Transcription factor E3 Antibody

Images

 
Western Blot: Transcription factor E3 Antibody [NBP1-89976] - Analysis of TFE3 in total lysates of MIN6 mouse insulinoma while cell lysates. Image submitted by a verified customer review.
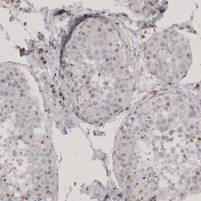
Immunohistochemistry-Paraffin: Transcription factor E3 Antibody [NBP1-89976] - Staining of human testis shows moderate nuclear positivity in a subset of cells in seminiferous ducts.
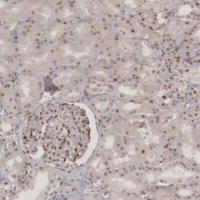
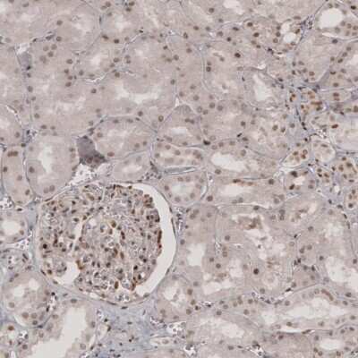
Immunohistochemistry-Paraffin: Transcription factor E3 Antibody [NBP1-89976] - Staining of human kidney shows moderate nuclear positivity in renal glomeruli and tubuli cells.
Immunohistochemistry-Paraffin: Transcription factor E3 Antibody [NBP1-89976] - Staining of human placenta shows moderate to strong nuclear positivity in trophoblastic cells.
Immunohistochemistry-Paraffin: Transcription factor E3 Antibody [NBP1-89976] - Staining of human prostate shows moderate to strong nuclear positivity in glandular cells.
Simple Western: Transcription factor E3 Antibody [NBP1-89976] - Simple Western lane view shows a specific band for TFE3 in 0.2 mg/ml of RT-4 lysate. This experiment was performed under reducing conditions using the ...read more
Simple Western: Transcription factor E3 Antibody [NBP1-89976] - Electropherogram image(s) of corresponding Simple Western lane view. Transcription factor E3 antibody was used at 1:30 dilution on RT-4 lysate(s).

Product Details

Summary
Product Discontinued
View other related Transcription factor E3 Primary Antibodies

Order Details


    • Catalog Number
      NBP1-89976
    • Availability
      Product Discontinued

    Can't find what you are looking for? Use our Antibody Concierge Service & we will help you locate your antibody!

    Or feel free to contact us for alternative products.

Transcription factor E3 Antibody Summary

Immunogen
This antibody was developed against Recombinant Protein corresponding to amino acids: SKDLESRQRSLEQANRSLQLRIQELELQAQIHGLPVPPTPGLLSLATTSASDSLKPEQLDIEEEGRPGAATFHVGGGPAQNAPHQQPPAPPSDALLDLHFPSDHLGDLGDPFHLGLEDILMEEEEGVVGGLSGGALSPLRAAS
Isotype
IgG
Clonality
Polyclonal
Host
Rabbit
Gene
TFE3
Purity
Immunogen affinity purified
Innovator's Reward
Test in a species/application not listed above to receive a full credit towards a future purchase.

Applications/Dilutions

Dilutions
  • Immunohistochemistry 1:500 - 1:1000
  • Immunohistochemistry-Paraffin 1:500 - 1:1000
  • Simple Western 1:30
  • Western Blot 0.04-0.4 ug/ml
Application Notes
For IHC-Paraffin, HIER pH 6 retrieval is recommended.

In Simple Western only 10 - 15 uL of the recommended dilution is used per data point. Separated by Size-Wes, Sally Sue/Peggy Sue. Transcription factor E3 antibody validated for WB from a verified customer review.
Control Peptide
Transcription factor E3 Protein (NBP1-89976PEP)
Reviewed Applications
Read 2 Reviews rated 4.5
using
NBP1-89976 in the following applications:

Publications
Read Publications using
NBP1-89976 in the following applications:

Reactivity Notes

Reactivity reported in scientific literature (PMID: 23582324)

Packaging, Storage & Formulations

Storage
Store at 4C short term. Aliquot and store at -20C long term. Avoid freeze-thaw cycles.
Buffer
PBS (pH 7.2) and 40% Glycerol
Preservative
0.02% Sodium Azide
Purity
Immunogen affinity purified

Alternate Names for Transcription factor E3 Antibody

  • BHLHE33
  • bHLHe33transcription factor E3
  • Class E basic helix-loop-helix protein 33
  • RCCP2
  • TFEA
  • transcription factor binding to IGHM enhancer 3
  • transcription factor E family, member A
  • Transcription factor for IgH enhancer

Background

TFE3, a member of the helix-loop-helix family of transcription factors, binds to the mu-E3 motif of the immunoglobulin heavy-chain enhancer and is expressed in many cell types (Henthorn et al., 1991 [PubMed 1685140]).[supplied by OMIM]

Limitations

This product is for research use only and is not approved for use in humans or in clinical diagnosis. Primary Antibodies are guaranteed for 1 year from date of receipt.

Customers Who Viewed This Item Also Viewed...

AF5769
Species: Hu
Applications: IHC, WB
H00007942-M01
Species: Hu, Mu, Rt
Applications: ELISA, IB, ICC/IF,  IHC-P, WB
NBP1-89150
Species: Hu
Applications: IHC,  IHC-P, WB
H00011026-M01
Species: Hu
Applications: ELISA, WB
NBP1-31302
Species: Hu, Mu, Rt
Applications: ICC/IF, IHC,  IHC-P, KO, WB
NBP1-90079
Species: Hu
Applications: ICC/IF, IHC,  IHC-P, WB
NBP2-55877
Species: Hu
Applications: IHC,  IHC-P
AF2377
Species: Mu
Applications: IHC, Simple Western, WB
NBP1-57508
Species: Hu
Applications: IHC,  IHC-P, WB
AF1126
Species: Mu
Applications: ELISA(Cap), ELISA(Det), ELISA(Sta), IHC, IP, WB
NBP1-87152
Species: Hu
Applications: ICC/IF, IHC,  IHC-P
NBP3-45259
Species: Hu, Mu, Rt
Applications: ELISA, IHC, IP, WB
NBP2-38290
Species: Hu
Applications: ChIP-EXO-SEQ, ICC/IF, IHC,  IHC-P, KD, WB
NB300-223
Species: Bv, Ca, Ch, Eq, Hu, Mu, Po, Rt
Applications: ICC/IF, IHC, IHC-Fr,  IHC-P, WB
NBP2-29463
Species: Pm, Hu, Pm, Mu
Applications: Flow, ICC/IF, IHC,  IHC-P, WB
H00001513-M01
Species: Hu
Applications: ELISA, ICC/IF, IHC,  IHC-P, WB
NBP2-67232
Species: Hu, Mu
Applications: ICC/IF, IHC,  IHC-P, WB
AF1356
Species: Hu, Mu
Applications: CyTOF-ready, Dual ISH-IHC, Flow, IHC, Simple Western, WB
NBP2-47940
Species: Hu
Applications: CyTOF-ready, Flow, ICC/IF, IF, IHC,  IHC-P, Simple Western, WB
NBP1-89976
Species: Hu, Mu, Rt
Applications: WB, Simple Western, IHC

Publications for Transcription factor E3 Antibody (NBP1-89976)(5)

Reviews for Transcription factor E3 Antibody (NBP1-89976) (2) 4.52

Average Rating: 4.5
(Based on 2 reviews)
We have 2 reviews tested in 2 species: Mouse, Pig.

Reviews using NBP1-89976:
Filter by Applications
WB
(1)
ICC
(1)
All Applications
Filter by Species
Mouse
(1)
Pig
(1)
All Species
Images Ratings Applications Species Date Details
Western Blot Transcription factor E3 NBP1-89976
Enlarge
5
reviewed by:
Verified Customer
WB Mouse 02/07/2018
View

Summary

ApplicationWestern Blot
Sample TestedMin6 mouse insulinoma whole cell lysate
SpeciesMouse
LotK106812
Immunocytochemistry Transcription factor E3 NBP1-89976
Enlarge
4
reviewed by:
Verified Customer
ICC Pig 02/09/2017
View

Summary

ApplicationImmunocytochemistry
Sample Testedprimary pig RPE
SpeciesPig
LotE106019

Product General Protocols

Find general support by application which include: protocols, troubleshooting, illustrated assays, videos and webinars.

Video Protocols

WB Video Protocol

FAQs for Transcription factor E3 Antibody (NBP1-89976) (0)

There are no specific FAQs related to this product. Read our general customer & technical service FAQs.

Secondary Antibodies

 

Isotype Controls

Additional Transcription factor E3 Products

Research Areas for Transcription factor E3 Antibody (NBP1-89976)

Find related products by research area.

Blogs on Transcription factor E3.

Epigenetic Control of Autophagy
By Christina Towers, PhD. In the last 20 years, epigenetic regulation has become front and center for almost all fields of biology and its role in diseases like cancer and neurodegeneration are being heavily studi...  Read full blog post.

Contact Information

Product PDFs

Calculators

Concentration Calculator

The concentration calculator allows you to quickly calculate the volume, mass or concentration of your vial. Simply enter your mass, volume, or concentration values for your reagent and the calculator will determine the rest.

=
÷

Recent Reviews

4.5
5
1
4
1
3
0
2
0
1
0

Verified Customer
02/07/2018
Application: WB
Species: Mouse

Verified Customer
02/09/2017
Application: ICC
Species: Pig

Bioinformatics

Gene Symbol TFE3