TMIE Antibody - BSA Free

Images

 
Staining of human cerebellum shows strong cytoplasmic positivity in Purkinje cells.
Staining of human skeletal muscle shows very weak positivity in myocytes as expected.
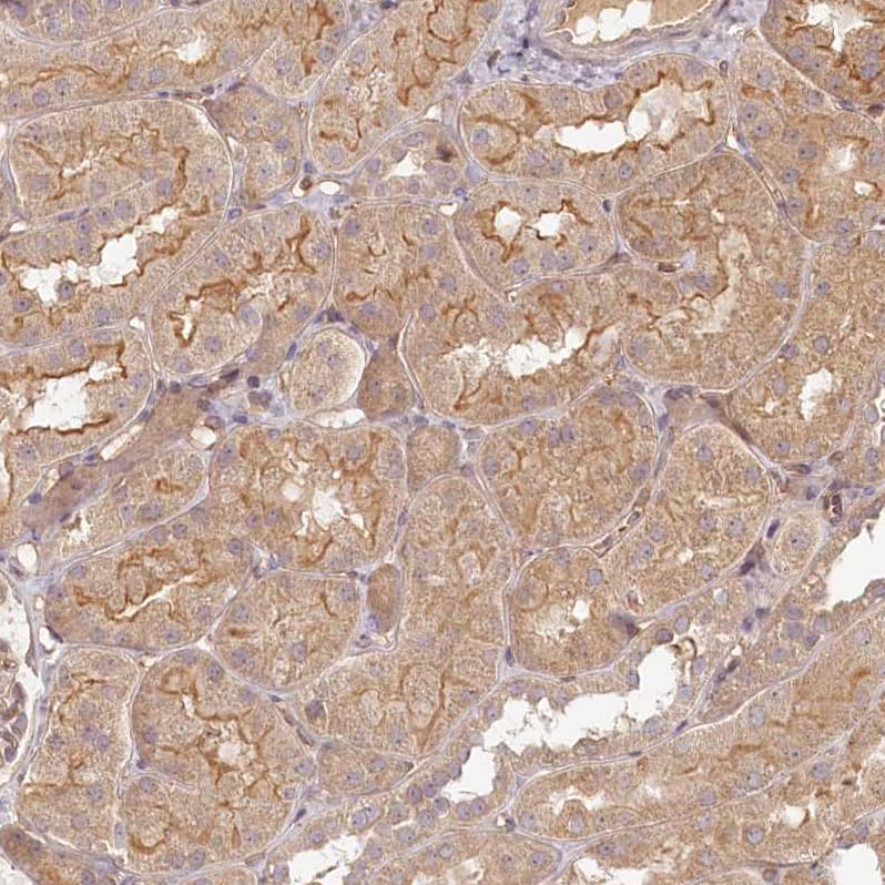
Staining of human kidney shows moderate membranous and cytoplasmic positivity in cells in tubules.
Staining of human cerebral cortex shows strong cytoplasmic positivity in neurons.

Product Details

Summary
Reactivity Hu, Mu, RtSpecies Glossary
Applications IHC
Clonality
Polyclonal
Host
Rabbit
Conjugate
Unconjugated
Format
BSA Free

Order Details

View Available Formulations
Catalog# & Formulation Size Price

TMIE Antibody - BSA Free Summary

Description
Novus Biologicals Rabbit TMIE Antibody - BSA Free (NBP1-84260) is a polyclonal antibody validated for use in IHC. All Novus Biologicals antibodies are covered by our 100% guarantee.
Immunogen
This antibody was developed against Recombinant Protein corresponding to amino acids: RTRKEIEARYLQRKAAKMYTDKLETVPPLNELTEVPGEDKKKKK
Predicted Species
Mouse (98%), Rat (98%). Backed by our 100% Guarantee.
Isotype
IgG
Clonality
Polyclonal
Host
Rabbit
Gene
TMIE
Purity
Immunogen affinity purified
Innovator's Reward
Test in a species/application not listed above to receive a full credit towards a future purchase.

Applications/Dilutions

Dilutions
  • Immunohistochemistry 1:50 - 1:200
  • Immunohistochemistry-Paraffin 1:50 - 1:200
Application Notes
For IHC-Paraffin, HIER pH 6 retrieval is recommended.
Control Peptide
TMIE Protein (NBP1-84260PEP)

Packaging, Storage & Formulations

Storage
Store at 4C short term. Aliquot and store at -20C long term. Avoid freeze-thaw cycles.
Buffer
PBS (pH 7.2) and 40% Glycerol
Preservative
0.02% Sodium Azide
Purity
Immunogen affinity purified

Alternate Names for TMIE Antibody - BSA Free

  • deafness, autosomal recessive 6
  • DFNB6
  • transmembrane inner ear expressed protein
  • transmembrane inner ear protein
  • transmembrane inner ear

Background

TMIE - transmembrane inner ear

Limitations

This product is for research use only and is not approved for use in humans or in clinical diagnosis. Primary Antibodies are guaranteed for 1 year from date of receipt.

Customers Who Viewed This Item Also Viewed...

NBP2-41304
Species: Hu, Po, Rt
Applications: ELISA, ICC/IF, IHC,  IHC-P, WB
NBP1-85237
Species: Hu
Applications: IHC, IHC-Fr,  IHC-P
NBP2-61141
Species: Hu
Applications: ICC/IF, IHC
NB100-77342
Species: Hu
Applications: PEP-ELISA, WB
NBP3-07751
Species: Bv, Eq, Gt, Gp, Hu, Sh
Applications: ELISA, Flow, ICC/IF, IHC,  IHC-P, WB
NBP3-03833
Species: Hu, Mu
Applications: IHC,  IHC-P, WB
NBP2-57048
Species: Hu
Applications: ICC/IF, IHC,  IHC-P
NBP1-59791
Species: Hu
Applications: IHC,  IHC-P, WB
NBP3-21878
Species: Hu, Mu, Rt
Applications: Flow, ICC/IF, WB
NBP3-05608
Species: Hu, Mu, Rt
Applications: IHC,  IHC-P, WB
NBP2-38530
Species: Hu
Applications: ICC/IF, IHC,  IHC-P, WB
AF262
Species: Hu
Applications: ICC, IHC, Neut, WB
NBP1-46574
Species: Hu, Mu, Rt
Applications: IHC,  IHC-P, WB
NBP1-89146
Species: Hu
Applications: ICC/IF, IHC,  IHC-P
NBP1-79280
Species: Hu, Mu
Applications: IHC,  IHC-P, WB
NBP1-56991
Species: Hu
Applications: WB
NBP1-92172
Species: Hu
Applications: ICC/IF, IHC,  IHC-P, WB
NB100-56603
Species: Ca, Hu, Mu, Pm, Rt
Applications: IHC,  IHC-P, WB

Publications for TMIE Antibody (NBP1-84260) (0)

There are no publications for TMIE Antibody (NBP1-84260).
By submitting your publication information earn gift cards and discounts for future purchases.

Reviews for TMIE Antibody (NBP1-84260) (0)

There are no reviews for TMIE Antibody (NBP1-84260). By submitting a review you will receive an Amazon e-Gift Card or Novus Product Discount.
  • Review with no image -- $10/€7/£6/$10 CAD/¥70 Yuan/¥1110 Yen
  • Review with an image -- $25/€18/£15/$25 CAD/¥150 Yuan/¥2500 Yen

Product General Protocols

Find general support by application which include: protocols, troubleshooting, illustrated assays, videos and webinars.

FAQs for TMIE Antibody (NBP1-84260) (0)

There are no specific FAQs related to this product. Read our general customer & technical service FAQs.

Customers Who Bought This Also Bought

Contact Information

Product PDFs

Calculators

Concentration Calculator

The concentration calculator allows you to quickly calculate the volume, mass or concentration of your vial. Simply enter your mass, volume, or concentration values for your reagent and the calculator will determine the rest.

=
÷

Review this Product

Be the first to review our TMIE Antibody - BSA Free and receive a gift card or discount.

Bioinformatics

Gene Symbol TMIE