5-HT1F Antibody - BSA Free

Images

 
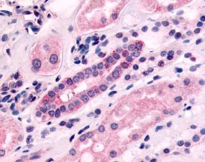
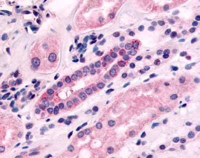
Immunohistochemistry-Paraffin: 5-HT1F Antibody [NLS3338] - Analysis of anti-5HT1F Receptor antibody with human kidney, renal tubules.

Product Details

Summary
Product Discontinued
View other related 5-HT1F Primary Antibodies

Order Details


    • Catalog Number
      NLS3338
    • Availability
      Product Discontinued

    Can't find what you are looking for? Use our Antibody Concierge Service & we will help you locate your antibody!

    Or feel free to contact us for alternative products.

5-HT1F Antibody - BSA Free Summary

Description
Product can be stored undiluted at 4C for up to 1 month.
Immunogen
Synthetic 19 amino acid peptide from N-terminal extracellular domain of human 5-HT1F.
Epitope
N-Terminus extracellular domain
Localization
Integral membrane protein
Specificity
Human 5-HT1F. BLAST analysis of the peptide immunogen showed no homology with other human proteins.
Predicted Species
Mouse (95%), Orangutan (100%), Chimpanzee (100%), Bat (95%). Backed by our 100% Guarantee.
Isotype
IgG
Clonality
Polyclonal
Host
Rabbit
Gene
HTR1F
Purity
Immunogen affinity purified
Innovator's Reward
Test in a species/application not listed above to receive a full credit towards a future purchase.

Applications/Dilutions

Dilutions
  • Immunohistochemistry
  • Immunohistochemistry-Paraffin 5 - 8 ug/ml

Reactivity Notes

Predicted cross-reactivity based on sequence identity: Gorilla (100%), Gibbon (100%).

Packaging, Storage & Formulations

Storage
Keep as concentrated solution. Aliquot and store at -20C or below. Avoid multiple freeze-thaw cycles.
Buffer
PBS
Preservative
0.1% Sodium Azide
Concentration
1.0 mg/ml
Purity
Immunogen affinity purified

Alternate Names for 5-HT1F Antibody - BSA Free

  • 5HT1F
  • 5-HT1F
  • 5-HT-1F
  • 5HT6
  • 5-hydroxytryptamine (serotonin) receptor 1F
  • HTR1EL
  • HTR1ELMR77,5-HT1F5-hydroxytryptamine receptor 1F
  • HTR1F
  • MR77
  • Serotonin receptor 1F

Background

5-HT1F, a Serotonin Receptor, is negatively coupled to adenylate cyclase. Selective 5-HT1F agonists may prove therapeutic in the treatment of migraine headache, lacking the side effects associated with the agonists of the 5-HT1B and 5-HT1D receptors. Expression of the 5-HT1F receptor has been reported in various brain structures, including cortex, hippocampus, trigeminal ganglia, and cerebral blood vessels. Expression in peripheral tissues is limited to uterus, mesentery, and artery. No expression has been detected in heart, kidney, liver, pancreas, or spleen.

Limitations

This product is for research use only and is not approved for use in humans or in clinical diagnosis. Primary Antibodies are guaranteed for 1 year from date of receipt.

Customers Who Viewed This Item Also Viewed...

NB100-56350
Species: Hu, Mu, Rt
Applications: WB
NBP2-21590
Species: Hu, Mu
Applications: ICC/IF, IHC-Fr, Simple Western, WB
NLS590
Species: Hu, Pm
Applications: IHC,  IHC-P
NB100-56352
Species: Ca, Hu, Mu, Rt
Applications: Flow, ICC/IF, Simple Western, WB
NBP2-26091
Species: Hu
Applications: Flow, ICC/IF, IHC,  IHC-P, PEP-ELISA
MAB5764
Species: Hu
Applications: CyTOF-ready, Flow, IHC
NBP1-46557
Species: Mu, Rt
Applications: IHC, WB
NBP1-90320
Species: Hu
Applications: IHC,  IHC-P, WB
NBP1-55429
Species: Hu, Mu
Applications: ICC/IF, WB
NBP1-78403
Species: Hu
Applications: ICC/IF, WB
NB300-731
Species: Gp, Hu, Mu, Rb, Rt, Sh, Ye
Applications: B/N, ChIP, Flow, GS, ICC/IF, IHC,  IHC-P, IP, WB
NB120-14817
Species: Hu, Rt
Applications: ICC/IF, IHC, S-ELISA, WB
NBP2-16684
Species: Hu, Mu, Rt
Applications: EM, IHC,  IHC-P, WB
AF1052
Species: Hu
Applications: CyTOF-ready, Flow, IHC, Simple Western, WB

Publications for 5-HT1F Antibody (NLS3338) (0)

There are no publications for 5-HT1F Antibody (NLS3338).
By submitting your publication information earn gift cards and discounts for future purchases.

Reviews for 5-HT1F Antibody (NLS3338) (0)

There are no reviews for 5-HT1F Antibody (NLS3338). By submitting a review you will receive an Amazon e-Gift Card or Novus Product Discount.
  • Review with no image -- $10/€7/£6/$10 CAD/¥70 Yuan/¥1110 Yen
  • Review with an image -- $25/€18/£15/$25 CAD/¥150 Yuan/¥2500 Yen

Product General Protocols

View specific protocols for 5-HT1F Antibody (NLS3338): Find general support by application which include: protocols, troubleshooting, illustrated assays, videos and webinars.

FAQs for 5-HT1F Antibody (NLS3338) (0)

There are no specific FAQs related to this product. Read our general customer & technical service FAQs.

Secondary Antibodies

 

Isotype Controls

Additional 5-HT1F Products

Research Areas for 5-HT1F Antibody (NLS3338)

Find related products by research area.

Blogs on 5-HT1F

There are no specific blogs for 5-HT1F, but you can read our latest blog posts.

Contact Information

Product PDFs

Calculators

Concentration Calculator

The concentration calculator allows you to quickly calculate the volume, mass or concentration of your vial. Simply enter your mass, volume, or concentration values for your reagent and the calculator will determine the rest.

=
÷

Review this Product

Be the first to review our 5-HT1F Antibody - BSA Free and receive a gift card or discount.

Bioinformatics

Gene Symbol HTR1F
Entrez