TFEB Antibody (S1) - Azide and BSA Free

Images

 
Western Blot: TFEB Antibody (S1) [H00007942-M01] - TFEB monoclonal antibody (M01), clone S1. Analysis of TFEB expression in rat brain.
Immunocytochemistry/ Immunofluorescence: TFEB Antibody (S1) [H00007942-M01] - Analysis of monoclonal antibody to TFEB on HeLa cell. Antibody concentration 20 ug/ml.
Western Blot: TFEB Antibody (S1) [H00007942-M01] - TFEB monoclonal antibody (M01), clone 3E1-G6 Western Blot analysis of TFEB expression in Jurkat ( Cat # L017V1 ).
ELISA: TFEB Antibody (S1) [H00007942-M01] - TFEB Antibody (3E1-G6) [H00007942-M01] - Detection limit for recombinant GST tagged TFEB is approximately 0.03ng/ml as a capture antibody.
Western Blot: TFEB Antibody (S1) [H00007942-M01] - GDF11 inhibits TFEB activity. (a) AML‐12 cells were cultured for 48 h in presence of GDF11 (100 ng/ml). qRT‐PCR analysis of the mRNA levels of TFEB & its target ...read more
Western Blot: TFEB Antibody (S1) [H00007942-M01] - TFEB expression reduces PHF1 levels in the P301S model of tauopathy, & significantly attenuates the loss of neuronal & synaptic markers in the hippocampus. A, Lysates ...read more
Western Blot: TFEB Antibody (S1) [H00007942-M01] - GDF11 inhibits TFEB activity. (a) AML‐12 cells were cultured for 48 h in presence of GDF11 (100 ng/ml). qRT‐PCR analysis of the mRNA levels of TFEB & its target ...read more

Product Details

Summary
Reactivity Hu, Mu, RtSpecies Glossary
Applications WB, ELISA, ICC/IF, IHC, WB
Clone
S1
Clonality
Monoclonal
Host
Mouse
Conjugate
Unconjugated
Format
Azide and BSA Free

Order Details

TFEB Antibody (S1) - Azide and BSA Free Summary

Description
Quality control test: Antibody Reactive Against Recombinant Protein.
Immunogen
TFEB (AAH32448, 1 a.a. ~ 476 a.a) full-length recombinant protein with GST tag. MW of the GST tag alone is 26 KDa. MASRIGLRMQLMREQAQQEEQRERMQQQAVMHYMQQQQQQQQQQLGGPPTPAINTPVHFQSPPPVPGEVLKVQSYLENPTSYHLQQSQHQKVREYLSETYGNKFAAHISPAQGSPKPPPAASPGVRAGHVLSSSAGNSAPNSPMAMLHIGSNPERELDDVIDNIMRLDDVLGYINPEMQMPNTLPLSSSHLNVYSSDPQVTASLVGVTSSSCPADLTQKRELTDAESRALAKERQKKDNHNLIERRRRFNINDRIKELGMLIPKANDLDVRWNKGTILKASVDYIRRMQKDLQKSRELENHSRRLEMTNKQLWLRIQELEMQARVHGLPTTSPSGMNMAELAQQVVKQELPSEEGPGEALMLGAEVPDPEPLPALPPQAPLPLPTQPPSPFHHLDFSHSLSFGGREDEGPPGYPEPLAPGHGSPFPSLSKKDLDLMLLDDSLLPLASDPLLSTMSPEASKASSRRSSFSMEEGDVL
Specificity
TFEB - transcription factor EB
Isotype
IgG1 Kappa
Clonality
Monoclonal
Host
Mouse
Gene
TFEB
Purity
IgG purified
Innovator's Reward
Test in a species/application not listed above to receive a full credit towards a future purchase.

Applications/Dilutions

Dilutions
  • ELISA
  • Immunoblotting
  • Immunocytochemistry/ Immunofluorescence
  • Immunohistochemistry-Paraffin
  • Western Blot
Application Notes
Antibody reactivity against cell lysate and recombinant protein for WB. It has also been used for IF and ELISA. Use in IHC-P reported in scientific literature (PMID:35897713).
Reviewed Applications
Read 1 Review rated 3
using
H00007942-M01 in the following applications:

Publications
Read Publications using
H00007942-M01 in the following applications:

  • 1 publication
  • WB
    1 publication

Packaging, Storage & Formulations

Storage
Aliquot and store at -20C or -80C. Avoid freeze-thaw cycles.
Buffer
In 1x PBS, pH 7.4
Preservative
No Preservative
Purity
IgG purified

Notes

This product is produced by and distributed for Abnova, a company based in Taiwan.

Alternate Names for TFEB Antibody (S1) - Azide and BSA Free

  • ALPHATFEB
  • BHLHE35
  • Class E basic helix-loop-helix protein 35
  • T-cell transcription factor EB
  • TCFEB
  • TCFEBbHLHe35
  • TFEB
  • transcription factor EB

Background

Transcription factor that specifically recognizes and binds E-box sequences (3'-CANNTG-5'). Efficient DNA-binding requires dimerization with itself or with another MiT/TFE family member such as TFE3 or MITF. In association with TFE3, activates the expression of CD40L in T-cells, thereby playing a role in T-cell-dependent antibody responses in activated CD4(+) T-cells and thymus-dependent humoral immunity. Specifically recognizes and binds the CLEAR-box sequence (5'-GTCACGTGAC-3') present in the regulatory region of many lysosomal genes, leading to activate their expression. It thereby plays a central role in expression of lysosomal genes. Specifically recognizes the gamma-E3 box, a subset of E-boxes, present in the heavy-chain immunoglobulin enhancer. Plays a role in the signal transduction processes required for normal vascularization of the placenta

Limitations

This product is for research use only and is not approved for use in humans or in clinical diagnosis. Primary Antibodies are guaranteed for 1 year from date of receipt.

Customers Who Viewed This Item Also Viewed...

NBP3-18540
Species: Hu
Applications: ICC/IF, IHC,  IHC-P, WB
AF5769
Species: Hu
Applications: IHC, WB
NBP3-45259
Species: Hu, Mu, Rt
Applications: ELISA, IHC, IP, WB
NB600-607
Species: Hu, Rt
Applications: ELISA, IHC,  IHC-P, WB
H00027065-M01
Species: Hu, Rt
Applications: ELISA, ICC/IF, S-ELISA, WB
NBP2-29463
Species: Pm, Hu, Pm, Mu
Applications: Flow, ICC/IF, IHC,  IHC-P, WB
NBP2-46085
Species: Hu
Applications: IHC,  IHC-P, WB
NBP1-31302
Species: Hu, Mu, Rt
Applications: ICC/IF, IHC,  IHC-P, KO, WB
H00001513-M01
Species: Hu
Applications: ELISA, ICC/IF, IHC,  IHC-P, WB
NBP1-89150
Species: Hu
Applications: IHC,  IHC-P, WB
H00011026-M01
Species: Hu
Applications: ELISA, WB
AF1230
Species: Hu, Mu, Rt
Applications: IHC, KO, WB
NB600-302
Species: Bv, Dr, Hu, Mu
Applications: ChIP, ELISA, Flow-IC, Flow, IB, ICC/IF, IHC, IHC-Fr,  IHC-P, IP, PLA, S-ELISA, Simple Western, WB
NBP2-22203
Species: Hu, Pm, Mu, Rt
Applications: ELISA, Flow, ICC/IF, IHC,  IHC-P, WB
NBP3-15642
Species: Hu, Mu, Rt
Applications: ICC/IF, IHC,  IHC-P, WB
NBP1-87152
Species: Hu
Applications: ICC/IF, IHC,  IHC-P
NBP2-55877
Species: Hu
Applications: IHC,  IHC-P
NB100-793
Species: Hu, Rt
Applications: ICC/IF, IHC,  IHC-P, PEP-ELISA, WB
AF2377
Species: Mu
Applications: IHC, Simple Western, WB
H00007942-M01
Species: Hu, Mu, Rt
Applications: WB, ELISA, ICC/IF, IHC, WB

Publications for TFEB Antibody (H00007942-M01)(7)

We have publications tested in 1 confirmed species: Mouse.

We have publications tested in 2 applications: IHC-P, WB.


Filter By Application
IHC-P
(1)
WB
(1)
All Applications
Filter By Species
Mouse
(2)
All Species

Review for TFEB Antibody (H00007942-M01) (1) 31

Average Rating: 3
(Based on 1 review)
We have 1 review tested in 1 species: Rat.

Reviews using H00007942-M01:
Filter by Applications
Simple Western
(1)
All Applications
Filter by Species
Rat
(1)
All Species
Images Ratings Applications Species Date Details
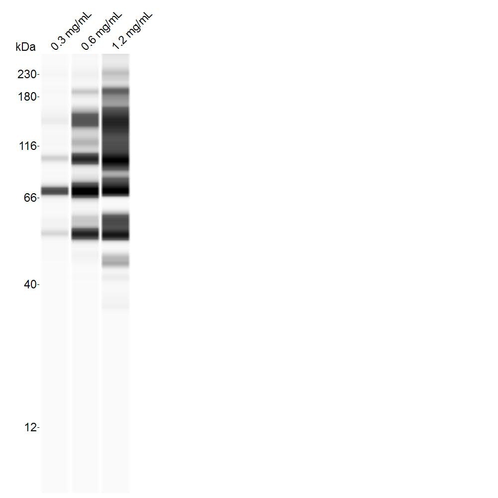
Simple Western TFEB H00007942-M01
Enlarge
3
reviewed by:
Verified Customer
Simple Western Rat 08/18/2017
View

Summary

ApplicationSimple Western
Sample Testedcell line, whole cell lysate
SpeciesRat
LotG5031-S1

Product General Protocols

Find general support by application which include: protocols, troubleshooting, illustrated assays, videos and webinars.

Video Protocols

WB Video Protocol
ICC/IF Video Protocol

FAQs for TFEB Antibody (H00007942-M01) (0)

There are no specific FAQs related to this product. Read our general customer & technical service FAQs.

Secondary Antibodies

 

Isotype Controls

Additional TFEB Products

Array H00007942-M01

Research Areas for TFEB Antibody (H00007942-M01)

Find related products by research area.

Blogs on TFEB.

Epigenetic Control of Autophagy
By Christina Towers, PhD. In the last 20 years, epigenetic regulation has become front and center for almost all fields of biology and its role in diseases like cancer and neurodegeneration are being heavily studi...  Read full blog post.

Customers Who Bought This Also Bought

Contact Information

Product PDFs

Calculators

Concentration Calculator

The concentration calculator allows you to quickly calculate the volume, mass or concentration of your vial. Simply enter your mass, volume, or concentration values for your reagent and the calculator will determine the rest.

=
÷

Recent Reviews

3
5
0
4
0
3
1
2
0
1
0

Verified Customer
08/18/2017
Application: Simple Western
Species: Rat

Bioinformatics

Gene Symbol TFEB
Entrez
OMIM
Uniprot