TPPP3 Antibody

Images

 
Orthogonal Strategies: Immunohistochemistry-Paraffin: TPPP3 Antibody [NBP2-13469] - Analysis in human fallopian tube and liver tissues. Corresponding TPPP3 RNA-seq data are presented for the same tissues.
Immunocytochemistry/ Immunofluorescence: TPPP3 Antibody [NBP2-13469] - Staining of human cell line HEK 293 shows localization to nucleoli fibrillar center. Antibody staining is shown in green.
Immunohistochemistry-Paraffin: TPPP3 Antibody [NBP2-13469] - Staining of human pancreas shows no postivity in exocrine glanular cells as expected.
Immunohistochemistry-Paraffin: TPPP3 Antibody [NBP2-13469] - Staining of human testis shows strong cytoplasmic positivity in Leydig cells.
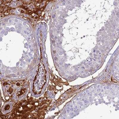
Immunohistochemistry-Paraffin: TPPP3 Antibody [NBP2-13469] - Staining of human fallopian tube shows moderate cytoplasmic positivity in glandular cells.
Immunohistochemistry-Paraffin: TPPP3 Antibody [NBP2-13469] - Staining of human liver shows no positivity in hepatocytes as expected.

Product Details

Summary
Product Discontinued
View other related TPPP3 Primary Antibodies
Validated by:
       

Orthogonal Strategies

 

Order Details


    • Catalog Number
      NBP2-13469
    • Availability
      Product Discontinued

    Can't find what you are looking for? Use our Antibody Concierge Service & we will help you locate your antibody!

    Or feel free to contact us for alternative products.

TPPP3 Antibody Summary

Immunogen
This antibody was developed against Recombinant Protein corresponding to amino acids: ATKRFKGKSKEEAFDAICQLVAGKEPANVGVTKAKTGGAVDRL
Predicted Species
Mouse (95%), Rat (93%). Backed by our 100% Guarantee.
Isotype
IgG
Clonality
Polyclonal
Host
Rabbit
Gene
TPPP3
Purity
Immunogen affinity purified
Innovator's Reward
Test in a species/application not listed above to receive a full credit towards a future purchase.

Applications/Dilutions

Dilutions
  • Immunocytochemistry/ Immunofluorescence 0.25-2 ug/ml
  • Immunohistochemistry 1:50 - 1:200
  • Immunohistochemistry-Paraffin 1:50 - 1:200
Application Notes
For IHC-Paraffin, HIER pH 6 retrieval is recommended. ICC/IF Fixation Permeabilization: Use PFA/Triton X-100.
Publications
Read Publication using
NBP2-13469 in the following applications:

  • WB
    1 publication

Packaging, Storage & Formulations

Storage
Store at 4C short term. Aliquot and store at -20C long term. Avoid freeze-thaw cycles.
Buffer
PBS (pH 7.2) and 40% Glycerol
Preservative
0.02% Sodium Azide
Purity
Immunogen affinity purified

Alternate Names for TPPP3 Antibody

  • brain specific protein
  • CGI-38
  • p20
  • p25gamma
  • TPPP/p20
  • tubulin polymerization-promoting protein family member 3

Background

TPPP3 binds tubulin and has microtubule bundling activity. May play a role in cell proliferation and mitosis

Limitations

This product is for research use only and is not approved for use in humans or in clinical diagnosis. Primary Antibodies are guaranteed for 1 year from date of receipt.

Customers Who Viewed This Item Also Viewed...

AF2377
Species: Mu
Applications: IHC, Simple Western, WB
NBP2-22261
Species: Ch, Hu, Mu
Applications: IP, WB
NBP1-82454
Species: Hu, Mu
Applications: ICC/IF, IHC,  IHC-P, WB
NBP1-71702
Species: Ch, Hu, Mu
Applications: ChIP, ChIP, ICC/IF, IHC,  IHC-P, IP, Simple Western, WB
NB200-106
Species: Mu, Rt
Applications: ELISA, ICC/IF, IHC, IHC-Fr,  IHC-P, WB
NBP1-32870
Species: Ch, Hu
Applications: IHC,  IHC-P, IP, KD, WB
NBP1-84798
Species: Hu, Mu, Rt
Applications: IHC,  IHC-P, WB
NBP1-85965
Species: Hu
Applications: IHC,  IHC-P
AF1230
Species: Hu, Mu, Rt
Applications: IHC, KO, WB
NB100-56565
Species: Hu, Mu, Rt
Applications: ICC/IF, IHC, IHC-Fr,  IHC-P, Simple Western, WB
NBP1-84546
Species: Hu, Mu, Rt
Applications: IHC,  IHC-P, WB
NBP3-13279
Species: Hu, Mu, Rt
Applications: ICC/IF, IHC,  IHC-P, WB
NBP2-34031
Species: Hu
Applications: ICC/IF, IHC,  IHC-P, WB
NBP2-45603
Species: Hu, Mu, Rt
Applications: Flow, IHC,  IHC-P, WB
NB100-1607
Species: Hu, Mu, Rt
Applications: ICC/IF, IHC, IP, WB
NBP1-87430
Species: Hu
Applications: IHC,  IHC-P
H00029107-M08
Species: Hu
Applications: ELISA, ICC/IF, KD, S-ELISA, WB
NBP1-71687
Species: Hu, Mu
Applications: ICC/IF, IHC,  IHC-P
NBP2-44520
Species: Ca(-), Hu, Rt(-)
Applications: Flow-IC, Flow, ICC/IF, IF, IHC,  IHC-P, MI, WB

Publications for TPPP3 Antibody (NBP2-13469)(1)

We have publications tested in 1 confirmed species: Human.

We have publications tested in 1 application: WB.


Filter By Application
WB
(1)
All Applications
Filter By Species
Human
(1)
All Species

Reviews for TPPP3 Antibody (NBP2-13469) (0)

There are no reviews for TPPP3 Antibody (NBP2-13469). By submitting a review you will receive an Amazon e-Gift Card or Novus Product Discount.
  • Review with no image -- $10/€7/£6/$10 CAD/¥70 Yuan/¥1110 Yen
  • Review with an image -- $25/€18/£15/$25 CAD/¥150 Yuan/¥2500 Yen

Product General Protocols

Find general support by application which include: protocols, troubleshooting, illustrated assays, videos and webinars.

Video Protocols

ICC/IF Video Protocol

FAQs for TPPP3 Antibody (NBP2-13469) (0)

There are no specific FAQs related to this product. Read our general customer & technical service FAQs.

Secondary Antibodies

 

Isotype Controls

Additional TPPP3 Products

Research Areas for TPPP3 Antibody (NBP2-13469)

Find related products by research area.

Blogs on TPPP3

There are no specific blogs for TPPP3, but you can read our latest blog posts.

Contact Information

Product PDFs

Calculators

Concentration Calculator

The concentration calculator allows you to quickly calculate the volume, mass or concentration of your vial. Simply enter your mass, volume, or concentration values for your reagent and the calculator will determine the rest.

=
÷

Review this Product

Be the first to review our TPPP3 Antibody and receive a gift card or discount.

Bioinformatics

Gene Symbol TPPP3