5-HT2A Antibody

Images

 
Orthogonal Strategies: Immunohistochemistry-Paraffin: 5-HT2A Antibody [NBP1-90318] - Analysis in human cerebral cortex and liver tissues. Corresponding 5-HT2A RNA-seq data are presented for the same tissues.
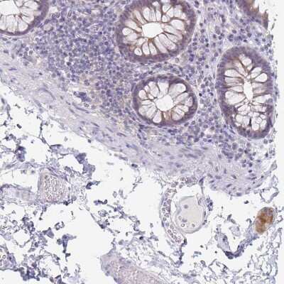
Immunohistochemistry-Paraffin: 5-HT2A Antibody [NBP1-90318] - Staining of human colon shows strong cytoplasmic positivity in peripheral ganglion.
Immunohistochemistry-Paraffin: 5-HT2A Antibody [NBP1-90318] - Staining of human caudate putamen shows moderate membranous positivity in glial cells.
Immunohistochemistry-Paraffin: 5-HT2A Antibody [NBP1-90318] - Staining of human cerebral cortex shows weak positivity in plasma membrane in glial cells.
Immunohistochemistry-Paraffin: 5-HT2A Antibody [NBP1-90318] - Staining of human liver shows no membranous positivity in hepatocytes as expected.
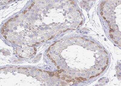
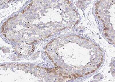
Immunohistochemistry-Paraffin: 5-HT2A Antibody [NBP1-90318] - Staining of human testis shows low membranous positivity in cells in seminiferous ducts as expected.
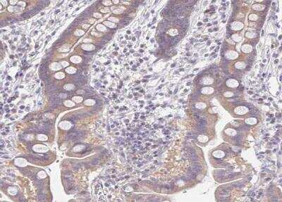
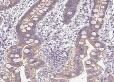
Immunohistochemistry-Paraffin: 5-HT2A Antibody [NBP1-90318] - Staining of human small intestine shows very weak membranous positivity in glanular cells as expected.
Immunohistochemistry-Paraffin: 5-HT2A Antibody [NBP1-90318] - Analysis in human cerebral cortex and liver tissues using NBP1-90318 antibody. Corresponding HTR2A RNA-seq data are presented for the same tissues.
Immunohistochemistry-Paraffin: 5-HT2A Antibody [NBP1-90318] - Staining of human caudate nucleus shows moderate cytoplasmic positivity in neuronal cell bodies and processes.
Immunohistochemistry-Paraffin: 5-HT2A Antibody [NBP1-90318] - Staining of human cerebral cortex shows moderate cytoplasmic positivity in neurons.
Immunohistochemistry-Paraffin: 5-HT2A Antibody [NBP1-90318] - Staining of human liver shows no positivity in hepatocytes as expected.

Product Details

Summary
Product Discontinued
View other related 5-HT2A Primary Antibodies
Validated by:
       

Orthogonal Strategies

 

Order Details


    • Catalog Number
      NBP1-90318
    • Availability
      Product Discontinued

    Can't find what you are looking for? Use our Antibody Concierge Service & we will help you locate your antibody!

    Or feel free to contact us for alternative products.

5-HT2A Antibody Summary

Immunogen
This antibody was developed against Recombinant Protein corresponding to amino acids: TIKSLQKEATLCVSDLGTRAKLASFSFLPQSSLSSEKLFQRSIHREPGSYTGRRTMQSISNEQ
Predicted Species
Mouse (95%), Rat (97%). Backed by our 100% Guarantee.
Isotype
IgG
Clonality
Polyclonal
Host
Rabbit
Gene
HTR2A
Purity
Immunogen affinity purified
Innovator's Reward
Test in a species/application not listed above to receive a full credit towards a future purchase.

Applications/Dilutions

Dilutions
  • Immunocytochemistry/ Immunofluorescence
  • Immunohistochemistry 1:50 - 1:200
  • Immunohistochemistry-Paraffin 1:50-1:200
Application Notes
For IHC-Paraffin, HIER pH 6 retrieval is recommended. Use in ICC/IF reported in scientific literature (PMID:32355561).
Publications
Read Publication using
NBP1-90318 in the following applications:

Packaging, Storage & Formulations

Storage
Store at 4C short term. Aliquot and store at -20C long term. Avoid freeze-thaw cycles.
Buffer
PBS (pH 7.2) and 40% Glycerol
Preservative
0.02% Sodium Azide
Purity
Immunogen affinity purified

Alternate Names for 5-HT2A Antibody

  • 5-HT2 receptor
  • 5-HT-2
  • 5HT2A
  • 5-HT2A
  • 5-HT-2A
  • 5-hydroxytryptamine (serotonin) receptor 2A
  • 5-hydroxytryptamine receptor 2A
  • HTR2,5-HT2A
  • HTR2A
  • serotonin 5-HT-2A receptor
  • Serotonin receptor 2A

Background

The 5HT2A Receptor gene encodes one of the receptors for serotonin, a neurotransmitter with many roles. Mutations in this gene areassociated with susceptibility to schizophrenia and obsessive-compulsive disorder, and are also associated withresponse to the antidepressant citalopram in patients with major depressive disorder (MDD). MDD patients who also havea mutation in intron 2 of this gene show a significantly reduced response to citalopram as this antidepressantdownregulates expression of this gene. Multiple transcript variants encoding different isoforms have been found forthis gene. (provided by RefSeq)

Limitations

This product is for research use only and is not approved for use in humans or in clinical diagnosis. Primary Antibodies are guaranteed for 1 year from date of receipt.

Customers Who Viewed This Item Also Viewed...

NBP2-21590
Species: Hu, Mu
Applications: ICC/IF, IHC-Fr, Simple Western, WB
MAB5764
Species: Hu
Applications: CyTOF-ready, Flow, IHC
NB100-56350
Species: Hu, Mu, Rt
Applications: WB
H00006532-D01P
Species: Hu, Mu
Applications: WB
NBP1-00178
Species: Hu, Mu, Sh
Applications: Flow, ICC/IF, IHC, IHC-Fr, PEP-ELISA, WB
NBP1-55429
Species: Hu, Mu
Applications: ICC/IF, WB
NBP1-78403
Species: Hu
Applications: ICC/IF, WB
NBP3-25443
Species: Hu, Mu, Rt
Applications: Flow, Func, ICC/IF, IHC,  IHC-P, WB
AF1445
Species: Mu, Rt
Applications: ELISA(Cap), ELISA(Det), ELISA(Sta), IHC, Neut, Simple Western, WB
NBP1-88927
Species: Hu, Mu
Applications: ICC/IF, IHC,  IHC-P, WB
NBP1-89396
Species: Hu
Applications: ICC/IF, IHC,  IHC-P, WB
NB100-56352
Species: Ca, Hu, Mu, Rt
Applications: Flow, ICC/IF, Simple Western, WB
NB100-1533
Species: Hu, Mu, Po, Rt, Sh
Applications: Flow, ICC/IF, IHC,  IHC-P, PEP-ELISA, WB
NBP2-15954
Species: Hu, Rt
Applications: IHC,  IHC-P, KO, WB
NBP1-46557
Species: Mu, Rt
Applications: IHC, WB
NBP1-90318
Species: Hu, Mu, Rt
Applications: ICC/IF, IHC

Publications for 5-HT2A Antibody (NBP1-90318)(1)

We have publications tested in 1 confirmed species: Human.

We have publications tested in 1 application: ICC/IF.


Filter By Application
ICC/IF
(1)
All Applications
Filter By Species
Human
(1)
All Species

Reviews for 5-HT2A Antibody (NBP1-90318) (0)

There are no reviews for 5-HT2A Antibody (NBP1-90318). By submitting a review you will receive an Amazon e-Gift Card or Novus Product Discount.
  • Review with no image -- $10/€7/£6/$10 CAD/¥70 Yuan/¥1110 Yen
  • Review with an image -- $25/€18/£15/$25 CAD/¥150 Yuan/¥2500 Yen

Product General Protocols

Find general support by application which include: protocols, troubleshooting, illustrated assays, videos and webinars.

Video Protocols

ICC/IF Video Protocol

FAQs for 5-HT2A Antibody (NBP1-90318) (0)

There are no specific FAQs related to this product. Read our general customer & technical service FAQs.

Secondary Antibodies

 

Isotype Controls

Additional 5-HT2A Products

Research Areas for 5-HT2A Antibody (NBP1-90318)

Find related products by research area.

Blogs on 5-HT2A

There are no specific blogs for 5-HT2A, but you can read our latest blog posts.

Contact Information

Product PDFs

Calculators

Concentration Calculator

The concentration calculator allows you to quickly calculate the volume, mass or concentration of your vial. Simply enter your mass, volume, or concentration values for your reagent and the calculator will determine the rest.

=
÷

Review this Product

Be the first to review our 5-HT2A Antibody and receive a gift card or discount.

Bioinformatics

Gene Symbol HTR2A
Entrez
Uniprot