Troponin T Type 2 (cardiac) Antibody (3-G6)

Images

 
Western Blot: Troponin T Type 2 (cardiac) Antibody (3-G6) [NBP2-75430] - Analysis of Cardiac Troponin T on human heart tissue lysate using anti- Cardiac Troponin T antibody at 1/1,000 dilution.
Immunocytochemistry/ Immunofluorescence: Troponin T Type 2 (cardiac) Antibody (3-G6) [NBP2-75430] - Staining Cardiac Troponin T (green) in Hela cells. The nuclear counter stain is DAPI (blue). Cells were fixed in ...read more
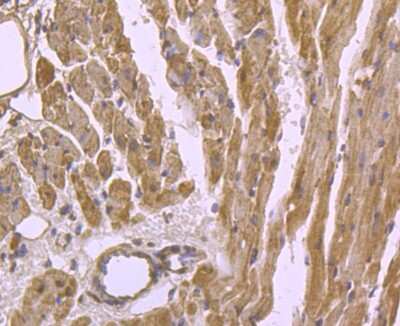
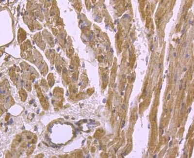
Immunohistochemistry-Paraffin: Troponin T Type 2 (cardiac) Antibody (3-G6) [NBP2-75430] - Analysis of mouse heart tissue using anti- Cardiac Troponin T antibody. Counter stained with hematoxylin.
Immunocytochemistry/ Immunofluorescence: Troponin T Type 2 (cardiac) Antibody (3-G6) [NBP2-75430] - Staining Cardiac Troponin T (green) in A431 cells. The nuclear counter stain is DAPI (blue). Cells were fixed in ...read more

Order Details


    • Catalog Number
      NBP2-75430
    • Availability
      Product Discontinued

    Can't find what you are looking for? Use our Antibody Concierge Service & we will help you locate your antibody!

    Or feel free to contact us for alternative products.

Troponin T Type 2 (cardiac) Antibody (3-G6) Summary

Immunogen
Synthetic peptide within huamn Troponin T Type 2 (cardiac) aa 45-89/298. (SwissProt: P45379 Human; SwissProt: P50752 Mouse)
Localization
Cytoskeleton, Cytosol.
Isotype
IgG2b
Clonality
Monoclonal
Host
Mouse
Gene
TNNT2
Purity
Protein G purified
Innovator's Reward
Test in a species/application not listed above to receive a full credit towards a future purchase.

Applications/Dilutions

Dilutions
  • Immunocytochemistry/ Immunofluorescence 1:50-1:200
  • Immunohistochemistry
  • Immunohistochemistry-Paraffin 1:50-1:200
  • Western Blot 1:500-1:1000
Theoretical MW
36 kDa.
Disclaimer note: The observed molecular weight of the protein may vary from the listed predicted molecular weight due to post translational modifications, post translation cleavages, relative charges, and other experimental factors.

Reactivity Notes

Mouse blocking reagent may be needed for IHC and ICC experiments to reduce high background signal. You can find these reagents under catalog numbers PK-2200-NB and MP-2400-NB. Please contact Technical Support if you have any. Please note that this antibody is reactive to Mouse and derived from the same host, Mouse. Mouse-On-questions.

Packaging, Storage & Formulations

Storage
Store at 4C short term. Aliquot and store at -20C long term. Avoid freeze-thaw cycles.
Buffer
PBS (pH7.4), 0.2% BSA, 50% Glycerol
Preservative
0.05% Sodium Azide
Concentration
2 mg/ml
Purity
Protein G purified

Alternate Names for Troponin T Type 2 (cardiac) Antibody (3-G6)

  • cardiac
  • CMD1D
  • CMPD2
  • dilated 1D (autosomal dominant)
  • hypertrophic 2
  • MGC3889
  • RCM3
  • TnTc
  • troponin T type 2 (cardiac)
  • troponin T, cardiac muscle

Background

Does not cross-react with skeletal muscle troponin T, cTnI or TnC.

Limitations

This product is for research use only and is not approved for use in humans or in clinical diagnosis. Primary Antibodies are guaranteed for 1 year from date of receipt.

Customers Who Viewed This Item Also Viewed...

MAB9096
Species: Hu
Applications: IHC, WB
NBP2-13632
Species: Hu
Applications: IHC,  IHC-P
NB110-2546
Species: Hu, Mu
Applications: Flow, AP, IA, IHC,  IHC-P, IP, S-ELISA, WB
NBP1-33716
Species: Hu, Mu, Po, Rt
Applications: ICC/IF, IHC,  IHC-P, WB
NBP1-97725
Species: Bv, Gt, Hu, Mu, Po, Rb, Rt, Ze
Applications: ELISA, ICC/IF, IHC, IHC-Fr,  IHC-P, WB
NBP1-85010
Species: Hu
Applications: IHC,  IHC-P
NBP1-30249
Species: Hu, Mu, Xp
Applications: ELISA, Flow, ICC/IF, IHC, WB
NBP2-55165
Species: Hu
Applications: ICC/IF, IHC,  IHC-P, WB
NBP1-88068
Species: Hu
Applications: IHC,  IHC-P
NBP3-13841
Species: Hu
Applications: Flow, ICC/IF, PA
NBP2-55151
Species: Hu
Applications: ICC/IF, IHC,  IHC-P
NBP1-88071
Species: Hu, Rt
Applications: ICC/IF, IHC,  IHC-P
H00005555-P01
Species: Hu
Applications: ELISA, AP, PA, PAGE, WB
NBP1-32974
Species: Hu, Mu, Rt
Applications: ICC/IF, IHC,  IHC-P, WB
NB200-316
Species: Bv, Hu, Mu, Po, Pm, Rb, Rt
Applications: Flow, GS, ICC/IF, IHC, IHC-Fr,  IHC-P, IP, Simple Western, WB
NB100-74451
Species: Bv, Hu, Mu, Po, Rt
Applications: ICC/IF, IHC, IHC-Fr, WB
MAB8979
Species: Hu
Applications: ICC, IHC, WB
H00011155-M06
Species: Hu, Mu, Rt
Applications: ELISA, ICC/IF, IP, KD, WB
NB110-85519
Species: Mu
Applications: ELISA, IHC, IP, KD, KO, WB
NBP2-19807
Species: Hu, Mu, Po, Rt
Applications: ICC/IF, IHC,  IHC-P, WB

Publications for Troponin T Type 2 (cardiac) Antibody (NBP2-75430) (0)

There are no publications for Troponin T Type 2 (cardiac) Antibody (NBP2-75430).
By submitting your publication information earn gift cards and discounts for future purchases.

Reviews for Troponin T Type 2 (cardiac) Antibody (NBP2-75430) (0)

There are no reviews for Troponin T Type 2 (cardiac) Antibody (NBP2-75430). By submitting a review you will receive an Amazon e-Gift Card or Novus Product Discount.
  • Review with no image -- $10/€7/£6/$10 CAD/¥70 Yuan/¥1110 Yen
  • Review with an image -- $25/€18/£15/$25 CAD/¥150 Yuan/¥2500 Yen

Product General Protocols

Find general support by application which include: protocols, troubleshooting, illustrated assays, videos and webinars.

Video Protocols

WB Video Protocol
ICC/IF Video Protocol

FAQs for Troponin T Type 2 (cardiac) Antibody (NBP2-75430) (0)

There are no specific FAQs related to this product. Read our general customer & technical service FAQs.

Secondary Antibodies

 

Isotype Controls

Additional Troponin T Type 2 (cardiac) Products

Research Areas for Troponin T Type 2 (cardiac) Antibody (NBP2-75430)

Find related products by research area.

Blogs on Troponin T Type 2 (cardiac)

There are no specific blogs for Troponin T Type 2 (cardiac), but you can read our latest blog posts.

Contact Information

Product PDFs

Calculators

Concentration Calculator

The concentration calculator allows you to quickly calculate the volume, mass or concentration of your vial. Simply enter your mass, volume, or concentration values for your reagent and the calculator will determine the rest.

=
÷

Review this Product

Be the first to review our Troponin T Type 2 (cardiac) Antibody (3-G6) and receive a gift card or discount.

Bioinformatics

Gene Symbol TNNT2