YAP1 Antibody

Images

 
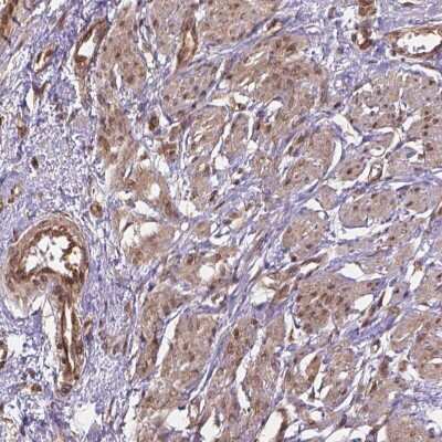
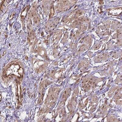
Orthogonal Strategies: Immunohistochemistry-Paraffin: YAP1 Antibody [NBP2-62669] - Analysis in human smooth muscle and liver tissues using Anti-YAP1 antibody. Corresponding YAP1 RNA-seq data are presented for the ...read more
Immunohistochemistry-Paraffin: YAP1 Antibody [NBP2-62669] - Staining of human smooth muscle shows high expression. Dilution: 1:1000 - 1:2500.
Immunohistochemistry-Paraffin: YAP1 Antibody [NBP2-62669] - Staining of human liver shows low expression as expected. Dilution: 1:1000 - 1:2500.

Product Details

Summary
Product Discontinued
View other related YAP1 Primary Antibodies
Validated by:
       

Orthogonal Strategies

 

Order Details


    • Catalog Number
      NBP2-62669
    • Availability
      Product Discontinued

    Can't find what you are looking for? Use our Antibody Concierge Service & we will help you locate your antibody!

    Or feel free to contact us for alternative products.

YAP1 Antibody Summary

Immunogen
This YAP1 antibody was developed against a recombinant protein corresponding to amino acids: QLQMEKERLRLKQQELLRQAMRNINPSTANSPKCQELALRSQLPTLEQDGGTQNPVSSPGMSQELRTMTTNSSDPF
Specificity
Expected cross-reactivity based on immunogen sequence should react to all isotypes.
Predicted Species
Mouse (93%), Rat (92%). Backed by our 100% Guarantee.
Isotype
IgG
Clonality
Polyclonal
Host
Rabbit
Gene
YAP1
Purity
Protein A purified
Innovator's Reward
Test in a species/application not listed above to receive a full credit towards a future purchase.

Applications/Dilutions

Dilutions
  • Immunohistochemistry 1:1000 - 1:2500
  • Immunohistochemistry-Paraffin 1:1000 - 1:2500
Application Notes
For IHC-Paraffin, HIER pH 6 retrieval is recommended.

Packaging, Storage & Formulations

Storage
Store at 4C short term. Aliquot and store at -20C long term. Avoid freeze-thaw cycles.
Buffer
PBS (pH 7.2) and 40% Glycerol
Preservative
0.02% Sodium Azide
Purity
Protein A purified

Alternate Names for YAP1 Antibody

  • 65 kDa Yes-associated protein
  • COB1
  • Protein Yorkie Homolog
  • Transcriptional Coactivator YAP1
  • YAP
  • YAP1
  • YAP1-2gamma
  • YAP2
  • YAP2L
  • YAP65
  • YAP65yes-associated protein 2
  • Yes Associated Protein
  • Yes-associated protein 1
  • Yes-associated protein 1, 65kDa
  • yes-associated protein beta
  • yes-associated protein delta
  • Yes-Associated Protein YAP65 Homolog
  • Yes-Associated Protein
  • YKI
  • Yorkie Homolog

Background

The transcriptional coactivator Yes-associated protein (YAP), also known as Yes-associated protein 1 (YAP1), Yes-Associated Protein YAP65 Homolog, Protein Yorkie Homolog and YAP65 has a theoretical molecular weight of 65 kDa. The YAP1 gene encodes the human ortholog of chicken YAP protein which binds to the SH3 domain of the Yes proto-oncogene product. YAP1 shares homology with the WW domain of transcriptional co-activator with PDZ-binding motif (TAZ), which functions as a transcriptional co-activator by binding to the PPXY motif present in transcription factors and is likely involved in protein-protein interaction. YAP has been identified as a core regulatory mechanism that blocks mammalian glial cell proliferation and cellular reprogramming following damage (1).

YAP plays a role in the development and progression of multiple cancers as a transcriptional regulator of the Hippo signaling pathway. YAP1 encodes a nuclear effector of the Hippo signaling pathway which is involved in development, growth, repair, and homeostasis to play a pivotal role in controlling cell growth and organ size and has emerged as a key player in tumor suppression (2,3). Deregulation of the Hippo pathway causes tumor formation and malignancy, with YAP being a key oncogenic driver in liver carcinogenesis (2) and may function as a potential target for cancer treatment (3).

References

1. Rueda, E. M., Hall, B. M., Hill, M. C., Swinton, P. G., Tong, X., Martin, J. F., & Poche, R. A. (2019). The Hippo Pathway Blocks Mammalian Retinal Muller Glial Cell Reprogramming. Cell Rep, 27(6), 1637-1649.e1636. doi:10.1016/j.celrep.2019.04.047

2. Liu, A. M., Xu, M. Z., Chen, J., Poon, R. T., & Luk, J. M. (2010). Targeting YAP and Hippo signaling pathway in liver cancer. Expert Opin Ther Targets, 14(8), 855-868. doi:10.1517/14728222.2010.499361

3.Ye, S., & Eisinger-Mathason, T. S. (2016). Targeting the Hippo pathway: Clinical implications and therapeutics. Pharmacol Res, 103, 270-278. doi:10.1016/j.phrs.2015.11.025

Limitations

This product is for research use only and is not approved for use in humans or in clinical diagnosis. Primary Antibodies are guaranteed for 1 year from date of receipt.

Customers Who Viewed This Item Also Viewed...

MAB7940
Species: Hu
Applications: IHC, WB
NB110-58359
Species: Hu, Mu, Rt
Applications: ChIP, ChIP, ICC/IF, IHC,  IHC-P, IP, PLA, Simple Western, WB
NBP1-81763
Species: Hu
Applications: IHC,  IHC-P, WB
NB200-197
Species: Hu, Mu
Applications: IP, WB
H00060485-M02
Species: Hu, Mu, Ye
Applications: ELISA, ICC/IF, IHC,  IHC-P, IP, WB
NBP2-67471
Species: Hu, Mu, Rt
Applications: ICC/IF, IHC,  IHC-P, WB
NBP1-48017
Species: Ca, Hu, Pm, Mu, Rt
Applications: IHC,  IHC-P, WB
NBP1-87757
Species: Hu, Mu, Rt
Applications: ICC/IF, IHC,  IHC-P, IP, KD, WB
NBP1-82865
Species: Hu, Mu, Rt
Applications: ICC/IF, IHC,  IHC-P, KD, WB
NBP2-24737
Species: Hu, Mu, Rt
Applications: ChIP, CyTOF-ready, Flow-IC, Flow, ICC/IF, IHC, IHC-Fr,  IHC-P, IP, Simple Western, WB
NBP1-84161
Species: Hu
Applications: IHC,  IHC-P
NBP2-94035
Species: Hu, Mu, Rt
Applications: ChIP, ELISA, ICC/IF, IHC,  IHC-P, WB
NBP3-03473
Species: Hu, Mu, Rt
Applications: ICC/IF, IHC,  IHC-P, KO, WB
AF231
Species: Hu
Applications: CyTOF-ready, Dual ISH-IHC, ELISA(Cap), ELISA(Det), ELISA(Sta), Flow, ICC, IHC, IP, Simple Western, WB
NBP3-46037
Species: Hu, Mu
Applications: ELISA, ICC/IF, IHC, , WB
AF3254
Species: Hu, Mu, Rt
Applications: WB
NBP2-50037
Species: Hu, Mu, Rt
Applications: ICC/IF, IHC, KO, WB
NB200-103
Species: Hu, Mu, Rt, Xp(-), Ye
Applications: CyTOF-ready, ELISA, Flow-IC, Flow, ICC/IF, IHC, IHC-Fr,  IHC-P, IP, WB

Publications for YAP1 Antibody (NBP2-62669) (0)

There are no publications for YAP1 Antibody (NBP2-62669).
By submitting your publication information earn gift cards and discounts for future purchases.

Reviews for YAP1 Antibody (NBP2-62669) (0)

There are no reviews for YAP1 Antibody (NBP2-62669). By submitting a review you will receive an Amazon e-Gift Card or Novus Product Discount.
  • Review with no image -- $10/€7/£6/$10 CAD/¥70 Yuan/¥1110 Yen
  • Review with an image -- $25/€18/£15/$25 CAD/¥150 Yuan/¥2500 Yen

Product General Protocols

Find general support by application which include: protocols, troubleshooting, illustrated assays, videos and webinars.

FAQs for YAP1 Antibody (NBP2-62669) (0)

There are no specific FAQs related to this product. Read our general customer & technical service FAQs.

Secondary Antibodies

 

Isotype Controls

Additional YAP1 Products

Array NBP2-62669

Research Areas for YAP1 Antibody (NBP2-62669)

Find related products by research area.

Blogs on YAP1.


  Read full blog post.

YAP1 - a transcription co-activator and the downstream target of Hippo pathway
YAP1 (Yes-associated protein 1) is a  transcriptional co-activator which acts as a major effector of Hippo signaling pathway that regulates organ size/ tissue homeostasis and cell proliferation, and is an established oncogene (1).  Hippo sig...  Read full blog post.

Contact Information

Product PDFs

Calculators

Concentration Calculator

The concentration calculator allows you to quickly calculate the volume, mass or concentration of your vial. Simply enter your mass, volume, or concentration values for your reagent and the calculator will determine the rest.

=
÷

Review this Product

Be the first to review our YAP1 Antibody and receive a gift card or discount.

Bioinformatics

Gene Symbol YAP1