Transcription factor E3 Antibody (CL12822) - Azide and BSA Free

Images

 
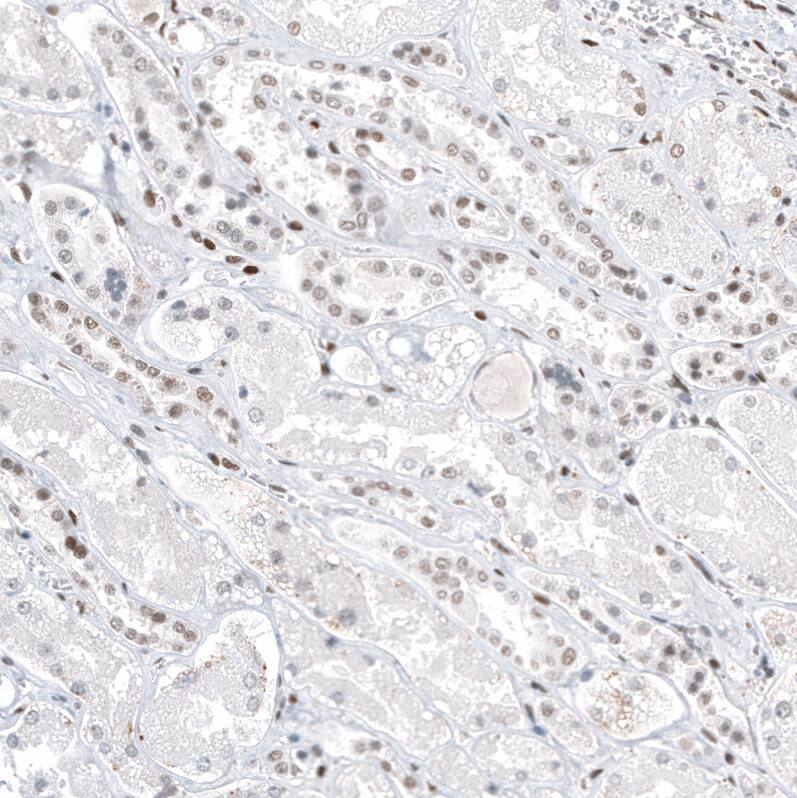
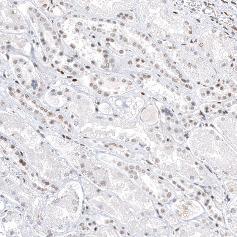
Staining of human kidney shows weak to moderate nuclear positivity in cells in tubules.
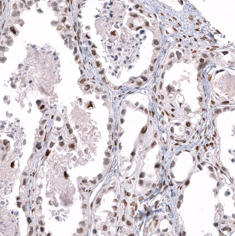
Staining of human kidney cancer shows strong nuclear positivity in tumor cells.
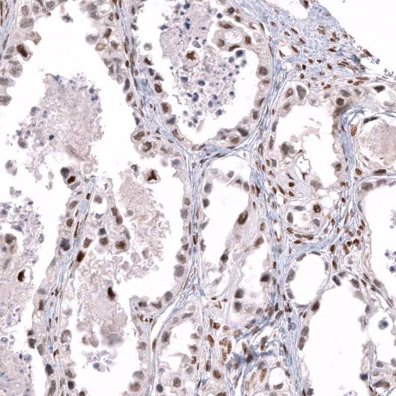
Staining of human ovarian cancer (clear cell carcinoma) shows moderate nuclear positivity in tumor cells.
Staining of human liver shows no positivity in hepatocytes as expected.
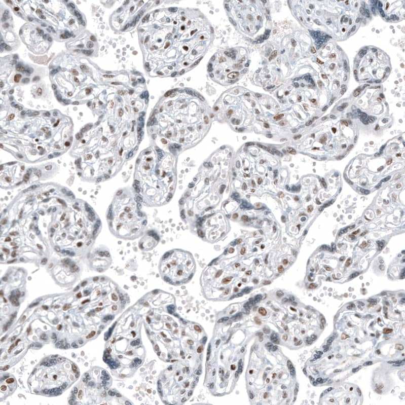
Staining of human placenta shows moderate nuclear positivity in trophoblastic cells.
Analysis in human cell line U-2 OS.
Staining of U2-OS cells using the Anti-Transcription factor E3 monoclonal antibody) .

Product Details

Summary
Reactivity HuSpecies Glossary
Applications WB, ICC/IF, IHC
Clone
CL12822
Clonality
Monoclonal
Host
Mouse
Conjugate
Unconjugated
Format
Azide and BSA Free
Concentration
LYOPH

Order Details

Transcription factor E3 Antibody (CL12822) - Azide and BSA Free Summary

Description
Novus Biologicals Mouse Transcription factor E3 Antibody (CL12822) - Azide and BSA Free (NBP3-18540) is a monoclonal antibody validated for use in IHC, WB and ICC/IF. All Novus Biologicals antibodies are covered by our 100% guarantee.
Immunogen
This antibody was generated using a recombinant protein sequence of P19532, with the exact immunogen sequence remaining proprietary.
Isotype
IgG2b
Clonality
Monoclonal
Host
Mouse
Gene
TFE3
Purity
Protein A purified
Innovator's Reward
Test in a species/application not listed above to receive a full credit towards a future purchase.

Applications/Dilutions

Dilutions
  • Immunocytochemistry/ Immunofluorescence 2-10 ug/ml
  • Immunohistochemistry-Paraffin 1:1000 - 1:2500
  • Western Blot 1 ug/ml
Application Notes
For use with IHC-Paraffin, HIER pH 6 retrieval is recommended. Immunocytochemistry/ Immunofluorescence/IF, Fixation/Permeabilization: PFA/Triton X-100.

Packaging, Storage & Formulations

Storage
Store at 4C short term. Aliquot and store at -20C long term. Avoid freeze-thaw cycles.
Buffer
Lyophilized from a 0.2 um filtered solution in PBS with Trehalose
Preservative
No Preservative
Concentration
LYOPH
Purity
Protein A purified
Reconstitution Instructions
Centrifuge the vial of lyophilized antibody at 12,000 x g for 20 seconds. Reconstitute by adding sterile, distilled water to achieve a final antibody concentration of 1mg/ml.

Alternate Names for Transcription factor E3 Antibody (CL12822) - Azide and BSA Free

  • BHLHE33
  • bHLHe33transcription factor E3
  • Class E basic helix-loop-helix protein 33
  • RCCP2
  • TFEA
  • transcription factor binding to IGHM enhancer 3
  • transcription factor E family, member A
  • Transcription factor for IgH enhancer

Background

TFE3, a member of the helix-loop-helix family of transcription factors, binds to the mu-E3 motif of the immunoglobulin heavy-chain enhancer and is expressed in many cell types (Henthorn et al., 1991 [PubMed 1685140]).[supplied by OMIM]

Limitations

This product is for research use only and is not approved for use in humans or in clinical diagnosis. Primary Antibodies are guaranteed for 1 year from date of receipt.

Customers Who Viewed This Item Also Viewed...

AF5769
Species: Hu
Applications: IHC, WB
H00007942-M01
Species: Hu, Mu, Rt
Applications: ELISA, IB, ICC/IF,  IHC-P, WB
NBP1-89150
Species: Hu
Applications: IHC,  IHC-P, WB
H00011026-M01
Species: Hu
Applications: ELISA, WB
NBP1-31302
Species: Hu, Mu, Rt
Applications: ICC/IF, IHC,  IHC-P, KO, WB
NBP1-90079
Species: Hu
Applications: ICC/IF, IHC,  IHC-P, WB
NBP2-55877
Species: Hu
Applications: IHC,  IHC-P
AF2377
Species: Mu
Applications: IHC, Simple Western, WB
NBP1-57508
Species: Hu
Applications: IHC,  IHC-P, WB
AF1126
Species: Mu
Applications: ELISA(Cap), ELISA(Det), ELISA(Sta), IHC, IP, WB
NBP1-87152
Species: Hu
Applications: ICC/IF, IHC,  IHC-P
NBP3-45259
Species: Hu, Mu, Rt
Applications: ELISA, IHC, IP, WB
NBP2-38290
Species: Hu
Applications: ChIP-EXO-SEQ, ICC/IF, IHC,  IHC-P, KD, WB
NB300-223
Species: Bv, Ca, Ch, Eq, Hu, Mu, Po, Rt
Applications: ICC/IF, IHC, IHC-Fr,  IHC-P, WB
NBP2-29463
Species: Pm, Hu, Pm, Mu
Applications: Flow, ICC/IF, IHC,  IHC-P, WB
H00001513-M01
Species: Hu
Applications: ELISA, ICC/IF, IHC,  IHC-P, WB
NBP2-67232
Species: Hu, Mu
Applications: ICC/IF, IHC,  IHC-P, WB
AF1356
Species: Hu, Mu
Applications: CyTOF-ready, Dual ISH-IHC, Flow, IHC, Simple Western, WB
NBP2-47940
Species: Hu
Applications: CyTOF-ready, Flow, ICC/IF, IF, IHC,  IHC-P, Simple Western, WB
NBP3-44162
Species: Hu
Applications: WB, ICC/IF, IHC

Publications for Transcription factor E3 Antibody (NBP3-44162) (0)

There are no publications for Transcription factor E3 Antibody (NBP3-44162).
By submitting your publication information earn gift cards and discounts for future purchases.

Reviews for Transcription factor E3 Antibody (NBP3-44162) (0)

There are no reviews for Transcription factor E3 Antibody (NBP3-44162). By submitting a review you will receive an Amazon e-Gift Card or Novus Product Discount.
  • Review with no image -- $10/€7/£6/$10 CAD/¥70 Yuan/¥1110 Yen
  • Review with an image -- $25/€18/£15/$25 CAD/¥150 Yuan/¥2500 Yen

Product General Protocols

Find general support by application which include: protocols, troubleshooting, illustrated assays, videos and webinars.

Video Protocols

WB Video Protocol
ICC/IF Video Protocol

FAQs for Transcription factor E3 Antibody (NBP3-44162) (0)

There are no specific FAQs related to this product. Read our general customer & technical service FAQs.

Secondary Antibodies

 

Isotype Controls

Additional Transcription factor E3 Products

Research Areas for Transcription factor E3 Antibody (NBP3-44162)

Find related products by research area.

Blogs on Transcription factor E3.

Epigenetic Control of Autophagy
By Christina Towers, PhD. In the last 20 years, epigenetic regulation has become front and center for almost all fields of biology and its role in diseases like cancer and neurodegeneration are being heavily studi...  Read full blog post.

Customers Who Bought This Also Bought

Contact Information

Product PDFs

Calculators

Concentration Calculator

The concentration calculator allows you to quickly calculate the volume, mass or concentration of your vial. Simply enter your mass, volume, or concentration values for your reagent and the calculator will determine the rest.

=
÷

Review this Product

Be the first to review our Transcription factor E3 Antibody (CL12822) - Azide and BSA Free and receive a gift card or discount.

Bioinformatics

Gene Symbol TFE3