WDR82 Antibody - Azide and BSA Free Summary
| Immunogen |
Recombinant fusion protein containing a sequence corresponding to amino acids 174-313 of human WDR82 (NP_079498.2). YDLRSFDKGPFATFKMQYDRTCEWTGLKFSNDGKLILISTNGSFIRLIDAFKGVVMHTFGGYANSKAVTLEASFTPDSQFIMIGSEDGKIHVWNGESGIKVAVLDGKHTGPITCLQFNPKFMTFASACSNMAFWLPTIDD |
| Isotype |
IgG |
| Clonality |
Polyclonal |
| Host |
Rabbit |
| Gene |
WDR82 |
| Purity |
Affinity purified |
| Innovator's Reward |
Test in a species/application not listed above to receive a full credit towards a future purchase. |
Applications/Dilutions
| Dilutions |
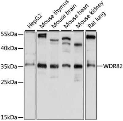
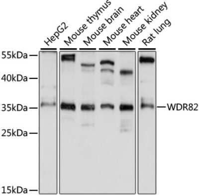
- Western Blot 1:200-1:2000
|
| Theoretical MW |
35 kDa. Disclaimer note: The observed molecular weight of the protein may vary from the listed predicted molecular weight due to post translational modifications, post translation cleavages, relative charges, and other experimental factors. |
Packaging, Storage & Formulations
| Storage |
Store at -20C. Avoid freeze-thaw cycles. |
| Buffer |
PBS (pH 7.3), 50% glycerol |
| Preservative |
0.01% Thimerosal |
| Purity |
Affinity purified |
Alternate Names for WDR82 Antibody - Azide and BSA Free
Background
TMEM113 is a component of the mammalian SET1A (MIM 611052)/SET1B (MIM 611055) histone H3-Lys4 methyltransferase complexes (Lee and Skalnik, 2005 [PubMed 16253997]; Lee et al., 2007 [PubMed 17355966]).[supplied by OMIM]
Limitations
This product is for research use only and is not approved for use in humans or in clinical diagnosis. Primary Antibodies are
guaranteed for 1 year from date of receipt.
Customers Who Viewed This Item Also Viewed...
Species: Hu, Mu
Applications: ChIP, CHIP-SEQ, IHC, IHC-P, IP, WB
Species: Hu
Applications: IHC, IHC-P, IP, WB
Species: Hu, I, Mu, Rt, Xp, Ye
Applications: ChIP, IB, ICC/IF, IHC, IHC-P, Single-Cell Western, WB
Species: Bv, Ca, Hu, Mu, Rb, Rt, Sh
Applications: ELISA, Flow-IC, Flow, ICC/IF, IHC, IHC-P, KD, Simple Western, WB
Species: Bv, Ca, Ch, ChHa, Eq, Gp, Hu, Mu, Ma-Op, Po, Pm, Rb, Rt, RM, Ze
Applications: IHC, IHC-P, KD, WB
Species: Hu, Mu
Applications: ChIP, IP, WB
Species: Hu, Mu, Rt
Applications: Flow, ICC/IF, IHC, IHC-P, IP, WB
Species: Hu, Mu, Rt
Applications: ICC/IF, IHC, IHC-P, WB
Species: Hu, Mu, Rt
Applications: ELISA, ICC/IF, IHC, IHC-P, WB
Species: Hu, Mu, Rt
Applications: ICC/IF, IHC, IP, WB
Species: Hu
Applications: IHC, IHC-P, IP
Species: Hu, Mu, Rt
Applications: ICC/IF, IHC, IHC-P, WB
Species: Hu
Applications: IHC, IHC-P, PEP-ELISA
Species: Hu
Applications: AgAct, ICC, WB
Species: Hu
Applications: ICC/IF, IHC, IHC-P, WB
Species: Hu, Mu, Sh
Applications: ELISA, Flow, IHC, IHC-P, WB
Species: Hu
Applications: IHC, IHC-P, IP
Species: Hu, Mu, Rt
Applications: WB
⚠ WARNING: This product can expose you to chemicals including Methotrexate, which is known to the State of California to cause reproductive toxicity with developmental effects. For more information, go to www.P65Warnings.ca.gov
Publications for WDR82 Antibody (NBP2-93148) (0)
There are no publications for WDR82 Antibody (NBP2-93148).
By submitting your publication information earn gift cards and discounts for future purchases.
Reviews for WDR82 Antibody (NBP2-93148) (0)
There are no reviews for WDR82 Antibody (NBP2-93148).
By submitting a review you will receive an Amazon e-Gift Card or Novus Product Discount.
- Review with no image -- $10/€7/£6/$10 CAD/¥70 Yuan/¥1110 Yen
- Review with an image -- $25/€18/£15/$25 CAD/¥150 Yuan/¥2500 Yen
Product General Protocols
Find general support by application which include: protocols, troubleshooting, illustrated assays, videos and webinars.
Video Protocols
FAQs for WDR82 Antibody (NBP2-93148) (0)
Secondary Antibodies
| |
Isotype Controls
|
Additional WDR82 Products
Blogs on WDR82