivity in cells in tubules.
Staining of human cerebral cortex shows strong nuclear positivity in neurons.
Staining of human skeletal muscle shows no positivity in myocytes as expected.
Genetic Strategies: Analysis in U-251MG cells transfected with control siRNA, target specific siRNA probe #1 and #2, using Anti-ADAR antibody. Remaining relative intensity is presented. Loading control: ...read more
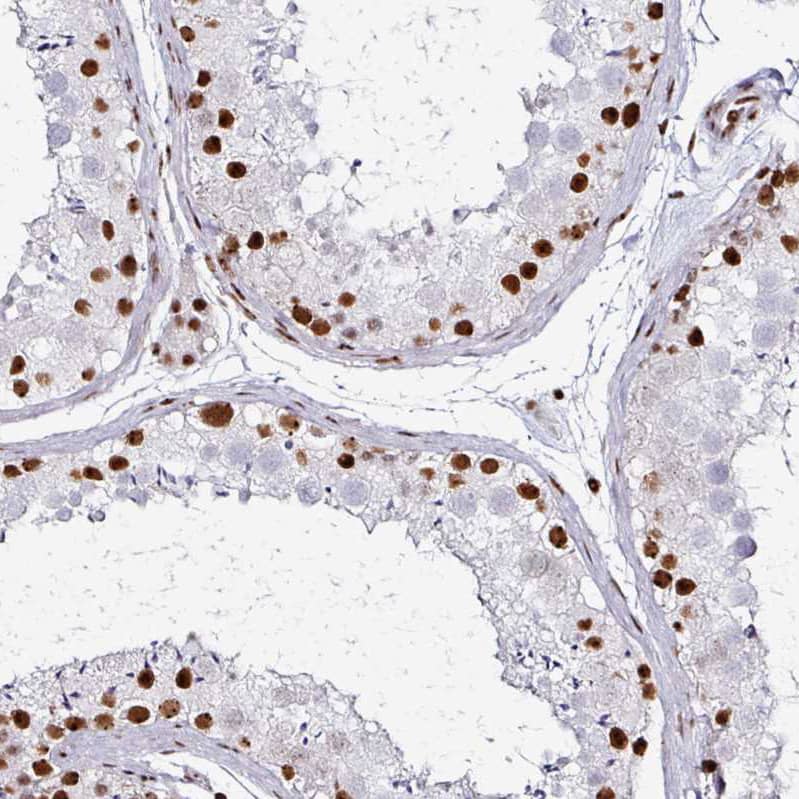
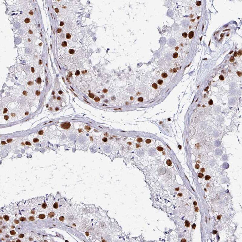
Staining of human testis shows strong nuclear positivity in cells in seminiferous ducts.

Product Details

Summary
Reactivity HuSpecies Glossary
Applications WB, ICC/IF, IHC
Clone
CL0176
Clonality
Monoclonal
Host
Mouse
Conjugate
Unconjugated
Format
Azide and BSA Free
Concentration
LYOPH

Order Details

ADAR Antibody (CL0176) - Azide and BSA Free Summary

Description
Novus Biologicals Mouse ADAR Antibody (CL0176) - Azide and BSA Free (NBP3-05500) is a monoclonal antibody validated for use in IHC, WB and ICC/IF. All Novus Biologicals antibodies are covered by our 100% guarantee.
Immunogen
This antibody was generated using a recombinant protein sequence of P55265, with the exact immunogen sequence remaining proprietary.
Isotype
IgG1
Clonality
Monoclonal
Host
Mouse
Gene
ADAR
Purity
Protein A purified
Innovator's Reward
Test in a species/application not listed above to receive a full credit towards a future purchase.

Applications/Dilutions

Dilutions
  • Immunocytochemistry/ Immunofluorescence 2-10 ug/ml
  • Immunohistochemistry-Paraffin 1:500 - 1:1000
  • Western Blot 1 ug/ml
Application Notes
For IHC-Paraffin, HIER pH 6 retrieval is recommended. For Immunocytochemistry/ Immunofluorescence/IF fixation permeabilization use PFA/Triton X-100.

Packaging, Storage & Formulations

Storage
Store at 4C short term. Aliquot and store at -20C long term. Avoid freeze-thaw cycles.
Buffer
Lyophilized from a 0.2 um filtered solution in PBS with Trehalose
Preservative
No Preservative
Concentration
LYOPH
Purity
Protein A purified
Reconstitution Instructions
Centrifuge the vial of lyophilized antibody at 12,000 x g for 20 seconds. Reconstitute by adding sterile, distilled water to achieve a final antibody concentration of 1mg/ml.

Alternate Names for ADAR Antibody (CL0176) - Azide and BSA Free

  • ADAR
  • ADAR1
  • ADAR1DSH
  • adenosine deaminase, RNA-specific
  • DRADA
  • DRADAP136
  • DSRAD
  • DSRADadenosine deaminase acting on RNA 1-A
  • EC 3.5.4
  • EC 3.5.4.-
  • EC 3.5.4.37
  • G1P1
  • G1P1double-stranded RNA-specific adenosine deaminase
  • IFI4
  • IFI-4
  • IFI4dsRNA adenosine deaminase
  • interferon-induced protein 4
  • Interferon-inducible protein 4
  • K88DSRBP
  • p136
  • p136,136 kDa double-stranded RNA-binding protein

Background

ADAR encodes the enzyme responsible for RNA editing by site-specific deamination of adenosines. This enzyme destabilizes double stranded RNA through conversion of adenosine to inosine. Mutations in this gene have been associated with dyschromatosis symmetrica hereditaria. Alternate transcriptional splice variants, encoding different isoforms, have been characterized. [provided by RefSeq]

Limitations

This product is for research use only and is not approved for use in humans or in clinical diagnosis. Primary Antibodies are guaranteed for 1 year from date of receipt.

Customers Who Viewed This Item Also Viewed...

NBP1-87404
Species: Hu, Mu, Rt
Applications: Flow, ICC/IF, IHC,  IHC-P, KD, WB
H00000104-B01P
Species: Hu
Applications: ICC/IF, WB
NB100-93325
Species: Hu
Applications: ICC/IF, IP, WB
NBP2-75510
Species: Hu, Mu, Rt
Applications: ICC/IF, IHC,  IHC-P, IP, WB
AF8519
Species: Hu, Mu, Rt
Applications: Simple Western, WB
NBP1-77266
Species: Hu, Mu, Rt
Applications: ELISA, ICC/IF, IHC,  IHC-P, WB
AF1329
Species: Hu, Mu, Rt
Applications: ChIP, CyTOF-ready, ICC, IHC, ICFlow, Simple Western, WB
NBP1-57558
Species: Hu, Mu
Applications: WB
NBP2-75930
Species: Hu, Mu, Rt
Applications: Flow, ICC/IF, IHC,  IHC-P, WB
AF3398
Species: Hu, Mu, Rt
Applications: ICC, KO, Simple Western, WB
NBP2-58917
Species: Hu
Applications: IHC,  IHC-P, WB
NBP1-86616
Species: Hu
Applications: IHC,  IHC-P, WB
AF6278
Species: Hu, Mu
Applications: WB
AF1927
Species: Hu
Applications: IP, WB
AF7164
Species: Hu
Applications: WB
NBP2-92847
Species: Hu, Mu, Rt
Applications: ICC/IF, IHC,  IHC-P, WB
NLS892
Species: Bt, Bv, Ca, Ha, Hu, Mu, Po, Rb, Rt
Applications: ICC, IHC,  IHC-P, WB
NBP1-51575
Species: Hu, Mu
Applications: ELISA, Flow, ICC/IF, IHC,  IHC-P, WB

Publications for ADAR Antibody (NBP3-44046) (0)

There are no publications for ADAR Antibody (NBP3-44046).
By submitting your publication information earn gift cards and discounts for future purchases.

Reviews for ADAR Antibody (NBP3-44046) (0)

There are no reviews for ADAR Antibody (NBP3-44046). By submitting a review you will receive an Amazon e-Gift Card or Novus Product Discount.
  • Review with no image -- $10/€7/£6/$10 CAD/¥70 Yuan/¥1110 Yen
  • Review with an image -- $25/€18/£15/$25 CAD/¥150 Yuan/¥2500 Yen

Product General Protocols

Find general support by application which include: protocols, troubleshooting, illustrated assays, videos and webinars.

Video Protocols

WB Video Protocol
ICC/IF Video Protocol

FAQs for ADAR Antibody (NBP3-44046) (0)

There are no specific FAQs related to this product. Read our general customer & technical service FAQs.

Customers Who Bought This Also Bought

Contact Information

Product PDFs

Calculators

Concentration Calculator

The concentration calculator allows you to quickly calculate the volume, mass or concentration of your vial. Simply enter your mass, volume, or concentration values for your reagent and the calculator will determine the rest.

=
÷

Review this Product

Be the first to review our ADAR Antibody (CL0176) - Azide and BSA Free and receive a gift card or discount.

Bioinformatics

Gene Symbol ADAR