ZNF85 Antibody - BSA Free

Images

 
Immunohistochemistry-Paraffin: ZNF85 Antibody [NBP1-92645] - Staining of human rectum shows moderate nuclear and cytoplasmic positivity in glandular cells.
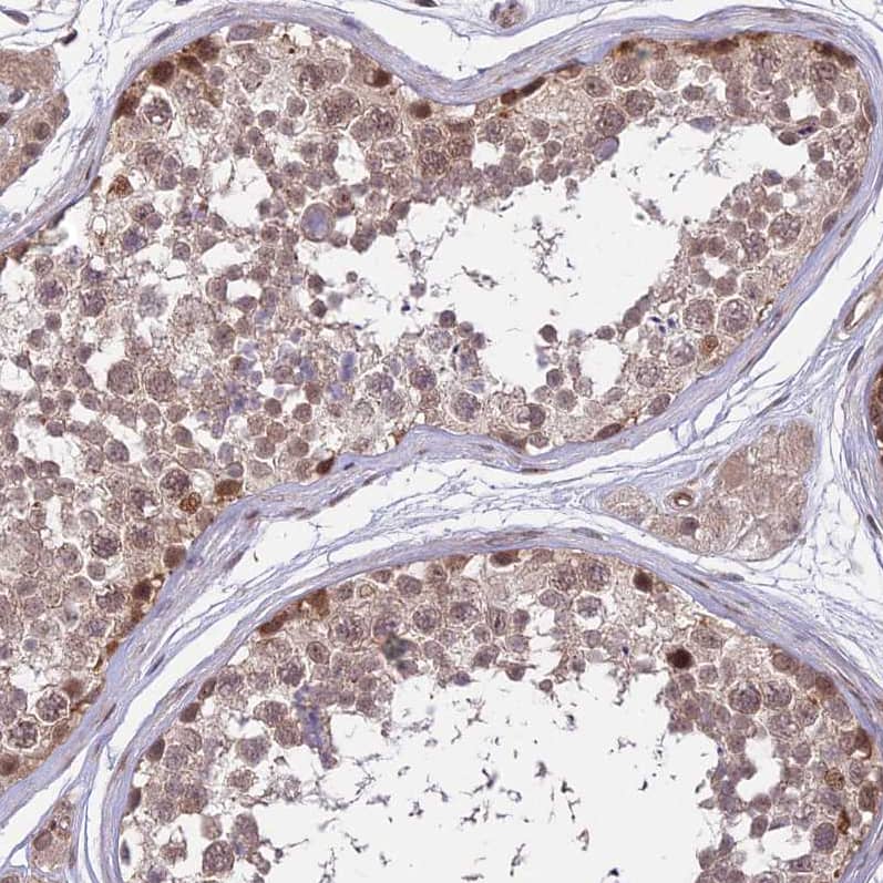
Staining of human testis shows moderate nuclear positivity in cells in seminiferous ducts.
Staining of human cell line RH-30 shows localization to nucleoplasm.
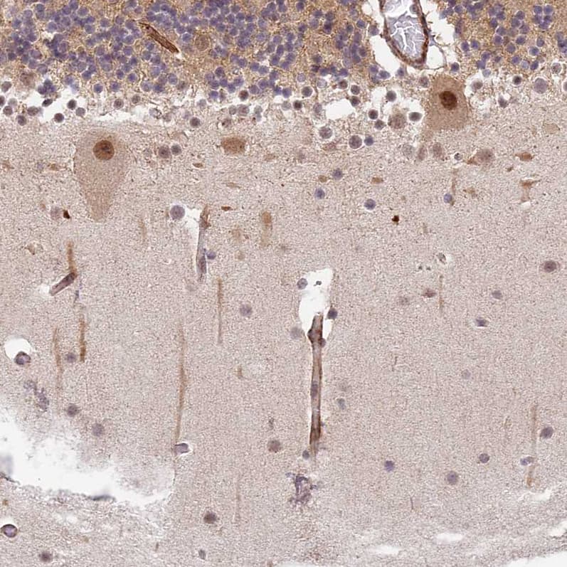
Staining of human cerebellum shows strong nuclear positivity in Purkinje cells.
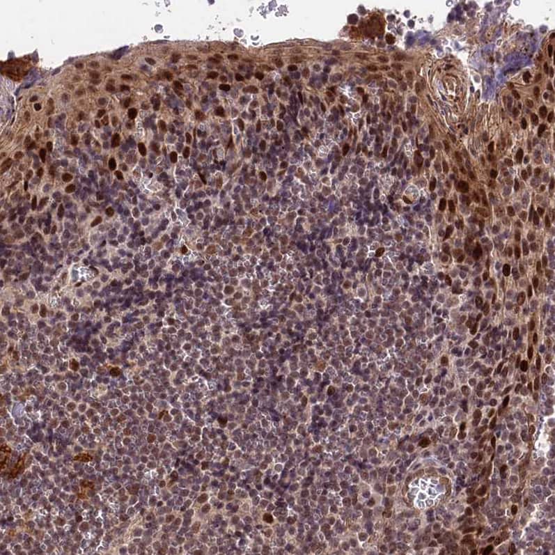
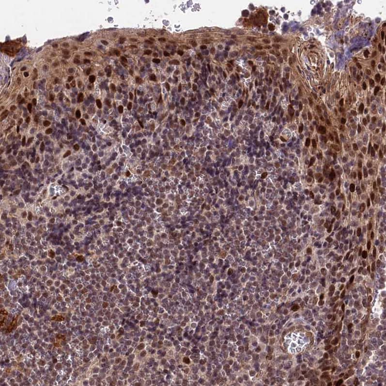
Staining of human tonsil shows strong nuclear positivity in squamous epithelial cells.
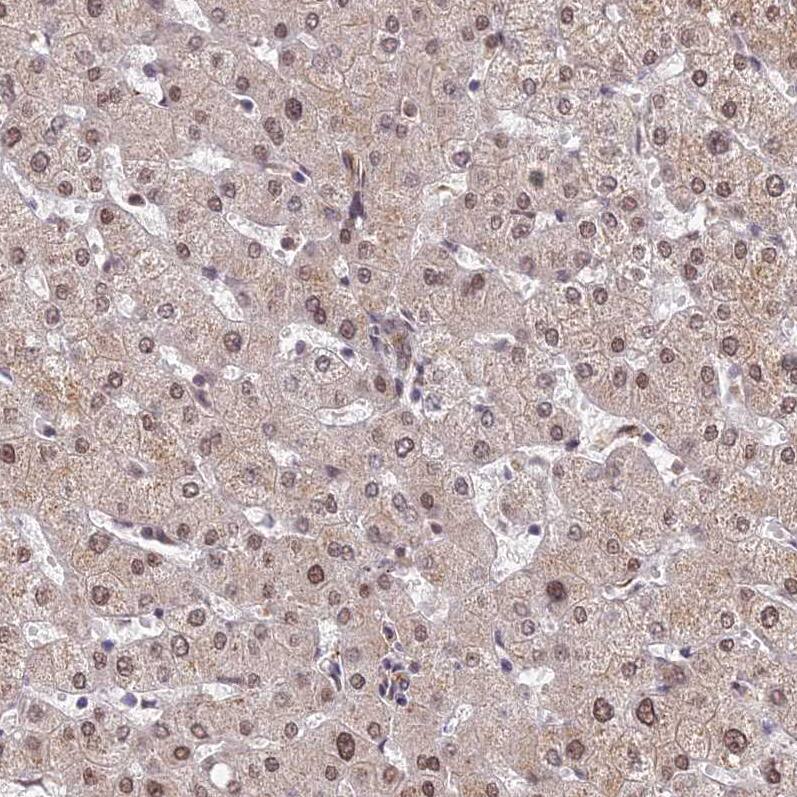
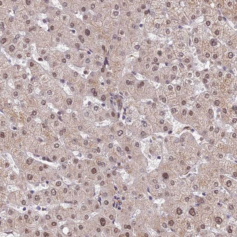
Staining of human liver shows moderate nuclear positivity in hepatocytes.

Product Details

Summary
Reactivity HuSpecies Glossary
Applications ICC/IF, IHC
Clonality
Polyclonal
Host
Rabbit
Conjugate
Unconjugated
Format
BSA Free

Order Details

View Available Formulations
Catalog# & Formulation Size Price

ZNF85 Antibody - BSA Free Summary

Description
Novus Biologicals Rabbit ZNF85 Antibody - BSA Free (NBP1-92645) is a polyclonal antibody validated for use in IHC and ICC/IF. All Novus Biologicals antibodies are covered by our 100% guarantee.
Immunogen
This antibody was developed against Recombinant Protein corresponding to amino acids: AWSMKRHEIMVAKPTESYSVTQSGMQ
Isotype
IgG
Clonality
Polyclonal
Host
Rabbit
Gene
ZNF85
Purity
Affinity purified
Innovator's Reward
Test in a species/application not listed above to receive a full credit towards a future purchase.

Applications/Dilutions

Dilutions
  • Immunocytochemistry/ Immunofluorescence 0.25-2 ug/ml
  • Immunohistochemistry 1:20 - 1:50
  • Immunohistochemistry-Paraffin 1:20 - 1:50
Application Notes
For IHC-Paraffin, HIER pH 6 retrieval is recommended. Immunocytochemistry/Immunofluorescence Fixation Permeabilization: Use PFA/Triton X-100.
Control Peptide
ZNF85 Protein (NBP1-92645PEP)

Packaging, Storage & Formulations

Storage
Store at 4C short term. Aliquot and store at -20C long term. Avoid freeze-thaw cycles.
Buffer
PBS (pH 7.2) and 40% Glycerol
Preservative
0.02% Sodium Azide
Purity
Affinity purified

Alternate Names for ZNF85 Antibody - BSA Free

  • HPF4
  • HTF1
  • MGC78566
  • zinc finger protein 85 (HPF4, HTF1)
  • zinc finger protein 85
  • Zinc finger protein HPF4
  • Zinc finger protein HTF1

Background

ZNF85 is a transcriptional repressor.

Limitations

This product is for research use only and is not approved for use in humans or in clinical diagnosis. Primary Antibodies are guaranteed for 1 year from date of receipt.

Customers Who Viewed This Item Also Viewed...

DY795
Species: Hu
Applications: ELISA
NBP2-13569
Species: Hu
Applications: ICC/IF, IHC,  IHC-P
NBP1-79225
Species: Hu
Applications: WB
DCDL40
Species: Hu
Applications: ELISA
H00055422-B01P
Species: Hu
Applications: ICC/IF, WB
NBP1-89396
Species: Hu
Applications: ICC/IF, IHC,  IHC-P, WB
NBP1-88927
Species: Hu, Mu
Applications: ICC/IF, IHC,  IHC-P, WB
DY1707
Species: Hu
Applications: ELISA
NBP2-46198
Species: Hu
Applications: IHC,  IHC-P, WB
H00007594-B01P
Species: Hu
Applications: ICC/IF, WB
AF4377
Species: Hu, Mu
Applications: ICC, Simple Western, WB
NBP1-89917
Species: Hu
Applications: ICC/IF, IHC,  IHC-P, WB
NBP3-15642
Species: Hu, Mu, Rt
Applications: ICC/IF, IHC,  IHC-P, WB
NBP1-31661
Species: Hu, Mu, Rt, Ze
Applications: ICC/IF, IHC,  IHC-P, Simple Western, WB
NBP3-25643
Species: Ca, Fe, Hu, Mu, Rt
Applications: ICC/IF, IHC,  IHC-P, WB
NBP1-31398
Species: Hu, Mu
Applications: ICC/IF, IHC, IHC-Fr,  IHC-P, KD, mIF, WB
NBP1-92645
Species: Hu
Applications: ICC/IF, IHC

Publications for ZNF85 Antibody (NBP1-92645) (0)

There are no publications for ZNF85 Antibody (NBP1-92645).
By submitting your publication information earn gift cards and discounts for future purchases.

Reviews for ZNF85 Antibody (NBP1-92645) (0)

There are no reviews for ZNF85 Antibody (NBP1-92645). By submitting a review you will receive an Amazon e-Gift Card or Novus Product Discount.
  • Review with no image -- $10/€7/£6/$10 CAD/¥70 Yuan/¥1110 Yen
  • Review with an image -- $25/€18/£15/$25 CAD/¥150 Yuan/¥2500 Yen

Product General Protocols

Find general support by application which include: protocols, troubleshooting, illustrated assays, videos and webinars.

Video Protocols

ICC/IF Video Protocol

FAQs for ZNF85 Antibody (NBP1-92645) (0)

There are no specific FAQs related to this product. Read our general customer & technical service FAQs.

Customers Who Bought This Also Bought

Contact Information

Product PDFs

Calculators

Concentration Calculator

The concentration calculator allows you to quickly calculate the volume, mass or concentration of your vial. Simply enter your mass, volume, or concentration values for your reagent and the calculator will determine the rest.

=
÷

Review this Product

Be the first to review our ZNF85 Antibody - BSA Free and receive a gift card or discount.

Bioinformatics

Gene Symbol ZNF85