Tropomodulin 2 Antibody - BSA Free

Images

 
Western Blot: Tropomodulin 2 Antibody [NBP1-87378] - Lane 1: Marker [kDa] 250, 130, 95, 72, 55, 36, 28, 17, 10Lane 2: Human cell line RT-4Lane 3: Human cell line U-251MG spLane 4: Human plasma (IgG/HSA depleted)Lane 5: ...read more
Immunocytochemistry/ Immunofluorescence: Tropomodulin 2 Antibody [NBP1-87378] - Immunofluorescent staining of human cell line SH-SY5Y shows localization to nucleoli fibrillar center.
Orthogonal Strategies: Immunohistochemistry-Paraffin: Tropomodulin 2 Antibody [NBP1-87378] - Staining in human cerebral cortex and pancreas tissues using anti-TMOD2 antibody. Corresponding TMOD2 RNA-seq data are ...read more
Immunohistochemistry-Paraffin: Tropomodulin 2 Antibody [NBP1-87378] - Staining of human testis shows strong cytoplasmic positivity in cells in seminiferus ducts.
Immunohistochemistry-Paraffin: Tropomodulin 2 Antibody [NBP1-87378] - Staining of human cerebral cortex shows high expression.
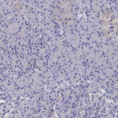
Immunohistochemistry-Paraffin: Tropomodulin 2 Antibody [NBP1-87378] - Staining of human pancreas shows low expression as expected.

Product Details

Summary
Reactivity Hu, Mu, RtSpecies Glossary
Applications WB, ICC/IF, IHC
Clonality
Polyclonal
Host
Rabbit
Conjugate
Unconjugated
Format
BSA Free
Validated by:
       

Orthogonal Strategies

 

Order Details

View Available Formulations
Catalog# & Formulation Size Price

Tropomodulin 2 Antibody - BSA Free Summary

Description
Novus Biologicals Rabbit Tropomodulin 2 Antibody - BSA Free (NBP1-87378) is a polyclonal antibody validated for use in IHC, WB and ICC/IF. All Novus Biologicals antibodies are covered by our 100% guarantee.
Immunogen
This antibody was developed against Recombinant Protein corresponding to amino acids: TELYDLAAVLGVHNLLNNPKFDEETANNKGGKGPVRNVVKGEKVKPVFEEPPN
Predicted Species
Mouse (91%), Rat (91%). Backed by our 100% Guarantee.
Isotype
IgG
Clonality
Polyclonal
Host
Rabbit
Gene
TMOD2
Purity
Immunogen affinity purified
Innovator's Reward
Test in a species/application not listed above to receive a full credit towards a future purchase.

Applications/Dilutions

Dilutions
  • Immunocytochemistry/ Immunofluorescence 0.25-2 ug/ml
  • Immunohistochemistry 1:500 - 1:1000
  • Immunohistochemistry-Paraffin 1:500 - 1:1000
  • Western Blot 0.04-0.4 ug/ml
Application Notes
For IHC-Paraffin, HIER pH 6 retrieval is recommended. Immunocytochemistry/Immunofluorescence Fixation Permeabilization: Use PFA/Triton X-100.
Theoretical MW
40 kDa.
Disclaimer note: The observed molecular weight of the protein may vary from the listed predicted molecular weight due to post translational modifications, post translation cleavages, relative charges, and other experimental factors.
Control Peptide
Tropomodulin 2 Protein (NBP1-87378PEP)

Packaging, Storage & Formulations

Storage
Store at 4C short term. Aliquot and store at -20C long term. Avoid freeze-thaw cycles.
Buffer
PBS (pH 7.2) and 40% Glycerol
Preservative
0.02% Sodium Azide
Purity
Immunogen affinity purified

Alternate Names for Tropomodulin 2 Antibody - BSA Free

  • MGC39481
  • Neuronal tropomodulin
  • N-TMOD
  • NTMODtropomodulin-2
  • tropomodulin 2 (neuronal)

Background

Tropomodulin 2 encodes a neuronal-specific member of the tropomodulin family of actin-regulatory proteins. The encoded protein caps the pointed end of actin filaments preventing both elongation and depolymerization. The capping activity of this protein is dependent on its association with tropomyosin. Alternatively spliced transcript variants encoding different isoforms have been described. [provided by RefSeq]

Limitations

This product is for research use only and is not approved for use in humans or in clinical diagnosis. Primary Antibodies are guaranteed for 1 year from date of receipt.

Customers Who Viewed This Item Also Viewed...

NBP2-00955
Species: Hu, Pm, Mu, Rt
Applications: ICC/IF, IHC,  IHC-P, WB
NBP1-80745
Species: Hu
Applications: IHC,  IHC-P, WB
NBP1-86870
Species: Hu, Mu, Rt
Applications: ICC/IF, IHC,  IHC-P, WB
NBP1-68766
Species: Hu, Mu, Rt
Applications: IHC,  IHC-P, PEP-ELISA, WB
NBP2-25151
Species: Hu, Pm, Mu, Rt
Applications: ICC/IF, WB
NBP1-85448
Species: Hu, Mu, Rt
Applications: ICC/IF, IHC,  IHC-P, WB
H00007170-M02
Species: Hu
Applications: ELISA, IHC,  IHC-P, S-ELISA, WB
NBP2-24915
Species: Bv, Hu, Mu, Rt
Applications: IHC,  IHC-P, WB
NBP1-87378
Species: Hu
Applications: ICC/IF, IHC,  IHC-P, WB
AF5675
Species: Hu, Mu, Rt
Applications: IHC, IP, KO, WB
MAB6896
Species: Hu, Mu, Rt
Applications: IHC, Simple Western, WB
NB300-131
Species: Bv, Hu, Mu, Po, Rt
Applications: ICC/IF, IHC,  IHC-P, KO, WB
NB300-222
Species: Bv, Ch, Dr, Eq, Hu, Mu, Po, Rt
Applications: IB, ICC/IF, IHC-FrFl, IHC, KD, WB
NBP1-87797
Species: Hu, Mu, Rt
Applications: IHC,  IHC-P, Simple Western, WB
NBP1-87426
Species: Hu, Mu, Rt
Applications: ICC/IF, IHC,  IHC-P, WB
AF6278
Species: Hu, Mu
Applications: WB

Publications for Tropomodulin 2 Antibody (NBP1-87378) (0)

There are no publications for Tropomodulin 2 Antibody (NBP1-87378).
By submitting your publication information earn gift cards and discounts for future purchases.

Reviews for Tropomodulin 2 Antibody (NBP1-87378) (0)

There are no reviews for Tropomodulin 2 Antibody (NBP1-87378). By submitting a review you will receive an Amazon e-Gift Card or Novus Product Discount.
  • Review with no image -- $10/€7/£6/$10 CAD/¥70 Yuan/¥1110 Yen
  • Review with an image -- $25/€18/£15/$25 CAD/¥150 Yuan/¥2500 Yen

Product General Protocols

Find general support by application which include: protocols, troubleshooting, illustrated assays, videos and webinars.

Video Protocols

WB Video Protocol
ICC/IF Video Protocol

FAQs for Tropomodulin 2 Antibody (NBP1-87378) (0)

There are no specific FAQs related to this product. Read our general customer & technical service FAQs.

Secondary Antibodies

 

Isotype Controls

Additional Tropomodulin 2 Products

Research Areas for Tropomodulin 2 Antibody (NBP1-87378)

Find related products by research area.

Blogs on Tropomodulin 2

There are no specific blogs for Tropomodulin 2, but you can read our latest blog posts.

Customers Who Bought This Also Bought

Contact Information

Product PDFs

Calculators

Concentration Calculator

The concentration calculator allows you to quickly calculate the volume, mass or concentration of your vial. Simply enter your mass, volume, or concentration values for your reagent and the calculator will determine the rest.

=
÷

Review this Product

Be the first to review our Tropomodulin 2 Antibody - BSA Free and receive a gift card or discount.

Bioinformatics

Gene Symbol TMOD2
Entrez
Uniprot