VPS26A Antibody (JB93-41)

Images

 
Western Blot: VPS26A Antibody (JB93-41) [NBP2-75709] - Analysis of VPS26 on different cell lysates using anti-VPS26 at 1/500 dilution.Positive control:Line 1: Rat kidney tissue Line 2: A431
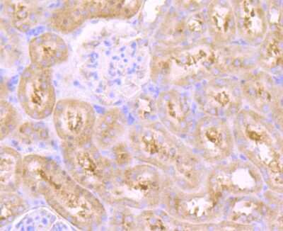
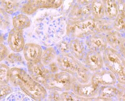
Immunohistochemistry-Paraffin: VPS26A Antibody (JB93-41) [NBP2-75709] - Analysis of paraffin-embedded rat kidney tissue using anti-VPS26 antibody. Counter stained with hematoxylin.
Immunohistochemistry-Paraffin: VPS26A Antibody (JB93-41) [NBP2-75709] - Analysis of paraffin-embedded human tonsil tissue using anti-VPS26 antibody. Counter stained with hematoxylin.
Immunohistochemistry-Paraffin: VPS26A Antibody (JB93-41) [NBP2-75709] - Analysis of paraffin-embedded mouse testis tissue using anti-VPS26 antibody. Counter stained with hematoxylin.

Product Details

Summary
Product Discontinued
View other related VPS26A Primary Antibodies

Order Details


    • Catalog Number
      NBP2-75709
    • Availability
      Product Discontinued

    Can't find what you are looking for? Use our Antibody Concierge Service & we will help you locate your antibody!

    Or feel free to contact us for alternative products.

VPS26A Antibody (JB93-41) Summary

Additional Information
Recombinant Monoclonal Antibody.
Immunogen
Recombinant protein within Human VPS26A aa 210-327 / 327. (SwissProt: O75436 Human; SwissProt: P40336 Mouse; SwissProt: Q6AY86 Rat)
Localization
Endosome. Cytoplasm.
Isotype
IgG
Clonality
Monoclonal
Host
Rabbit
Gene
VPS26A
Purity
Protein A purified
Innovator's Reward
Test in a species/application not listed above to receive a full credit towards a future purchase.

Applications/Dilutions

Dilutions
  • Immunohistochemistry
  • Immunohistochemistry-Paraffin 1:50-1:200
  • Immunoprecipitation 1:10-1:50
  • Western Blot 1:500-1:2000
Theoretical MW
38 kDa.
Disclaimer note: The observed molecular weight of the protein may vary from the listed predicted molecular weight due to post translational modifications, post translation cleavages, relative charges, and other experimental factors.

Packaging, Storage & Formulations

Storage
Store at 4C short term. Aliquot and store at -20C long term. Avoid freeze-thaw cycles.
Buffer
TBS (pH7.4), 0.05% BSA, 40% Glycerol
Preservative
0.05% Sodium Azide
Concentration
1 mg/ml
Purity
Protein A purified

Alternate Names for VPS26A Antibody (JB93-41)

  • FLJ12930
  • HB58
  • Hbeta58
  • hVPS26
  • PEP8A
  • vacuolar protein sorting 26 (yeast homolog)
  • vacuolar protein sorting 26 homolog A (S. pombe)
  • vacuolar protein sorting 26 homolog A (yeast)
  • vacuolar protein sorting-associated protein 26A
  • Vesicle protein sorting 26A
  • VPS26vacuolar protein sorting 26 (yeast)

Background

VPS26 belongs to a group of vacuolar protein sorting (VPS) genes. The encoded protein is a component of a large multimeric complex, termed the retromer complex, involved in retrograde transport of proteins from endosomes to the trans-Golgi network. The close structural similarity between the yeast and human proteins that make up this complex suggests a similarity in function. Expression studies in yeast and mammalian cells indicate that this protein interacts directly with VPS35, which serves as the core of the retromer complex.

Limitations

This product is for research use only and is not approved for use in humans or in clinical diagnosis. Primary Antibodies are guaranteed for 1 year from date of receipt.

Customers Who Viewed This Item Also Viewed...

NB100-1397
Species: Ca, Ch, ChHa, Hu, Mu, Rt
Applications: ICC/IF, IHC,  IHC-P, PEP-ELISA, WB
NBP3-12366
Species: Ch, Hu, Mu, Rt
Applications: ELISA, IHC,  IHC-P, IP, WB
NB100-282
Species: Hu
Applications: ICC/IF, IHC,  IHC-P, WB
NBP2-24513
Species: Bv, Ca, Eq, Hu, Mu, Ma-Op, Pm, RM
Applications: IHC,  IHC-P, WB
NBP2-34294
Species: Hu, Mu, Rt
Applications: Flow, IHC,  IHC-P
NBP1-92575
Species: Hu, Mu
Applications: IHC,  IHC-P, WB
AF3926
Species: Hu, Mu, Rt
Applications: Simple Western, WB
NB300-514
Species: Bv, Hu, Mu, Pm, Rt
Applications: CyTOF-ready, ELISA, Flow, ICC/IF, IHC,  IHC-P, IP, WB
NBP1-87174
Species: Hu, Mu, Rt
Applications: ICC/IF, IHC,  IHC-P, KD, WB
MAB931
Species: Hu, Mu
Applications: CyTOF-ready, IHC, ICFlow, WB
MAB5699
Species: Hu
Applications: IHC
NBP2-13361
Species: Hu
Applications: ICC/IF, IHC,  IHC-P, WB
NBP2-13075
Species: Ba, Hu, Pm, Mu, Rt
Applications: DB, ELISA, IB, ICC/IF, IHC-FrFl, IHC, IHC-Fr,  IHC-P, IP, WB
H00338382-M01
Species: Hu
Applications: ELISA, IP, WB
AF1029
Species: Mu
Applications: ICC, IHC, IP, WB
H00051479-B01P
Species: Bv, Hu
Applications: ICC/IF, WB

Publications for VPS26A Antibody (NBP2-75709) (0)

There are no publications for VPS26A Antibody (NBP2-75709).
By submitting your publication information earn gift cards and discounts for future purchases.

Reviews for VPS26A Antibody (NBP2-75709) (0)

There are no reviews for VPS26A Antibody (NBP2-75709). By submitting a review you will receive an Amazon e-Gift Card or Novus Product Discount.
  • Review with no image -- $10/€7/£6/$10 CAD/¥70 Yuan/¥1110 Yen
  • Review with an image -- $25/€18/£15/$25 CAD/¥150 Yuan/¥2500 Yen

Product General Protocols

Find general support by application which include: protocols, troubleshooting, illustrated assays, videos and webinars.

Video Protocols

WB Video Protocol

FAQs for VPS26A Antibody (NBP2-75709) (0)

There are no specific FAQs related to this product. Read our general customer & technical service FAQs.

Secondary Antibodies

 

Isotype Controls

Additional VPS26A Products

Research Areas for VPS26A Antibody (NBP2-75709)

Find related products by research area.

Blogs on VPS26A

There are no specific blogs for VPS26A, but you can read our latest blog posts.

Contact Information

Product PDFs

Calculators

Concentration Calculator

The concentration calculator allows you to quickly calculate the volume, mass or concentration of your vial. Simply enter your mass, volume, or concentration values for your reagent and the calculator will determine the rest.

=
÷

Review this Product

Be the first to review our VPS26A Antibody (JB93-41) and receive a gift card or discount.

Bioinformatics

Gene Symbol VPS26A