ZBTB5 Antibody - BSA Free

Images

 
Western Blot: ZBTB5 Antibody [NBP2-13536] - Analysis in human cell line SH-SY5Y.
Immunocytochemistry/ Immunofluorescence: ZBTB5 Antibody [NBP2-13536] - Staining of human cell line HeLa shows localization to nucleoplasm & nuclear bodies. Antibody staining is shown in green.
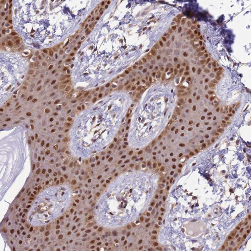
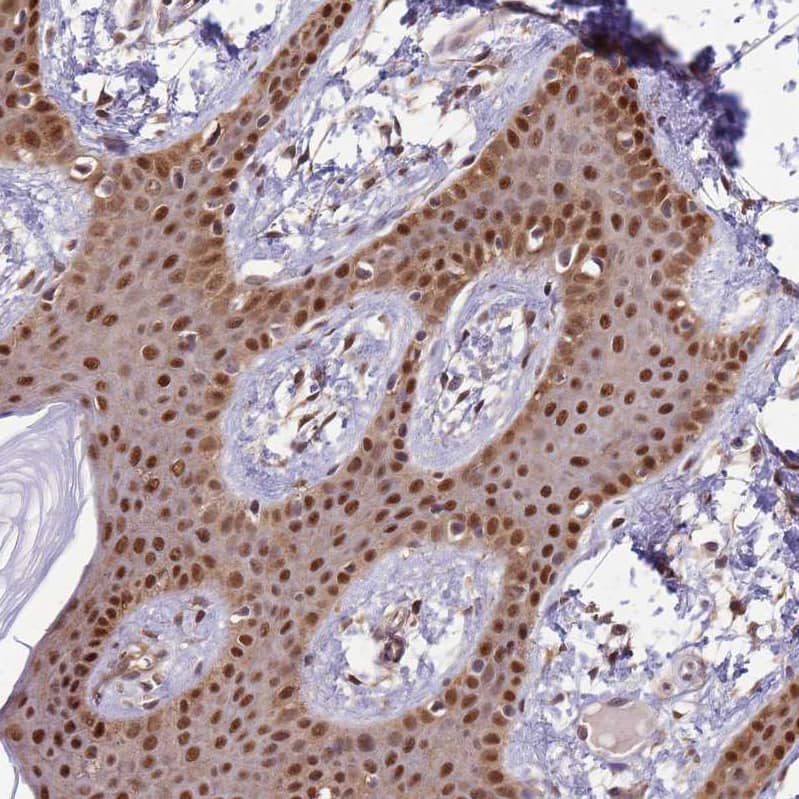
Staining of human skin shows strong nuclear positivity in squamous epithelial cells.
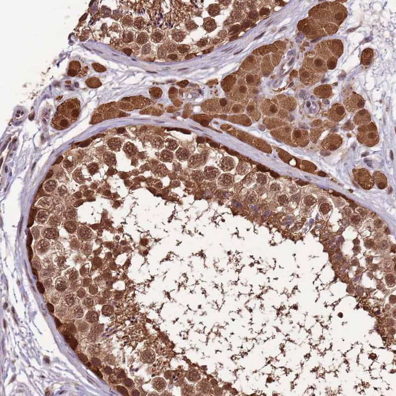
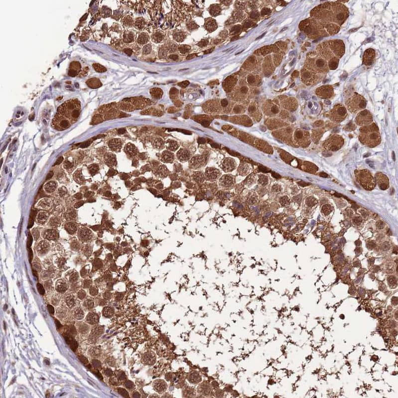
Staining of human testis shows strong nuclear and cytoplasmic positivity in cells in seminiferous ducts and Leydig cells.
Staining of human skeletal muscle shows strong nuclear positivity in myocytes.
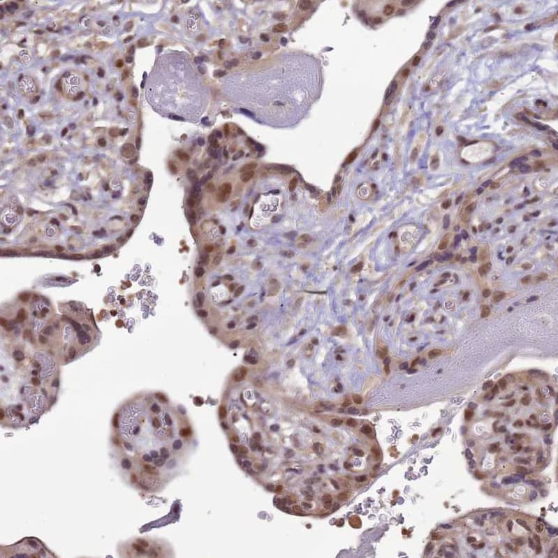
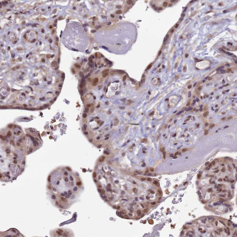
Staining of human placenta shows moderate nuclear positivity in trophoblastic cells.
ChIP-Exo-Seq composite graph for Anti-ZBTB5 (NBP2-13536) tested in K562 cells. Strand-specific reads (blue: forward, red: reverse) and IgG controls (black: forward, grey: reverse) are plotted against the distance from a ...read more

Product Details

Summary
Reactivity Hu, Mu, RtSpecies Glossary
Applications WB, ICC/IF, IHC, ChIP
Clonality
Polyclonal
Host
Rabbit
Conjugate
Unconjugated
Format
BSA Free

Order Details

View Available Formulations
Catalog# & Formulation Size Price

ZBTB5 Antibody - BSA Free Summary

Description
Novus Biologicals Rabbit ZBTB5 Antibody - BSA Free (NBP2-13536) is a polyclonal antibody validated for use in IHC, WB and ICC/IF. All Novus Biologicals antibodies are covered by our 100% guarantee.
Immunogen
This antibody was developed against a recombinant protein corresponding to the amino acids: GEKEHMRVVVKSEPLSSPEPQDEVSDVTSQAEGSESVEVEGVVVSAEKIDLSPESSDRSFSDPQSSTDRVGDIHILEVTNNLEHKSTFSISNFLNKSRGNNFTANQNN
Predicted Species
Mouse (94%), Rat (93%). Backed by our 100% Guarantee.
Isotype
IgG
Clonality
Polyclonal
Host
Rabbit
Gene
ZBTB5
Purity
Immunogen affinity purified
Innovator's Reward
Test in a species/application not listed above to receive a full credit towards a future purchase.

Applications/Dilutions

Dilutions
  • Chromatin Immunoprecipitation-exo-Seq 1-10ug per reaction
  • Immunocytochemistry/ Immunofluorescence 0.25-2 ug/ml
  • Immunohistochemistry 1:200 - 1:500
  • Immunohistochemistry-Paraffin 1:200 - 1:500
  • Western Blot 0.04 - 0.4 ug/ml
Application Notes
For IHC-Paraffin, HIER pH 6 retrieval is recommended. ICC/IF Fixation Permeabilization: Use PFA/Triton X-100.
Control Peptide
ZBTB5 Protein (NBP2-13536PEP)

Packaging, Storage & Formulations

Storage
Store at 4C short term. Aliquot and store at -20C long term. Avoid freeze-thaw cycles.
Buffer
PBS (pH 7.2) and 40% Glycerol
Preservative
0.02% Sodium Azide
Purity
Immunogen affinity purified

Alternate Names for ZBTB5 Antibody - BSA Free

  • KIAA0354
  • zinc finger and BTB domain containing 5
  • zinc finger and BTB domain-containing protein 5

Background

ZBTB5 may be involved in transcriptional regulation

Limitations

This product is for research use only and is not approved for use in humans or in clinical diagnosis. Primary Antibodies are guaranteed for 1 year from date of receipt.

Customers Who Viewed This Item Also Viewed...

NBP2-29463
Species: Pm, Hu, Pm, Mu
Applications: Flow, ICC/IF, IHC,  IHC-P, WB
AF4984
Species: Hu
Applications: ChIP, CyTOF-ready, ICC, ICFlow, Simple Western, WB
NB600-302
Species: Bv, Dr, Hu, Mu
Applications: ChIP, ELISA, Flow-IC, Flow, IB, ICC/IF, IHC, IHC-Fr,  IHC-P, IP, PLA, S-ELISA, Simple Western, WB
NB100-2736
Species: Hu, Mu, Rt
Applications: IHC, IHC-Fr,  IHC-P, IP, WB
NBP3-38209
Species: Hu, Rt
Applications: ELISA, ICC/IF, IHC,  IHC-P, IP, WB
MAB3487
Species: Hu, Mu
Applications: Flow, ICC, IHC, mIF, Simple Western, WB
H00029107-M08
Species: Hu
Applications: ELISA, ICC/IF, KD, S-ELISA, WB
NBP2-45603
Species: Hu, Mu, Rt
Applications: Flow, IHC,  IHC-P, WB
NBP1-89175
Species: Hu
Applications: IHC,  IHC-P, KD, WB
NBP1-82454
Species: Hu, Mu
Applications: ICC/IF, IHC,  IHC-P, WB
NB120-5802
Species: Hu, Mu
Applications: ChIP, ICC/IF, IHC,  IHC-P, IP, Simple Western, WB
AF6897
Species: Hu, Mu
Applications: IHC, Simple Western, WB
H00057804-M10
Species: Hu
Applications: ELISA, WB
NB600-232
Species: Hu, Mu
Applications: ChIP, IHC,  IHC-P, IP, WB
DPSG10
Species: Hu
Applications: ELISA
NBP2-49672
Species: Hu
Applications: IHC,  IHC-P
NBP2-45545
Species: Hu, Mu, Rt
Applications: IHC,  IHC-P, WB
H00027065-M01
Species: Hu, Rt
Applications: ELISA, ICC/IF, S-ELISA, WB
NBP2-46085
Species: Hu
Applications: IHC,  IHC-P, WB
NBP2-13536
Species: Hu, Mu, Rt
Applications: WB, ICC/IF, IHC, ChIP

Publications for ZBTB5 Antibody (NBP2-13536) (0)

There are no publications for ZBTB5 Antibody (NBP2-13536).
By submitting your publication information earn gift cards and discounts for future purchases.

Reviews for ZBTB5 Antibody (NBP2-13536) (0)

There are no reviews for ZBTB5 Antibody (NBP2-13536). By submitting a review you will receive an Amazon e-Gift Card or Novus Product Discount.
  • Review with no image -- $10/€7/£6/$10 CAD/¥70 Yuan/¥1110 Yen
  • Review with an image -- $25/€18/£15/$25 CAD/¥150 Yuan/¥2500 Yen

Product General Protocols

Find general support by application which include: protocols, troubleshooting, illustrated assays, videos and webinars.

Video Protocols

WB Video Protocol
ICC/IF Video Protocol

FAQs for ZBTB5 Antibody (NBP2-13536) (0)

There are no specific FAQs related to this product. Read our general customer & technical service FAQs.

Secondary Antibodies

 

Isotype Controls

Additional ZBTB5 Products

Research Areas for ZBTB5 Antibody (NBP2-13536)

Find related products by research area.

Blogs on ZBTB5

There are no specific blogs for ZBTB5, but you can read our latest blog posts.

Customers Who Bought This Also Bought

Contact Information

Product PDFs

Calculators

Concentration Calculator

The concentration calculator allows you to quickly calculate the volume, mass or concentration of your vial. Simply enter your mass, volume, or concentration values for your reagent and the calculator will determine the rest.

=
÷

Review this Product

Be the first to review our ZBTB5 Antibody - BSA Free and receive a gift card or discount.

Bioinformatics

Gene Symbol ZBTB5