TRAILR2/TNFRSF10B Antibody (JA03-38) Summary
| Additional Information |
Recombinant Monoclonal Antibody. |
| Immunogen |
Synthetic peptide within Human TRAILR2/TNFRSF10B aa 391-440 / 440. (SwissProt: O14763 Human) |
| Localization |
Membrane. |
| Isotype |
IgG |
| Clonality |
Monoclonal |
| Host |
Rabbit |
| Gene |
TNFRSF10B |
| Purity |
Protein A purified |
| Innovator's Reward |
Test in a species/application not listed above to receive a full credit towards a future purchase. |
Applications/Dilutions
| Dilutions |
- Flow Cytometry 1:50-1:100
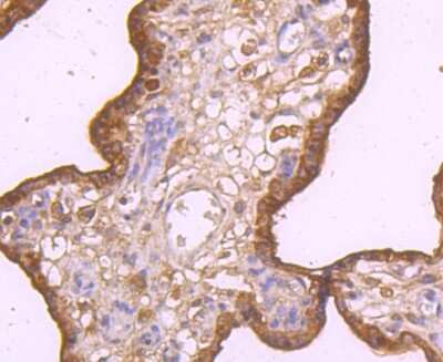
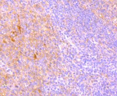
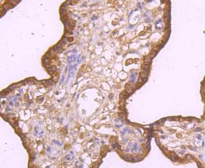
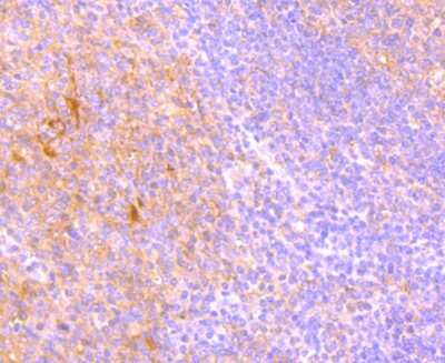
- Immunohistochemistry
- Immunohistochemistry-Paraffin 1:50-1:200
- Immunoprecipitation
- Western Blot 1:500-1:1000
|
Packaging, Storage & Formulations
| Storage |
Store at 4C short term. Aliquot and store at -20C long term. Avoid freeze-thaw cycles. |
| Buffer |
TBS (pH7.4), 0.05% BSA, 40% Glycerol |
| Preservative |
0.05% Sodium Azide |
| Concentration |
1 mg/ml |
| Purity |
Protein A purified |
Alternate Names for TRAILR2/TNFRSF10B Antibody (JA03-38)
Background
Apoptosis is induced by certain cytokines including TNF and Fas ligand in the TNF family through their death domain containing receptors. TRAIL/Apo2L is a new member of the TNF family. DR4 was recently identified as the receptor for TRAIL. A novel death domain containing receptor for TRAIL was more recently identified and designated DR5, Apo2, TRAIL-R2, TRICK2, or KILLER by several groups independently (1-2). Like DR4, DR5 transcript is widely expressed in normal tissues and in many types of tumor cells. DR5 binds to TRAIL and mediates TRAIL induced cell death. Overexpression of DR5 induces apoptosis and activates NF-kB.
Limitations
This product is for research use only and is not approved for use in humans or in clinical diagnosis. Primary Antibodies are
guaranteed for 1 year from date of receipt.
Customers Who Viewed This Item Also Viewed...
Species: Hu
Applications: BA
Species: Hu
Applications: IHC, Neut, WB
Species: Hu
Applications: BA
Species: Hu
Applications: BA
Species: Hu
Applications: ELISA, AP, PA, WB
Species: Ma, Hu, Mu, Rt
Applications: Flow, ICC/IF, IHC, IHC-Fr, IHC-P, IP, Simple Western, WB
Species: Hu, Mu
Applications: ELISA, ICC/IF, IHC, WB
Species: Hu, Mu, Rt
Applications: ELISA, IHC, WB
Species: Hu, Mu
Applications: ICC, IHC
Species: Hu, Mu
Applications: WB
Species: Hu
Applications: BA
Species: Hu, Mu, Rt, Xp(-), Ye
Applications: CyTOF-ready, ELISA, Flow-IC, Flow, ICC/IF, IHC, IHC-Fr, IHC-P, IP, WB
Species: Hu
Applications: IHC, Neut, WB
Species: Hu, Mu
Applications: IP, Simple Western, WB
Species: Hu, Mu
Applications: IP, Simple Western, WB
Species: Ca, Hu, Mu, Rt
Applications: IHC, IHC-P, IP, WB
Species: Ca, Ma, Hu, Mu, Rt
Applications: Flow-IC, ICC/IF, IHC, IHC-Fr, IHC-P, IP, WB
Species: Hu, Mu
Applications: ICC, IHC, KO, Simple Western, WB
Publications for TRAILR2/TNFRSF10B Antibody (NBP2-67225) (0)
There are no publications for TRAILR2/TNFRSF10B Antibody (NBP2-67225).
By submitting your publication information earn gift cards and discounts for future purchases.
Reviews for TRAILR2/TNFRSF10B Antibody (NBP2-67225) (0)
There are no reviews for TRAILR2/TNFRSF10B Antibody (NBP2-67225).
By submitting a review you will receive an Amazon e-Gift Card or Novus Product Discount.
- Review with no image -- $10/€7/£6/$10 CAD/¥70 Yuan/¥1110 Yen
- Review with an image -- $25/€18/£15/$25 CAD/¥150 Yuan/¥2500 Yen
Product General Protocols
Find general support by application which include: protocols, troubleshooting, illustrated assays, videos and webinars.
Video Protocols
FAQs for TRAILR2/TNFRSF10B Antibody (NBP2-67225) (0)
Secondary Antibodies
| |
Isotype Controls
|
Additional TRAILR2/TNFRSF10B Products
Research Areas for TRAILR2/TNFRSF10B Antibody (NBP2-67225)
Find related products by research area.
|
Blogs on TRAILR2/TNFRSF10B