TXNIP Antibody

Images

 
Western Blot: TXNIP Antibody [NBP2-49095] - Analysis in control (vector only transfected HEK293T lysate) and TXNIP over-expression lysate (Co-expressed with a C-terminal myc-DDK tag (3.1 kDa) in mammalian HEK293T cells).
Immunocytochemistry/ Immunofluorescence: TXNIP Antibody [NBP2-49095] - Immunofluorescent staining of human cell line MCF7 shows localization to plasma membrane. Antibody staining is shown in green.
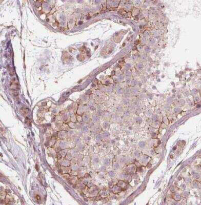
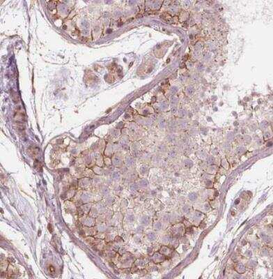
Immunohistochemistry-Paraffin: TXNIP Antibody [NBP2-49095] - Staining of human testis shows moderate membranous positivity in cells in seminiferous ducts.
Immunohistochemistry-Paraffin: TXNIP Antibody [NBP2-49095] - Staining of human cervix, uterine shows strong membranous positivity in squamous epithelial cells.
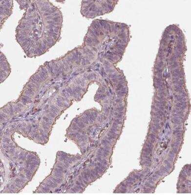
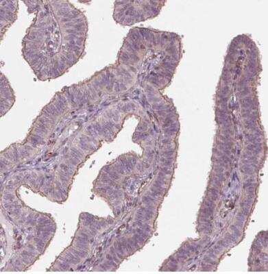
Immunohistochemistry-Paraffin: TXNIP Antibody [NBP2-49095] - Staining of human fallopian tube shows moderate membranous positivity in glandular cells.
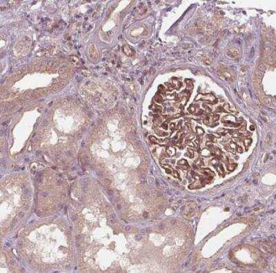
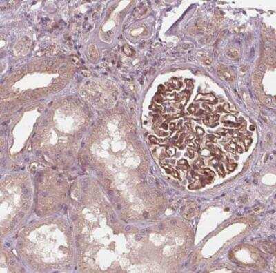
Immunohistochemistry-Paraffin: TXNIP Antibody [NBP2-49095] - Staining of human kidney shows strong membranous positivity in cells in glomeruli.

Product Details

Summary
Product Discontinued
View other related TXNIP Primary Antibodies

Order Details


    • Catalog Number
      NBP2-49095
    • Availability
      Product Discontinued

    Can't find what you are looking for? Use our Antibody Concierge Service & we will help you locate your antibody!

    Or feel free to contact us for alternative products.

TXNIP Antibody Summary

Immunogen
This antibody was developed against a recombinant protein corresponding to amino acids: DLPLVIGSRSGLSSRTSSMASRTSSEMSWVDLNIPDTPEAPPCYMDVIPEDHRLESPTTPLLDDMDGSQDSPIFMYAPEFKFMPPPT
Predicted Species
Mouse (94%), Rat (95%). Backed by our 100% Guarantee.
Isotype
IgG
Clonality
Polyclonal
Host
Rabbit
Gene
TXNIP
Purity
Immunogen affinity purified
Innovator's Reward
Test in a species/application not listed above to receive a full credit towards a future purchase.

Applications/Dilutions

Dilutions
  • Immunocytochemistry/ Immunofluorescence 0.25-2 ug/ml
  • Immunohistochemistry 1:500 - 1:1000
  • Immunohistochemistry-Paraffin 1:500 - 1:1000
  • Western Blot 0.04 - 0.4 ug/ml
Application Notes
For IHC-Paraffin, HIER pH 6 retrieval is recommended. ICC/IF, Fixation Permeabilization: Use PFA/Triton X-100.

Packaging, Storage & Formulations

Storage
Store at 4C short term. Aliquot and store at -20C long term. Avoid freeze-thaw cycles.
Buffer
PBS (pH 7.2) and 40% Glycerol
Preservative
0.02% Sodium Azide
Purity
Immunogen affinity purified

Alternate Names for TXNIP Antibody

  • HHCPA78
  • THIF
  • thioredoxin binding protein 2
  • thioredoxin interacting protein
  • Thioredoxin-binding protein 2
  • thioredoxin-interacting protein
  • upregulated by 1,25-dihydroxyvitamin D-3
  • VDUP1EST01027
  • Vitamin D3 up-regulated protein 1

Background

TXNIP may act as an oxidative stress mediator by inhibiting thioredoxin activity or by limiting its bioavailability. Interacts with COPS5 and restores COPS5-induced suppressionof CDKN1B stability, blocking the COPS5-mediated translocation of CDKN1B from the nu

Limitations

This product is for research use only and is not approved for use in humans or in clinical diagnosis. Primary Antibodies are guaranteed for 1 year from date of receipt.

Customers Who Viewed This Item Also Viewed...

NBP2-52983
Species: Hu, Mu
Applications: Flow, ICC/IF, IHC,  IHC-P, WB
NBP3-45606
Species: Hu, Mu, Rt
Applications: ELISA, IHC, IP, WB
MAB1417
Species: Bv, Hu, Mu
Applications: ICC, IHC
NBP2-37592
Species: Hu
Applications: ELISA, Flow, ICC/IF, IHC,  IHC-P, WB
M6000B
Species: Mu
Applications: ELISA
NBP2-85297
Species: Hu
Applications: IHC,  IHC-P, WB
DVE00
Species: Hu
Applications: ELISA
NBP2-67471
Species: Hu, Mu, Rt
Applications: ICC/IF, IHC,  IHC-P, WB
NBP2-12446
Species: Hu, Mu, Rt
Applications: Flow, ICC/IF, IHC, IHC-Fr,  IHC-P, IM, IP, KD, WB
AF4186
Species: Hu
Applications: ICC, WB
NBP2-29463
Species: Pm, Hu, Pm, Mu
Applications: Flow, ICC/IF, IHC,  IHC-P, WB
NB400-135
Species: Hu, Mu, Rt
Applications: ChIP, ChIP, GS, IB, ICC/IF, IHC,  IHC-P, IP, KD, KO, PAGE, WB
NBP2-22106
Species: Hu, Mu, Rt
Applications: IHC,  IHC-P, IP, WB
NBP2-50037
Species: Hu, Mu, Rt
Applications: ICC/IF, IHC, KO, WB
AF3254
Species: Hu, Mu, Rt
Applications: WB
NBP2-49095
Species: Hu, Mu, Rt
Applications: WB, ICC/IF, IHC

Publications for TXNIP Antibody (NBP2-49095) (0)

There are no publications for TXNIP Antibody (NBP2-49095).
By submitting your publication information earn gift cards and discounts for future purchases.

Reviews for TXNIP Antibody (NBP2-49095) (0)

There are no reviews for TXNIP Antibody (NBP2-49095). By submitting a review you will receive an Amazon e-Gift Card or Novus Product Discount.
  • Review with no image -- $10/€7/£6/$10 CAD/¥70 Yuan/¥1110 Yen
  • Review with an image -- $25/€18/£15/$25 CAD/¥150 Yuan/¥2500 Yen

Product General Protocols

Find general support by application which include: protocols, troubleshooting, illustrated assays, videos and webinars.

Video Protocols

WB Video Protocol
ICC/IF Video Protocol

FAQs for TXNIP Antibody (NBP2-49095) (0)

There are no specific FAQs related to this product. Read our general customer & technical service FAQs.

Contact Information

Product PDFs

Calculators

Concentration Calculator

The concentration calculator allows you to quickly calculate the volume, mass or concentration of your vial. Simply enter your mass, volume, or concentration values for your reagent and the calculator will determine the rest.

=
÷

Review this Product

Be the first to review our TXNIP Antibody and receive a gift card or discount.

Bioinformatics

Gene Symbol TXNIP