TMEM232 Antibody - BSA Free

Images

 
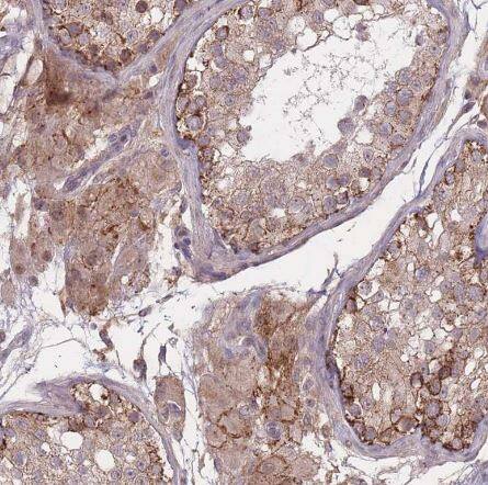
Immunohistochemistry-Paraffin: TMEM232 Antibody [NBP2-14682] - Staining of human testis shows moderate cytoplasmic positivity in cells in seminiferous ducts and Leydig cells.

Product Details

Summary
Reactivity HuSpecies Glossary
Applications IHC
Clonality
Polyclonal
Host
Rabbit
Conjugate
Unconjugated
Format
BSA Free

Order Details

View Available Formulations
Catalog# & Formulation Size Price

TMEM232 Antibody - BSA Free Summary

Description
Novus Biologicals Rabbit TMEM232 Antibody - BSA Free (NBP2-14682) is a polyclonal antibody validated for use in IHC. All Novus Biologicals antibodies are covered by our 100% guarantee.
Immunogen
This antibody was developed against a recombinant protein corresponding to the amino acids: QHLLRLQPYLYALSFSGASYHKYPNIFSNVQFILKASEIIGKRELRSESIFRPVEDKKRYENTDSDMGGYEINHLLWHCVAAWSCVQ
Isotype
IgG
Clonality
Polyclonal
Host
Rabbit
Gene
TMEM232
Purity
Immunogen affinity purified
Innovator's Reward
Test in a species/application not listed above to receive a full credit towards a future purchase.

Applications/Dilutions

Dilutions
  • Immunohistochemistry 1:50 - 1:200
  • Immunohistochemistry-Paraffin 1:50 - 1:200
Application Notes
For IHC-Paraffin, HIER pH 6 retrieval is recommended.
Control Peptide
TMEM232 Protein (NBP2-14682PEP)

Packaging, Storage & Formulations

Storage
Store at 4C short term. Aliquot and store at -20C long term. Avoid freeze-thaw cycles.
Buffer
PBS (pH 7.2) and 40% Glycerol
Preservative
0.02% Sodium Azide
Purity
Immunogen affinity purified

Alternate Names for TMEM232 Antibody - BSA Free

  • TMEM232 transmembrane protein 232

Limitations

This product is for research use only and is not approved for use in humans or in clinical diagnosis. Primary Antibodies are guaranteed for 1 year from date of receipt.

Customers Who Viewed This Item Also Viewed...

NB100-56152
Species: Hu
Applications: ICC/IF, IHC,  IHC-P, IP, WB
NBP2-57347
Species: Hu
Applications: IHC,  IHC-P, WB
NB100-56536
Species: Hu
Applications: Flow-CS, Flow-IC, Flow, IHC,  IHC-P, WB
1398-TS
Species: Hu
Applications: BA
AF6229
Species: Mu
Applications: ICC, IHC, WB
NBP3-11412
Species: Sh
Applications: ELISA, IHC, IHC-Fr, WB
H00003126-P01
Species: Hu
Applications: ELISA, AP, PA, WB
DY413
Species: Mu
Applications: ELISA
DY142
Species: Hu
Applications: ELISA
NBP1-56937
Species: Hu
Applications: WB
NB600-1287
Species: Ca, Hu, Mu, Rb, Rt
Applications: CyTOF-ready, Flow, ICC/IF, IHC,  IHC-P, IP, WB
NBP1-87528
Species: Hu
Applications: ICC/IF, IHC,  IHC-P

Publications for TMEM232 Antibody (NBP2-14682) (0)

There are no publications for TMEM232 Antibody (NBP2-14682).
By submitting your publication information earn gift cards and discounts for future purchases.

Reviews for TMEM232 Antibody (NBP2-14682) (0)

There are no reviews for TMEM232 Antibody (NBP2-14682). By submitting a review you will receive an Amazon e-Gift Card or Novus Product Discount.
  • Review with no image -- $10/€7/£6/$10 CAD/¥70 Yuan/¥1110 Yen
  • Review with an image -- $25/€18/£15/$25 CAD/¥150 Yuan/¥2500 Yen

Product General Protocols

Find general support by application which include: protocols, troubleshooting, illustrated assays, videos and webinars.

FAQs for TMEM232 Antibody (NBP2-14682) (0)

There are no specific FAQs related to this product. Read our general customer & technical service FAQs.

Customers Who Bought This Also Bought

Contact Information

Product PDFs

Calculators

Concentration Calculator

The concentration calculator allows you to quickly calculate the volume, mass or concentration of your vial. Simply enter your mass, volume, or concentration values for your reagent and the calculator will determine the rest.

=
÷

Review this Product

Be the first to review our TMEM232 Antibody - BSA Free and receive a gift card or discount.

Bioinformatics

Gene Symbol TMEM232