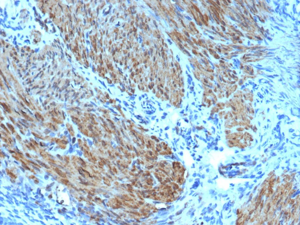
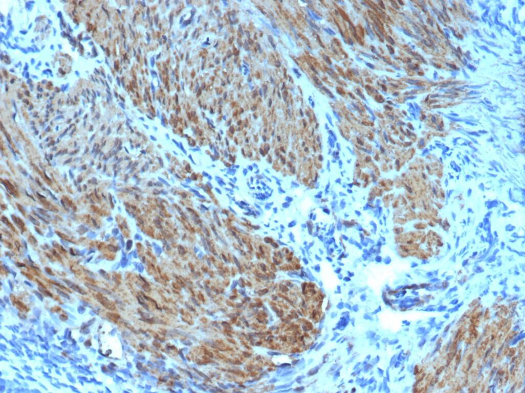
Actin (Muscle Specific) Antibody (rMSA/953) - Azide and BSA Free

Images

 

Product Details

Summary
Reactivity Hu, Rt, RbSpecies Glossary
Applications WB, IHC
Clone
rMSA/953
Clonality
Monoclonal
Host
Mouse
Conjugate
Unconjugated
Format
Azide and BSA Free
Concentration
1 mg/ml

Order Details

Actin (Muscle Specific) Antibody (rMSA/953) - Azide and BSA Free Summary

Description
1.0 mg/ml of antibody purified from Bioreactor Concentrate by Protein A/G. Prepared in 10mM PBS WITHOUT BSA & azide. Also available at 200 ug/ml WITH BSA & azide (NBP3-13908).

Antibody with azide - store at 2 to 8C. Antibody without azide - store at -20 to -80 C.
Additional Information
Recombinant Monoclonal Antibody
Immunogen
Recombinant protein corresponding to human muscle actin
Localization
Cytoplasm
Marker
Muscle Cell Marker
Specificity
This antibody recognizes actin of skeletal, cardiac, and smooth muscle cells. It is not reactive with other mesenchymal cells except for myoepithelium. Actin can be resolved on the basis of its isoelectric points into three distinctive components: alpha, beta, and gamma in order of increasing isoelectric point. Anti-muscle specific actin recognizes alpha and gamma isotypes of all muscle groups. Non-muscle cells such as vascular endothelial cells and connective tissues are non-reactive. Also, neoplastic cells of non-muscle-derived tissue such as carcinomas, melanomas, and lymphomas are negative. It stains tumors of smooth muscle (leiomyomas and leiomyosarcomas) as well as skeletal muscle (rhabdomyomas and rhabdomyosarcomas).
Isotype
IgG1 Kappa
Clonality
Monoclonal
Host
Mouse
Gene
ACTA1
Purity
Protein A or G purified
Innovator's Reward
Test in a species/application not listed above to receive a full credit towards a future purchase.

Applications/Dilutions

Dilutions
  • Immunohistochemistry-Paraffin 0.5-2 ug/ml
  • Western Blot 0.5-1.0 ug/ml
Application Notes
Immunohistochemistry (Formalin-fixed): 0.5-2ug/ml for 30 minutes at RT. Staining of formalin-fixed tissues requires heating tissue sections in 10mM Tris with 1mM EDTA, pH 9.0, for 45 min at 95C followed by cooling at RT for 20 minutes
Theoretical MW
42 kDa.
Disclaimer note: The observed molecular weight of the protein may vary from the listed predicted molecular weight due to post translational modifications, post translation cleavages, relative charges, and other experimental factors.

Packaging, Storage & Formulations

Storage
Store at -20 to -80C. Avoid freeze-thaw cycles.
Buffer
10mM PBS
Preservative
No Preservative
Concentration
1 mg/ml
Purity
Protein A or G purified

Alternate Names for Actin (Muscle Specific) Antibody (rMSA/953) - Azide and BSA Free

  • ACTA
  • ACTC
  • actin, alpha 2, smooth muscle, aorta
  • actin, alpha cardiac muscle 1
  • actin, alpha skeletal muscle
  • actin, aortic smooth muscle
  • ACTSA
  • alpha-cardiac actin
  • ASD5
  • ASMA
  • Cell growth-inhibiting gene 46 protein
  • CFTD
  • CFTD1
  • CFTDM
  • CMD1R
  • CMH11
  • MPFD
  • NEM1
  • NEM2
  • NEM3
  • nemaline myopathy type 3

Limitations

This product is for research use only and is not approved for use in humans or in clinical diagnosis. Primary Antibodies are guaranteed for 1 year from date of receipt.

Customers Who Viewed This Item Also Viewed...

NBP1-81838
Species: Hu, Mu
Applications: IHC,  IHC-P, WB
MAB1455
Species: Hu
Applications: CyTOF-ready, Dual ISH-IHC, ICC, IHC, ICFlow, Simple Western, WB
664-LI
Species: Hu
Applications: BA
NB100-56503
Species: Dr, Hu, Mu, Rb, Rt
Applications: Flow-CS, Flow-IC, Flow, IB, ICC/IF, IHC,  IHC-P, Simple Western, WB
H00151056-B01P
Species: Hu, Mu
Applications: WB
AF3844
Species: Hu, Mu
Applications: IHC
NB300-223
Species: Bv, Ca, Ch, Eq, Hu, Mu, Po, Rt
Applications: ICC/IF, IHC, IHC-Fr,  IHC-P, WB
NB120-2860
Species: Ba, Bv, Ch, Hu, Mu, Rt
Applications: ELISA, Flow, ICC/IF, IHC,  IHC-P, WB
NBP2-15669
Species: Mu, Rt, Ze
Applications: IHC-WhMt, IHC, WB
NB120-11099
Species: Al, Am, Av, Bv, Ch, Fi, Hu, Mu, Po, Rb, Rt
Applications: ICC/IF, IHC, WB
NBP2-14871
Species: Mu, Rt
Applications: ICC/IF, WB
MAB1417
Species: Bv, Hu, Mu
Applications: ICC, IHC
NBP1-32870
Species: Ch, Hu
Applications: IHC,  IHC-P, IP, KD, WB
H00007170-M02
Species: Hu
Applications: ELISA, IHC,  IHC-P, S-ELISA, WB
MAB5018
Species: Hu
Applications: IP, WB
NB300-560
Species: Av, Bv, Ma, Hu, Mu, Pm, Rt
Applications: IF, IHC, IHC-Fr,  IHC-P, WB
MAB2669
Species: Hu
Applications: IHC, Simple Western, WB
NBP3-14096
Species: Hu, Rt, Rb
Applications: WB, IHC

Publications for Actin (Muscle Specific) Antibody (NBP3-14096) (0)

There are no publications for Actin (Muscle Specific) Antibody (NBP3-14096).
By submitting your publication information earn gift cards and discounts for future purchases.

Reviews for Actin (Muscle Specific) Antibody (NBP3-14096) (0)

There are no reviews for Actin (Muscle Specific) Antibody (NBP3-14096). By submitting a review you will receive an Amazon e-Gift Card or Novus Product Discount.
  • Review with no image -- $10/€7/£6/$10 CAD/¥70 Yuan/¥1110 Yen
  • Review with an image -- $25/€18/£15/$25 CAD/¥150 Yuan/¥2500 Yen

Product General Protocols

Find general support by application which include: protocols, troubleshooting, illustrated assays, videos and webinars.

Video Protocols

WB Video Protocol

FAQs for Actin (Muscle Specific) Antibody (NBP3-14096) (0)

There are no specific FAQs related to this product. Read our general customer & technical service FAQs.

Secondary Antibodies

 

Isotype Controls

Additional Actin (Muscle Specific) Products

Research Areas for Actin (Muscle Specific) Antibody (NBP3-14096)

Find related products by research area.

Blogs on Actin (Muscle Specific)

There are no specific blogs for Actin (Muscle Specific), but you can read our latest blog posts.

Customers Who Bought This Also Bought

Contact Information

Product PDFs

Calculators

Concentration Calculator

The concentration calculator allows you to quickly calculate the volume, mass or concentration of your vial. Simply enter your mass, volume, or concentration values for your reagent and the calculator will determine the rest.

=
÷

Review this Product

Be the first to review our Actin (Muscle Specific) Antibody (rMSA/953) - Azide and BSA Free and receive a gift card or discount.

Bioinformatics

Gene Symbol ACTA1