THOC3 Antibody - BSA Free

Images

 
Genetic Strategies: Western Blot: THOC3 Antibody [NBP1-92502] - Analysis in HEK293 cells transfected with control siRNA, target specific siRNA probe #1 and #2,. Remaining relative intensity is presented. Loading ...read more
Immunohistochemistry-Paraffin: THOC3 Antibody [NBP1-92502] - Staining of human colon shows strong granular cytoplasmic and nuclear positivity in glandular cells.
Western Blot: THOC3 Antibody [NBP1-92502] - Analysis in human cell line PC-3.
Western Blot: THOC3 Antibody [NBP1-92502] - Analysis in mouse cell line NIH-3T3 and rat cell line NBT-II.
Immunohistochemistry-Paraffin: THOC3 Antibody [NBP1-92502] - Staining of human skin shows moderate nuclear positivity in squamous epithelial cells.
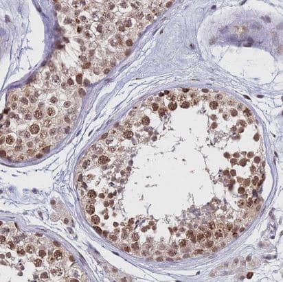
Immunohistochemistry-Paraffin: THOC3 Antibody [NBP1-92502] - Staining of human testis shows moderate nuclear positivity in cells in seminiferous ducts.
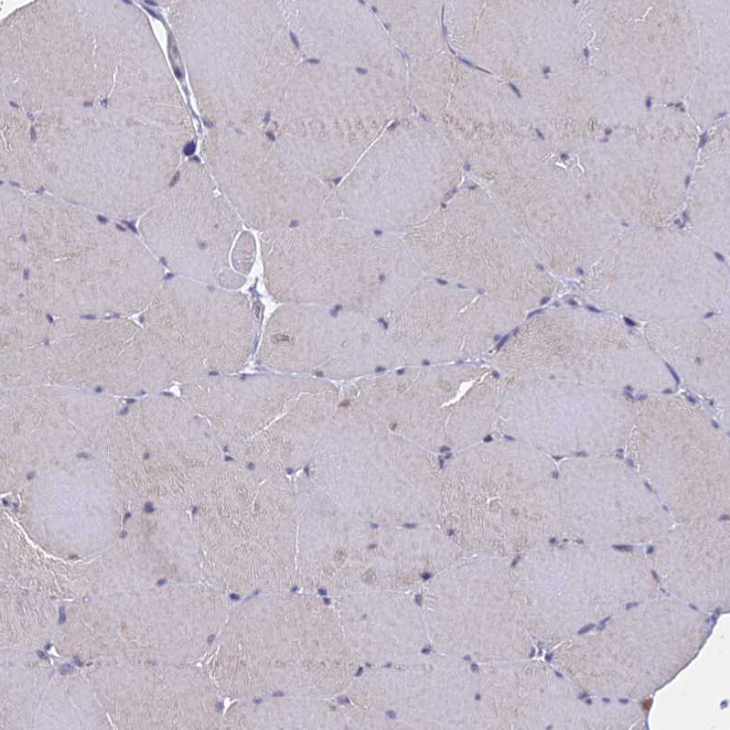
Immunohistochemistry-Paraffin: THOC3 Antibody [NBP1-92502] - Staining of human skeletal muscle shows no positivity in myocytes as expected.
Genetic Strategies: Analysis in HEK293 cells transfected with control siRNA, target specific siRNA probe #1 and #2. Remaining relative intensity is presented. Loading control: Anti-PPIB.
Analysis in mouse cell line NIH-3T3 and rat cell line NBT-II.
Staining of human skeletal muscle shows no positivity in myocytes as expected.
Staining of human colon shows strong nuclear positivity in glandular cells.
Staining of human testis shows moderate nuclear positivity in cells in seminiferous ducts.
Staining of human skin shows moderate nuclear positivity in squamous epithelial cells.
Analysis in human cell line PC-3.

Product Details

Summary
Reactivity Hu, Mu, RtSpecies Glossary
Applications WB, IHC, KD
Clonality
Polyclonal
Host
Rabbit
Conjugate
Unconjugated
Format
BSA Free
Validated by:
     

Genetic Strategies

   

Order Details

View Available Formulations
Catalog# & Formulation Size Price

THOC3 Antibody - BSA Free Summary

Description
Novus Biologicals Rabbit THOC3 Antibody - BSA Free (NBP1-92502) is a polyclonal antibody validated for use in IHC and WB. All Novus Biologicals antibodies are covered by our 100% guarantee.
Immunogen
This antibody was developed against Recombinant Protein corresponding to amino acids: HDGKMLASASEDHFIDIAEVETGDKLWEVQCESPTFTVAWHPKRPLLAFACDDKDGKYDSSREAGTVKLFGLPNDS
Isotype
IgG
Clonality
Polyclonal
Host
Rabbit
Gene
THOC3
Purity
Immunogen affinity purified
Innovator's Reward
Test in a species/application not listed above to receive a full credit towards a future purchase.

Applications/Dilutions

Dilutions
  • Immunohistochemistry 1:50 - 1:200
  • Immunohistochemistry-Paraffin 1:50 - 1:200
  • Knockdown Validated
  • Western Blot 0.04-0.4 ug/ml
Application Notes
For IHC-Paraffin, HIER pH 6 retrieval is recommended.
Control Peptide
THOC3 Protein (NBP1-92502PEP)

Packaging, Storage & Formulations

Storage
Store at 4C short term. Aliquot and store at -20C long term. Avoid freeze-thaw cycles.
Buffer
PBS (pH 7.2) and 40% Glycerol
Preservative
0.02% Sodium Azide
Purity
Immunogen affinity purified

Alternate Names for THOC3 Antibody - BSA Free

  • hTREX45
  • MGC5469
  • TEX1 homolog
  • TEX1THO complex subunit 3
  • THO complex 3
  • tho3

Background

TEX1 is part of the TREX (transcription/export) complex, which includes THO2 (MIM 300395), HPR1 (MIM 606930), ALY (MIM 604171), and UAP56 (MIM 606390).[supplied by OMIM]

Limitations

This product is for research use only and is not approved for use in humans or in clinical diagnosis. Primary Antibodies are guaranteed for 1 year from date of receipt.

Customers Who Viewed This Item Also Viewed...

NB100-174
Species: Ha, Hu, Pm, Mu, Rt
Applications: ChIP, ICC/IF, IHC,  IHC-P, IP, Simple Western, WB
7570-GH
Species: Hu
Applications: EnzAct
NBP1-91788
Species: Hu, Mu, Rt
Applications: ICC/IF, IHC,  IHC-P, WB
NBP3-16372
Species: Hu, Mu, Rt
Applications: IHC,  IHC-P, WB
MAB7555
Species: Hu
Applications: Simple Western, WB
NBP1-92500
Species: Hu
Applications: ICC/IF, IHC,  IHC-P, WB
NBP2-52455
Species: Hu, Mu
Applications: CyTOF-ready, ELISA, ICC/IF, IHC,  IHC-P, WB
AF3635
Species: Mu
Applications: IHC, WB
NBP2-02559
Species: Hu, Rt
Applications: Flow, ICC/IF, IHC,  IHC-P, WB
DY417
Species: Mu
Applications: ELISA
H00060436-M01
Species: Hu
Applications: ELISA, KD, S-ELISA, WB
NBP2-14871
Species: Mu, Rt
Applications: ICC/IF, WB
NB120-2860
Species: Ba, Bv, Ch, Hu, Mu, Rt
Applications: ELISA, Flow, ICC/IF, IHC,  IHC-P, WB
NBP1-86320
Species: Hu
Applications: ChIP-EXO-SEQ, ICC/IF, IHC,  IHC-P, WB
NBP2-15669
Species: Mu, Rt, Ze
Applications: IHC-WhMt, IHC, WB
NBP2-33286
Species: Hu
Applications: IHC,  IHC-P
NBP1-19160
Species: Hu, Mu
Applications: IHC,  IHC-P, IP, WB
NBP1-81696
Species: Hu, Mu, Rt
Applications: ICC/IF, IHC,  IHC-P, WB

Publications for THOC3 Antibody (NBP1-92502) (0)

There are no publications for THOC3 Antibody (NBP1-92502).
By submitting your publication information earn gift cards and discounts for future purchases.

Reviews for THOC3 Antibody (NBP1-92502) (0)

There are no reviews for THOC3 Antibody (NBP1-92502). By submitting a review you will receive an Amazon e-Gift Card or Novus Product Discount.
  • Review with no image -- $10/€7/£6/$10 CAD/¥70 Yuan/¥1110 Yen
  • Review with an image -- $25/€18/£15/$25 CAD/¥150 Yuan/¥2500 Yen

Product General Protocols

Find general support by application which include: protocols, troubleshooting, illustrated assays, videos and webinars.

Video Protocols

WB Video Protocol

FAQs for THOC3 Antibody (NBP1-92502) (0)

There are no specific FAQs related to this product. Read our general customer & technical service FAQs.

Secondary Antibodies

 

Isotype Controls

Additional THOC3 Products

Research Areas for THOC3 Antibody (NBP1-92502)

Find related products by research area.

Blogs on THOC3

There are no specific blogs for THOC3, but you can read our latest blog posts.

Customers Who Bought This Also Bought

Contact Information

Product PDFs

Calculators

Concentration Calculator

The concentration calculator allows you to quickly calculate the volume, mass or concentration of your vial. Simply enter your mass, volume, or concentration values for your reagent and the calculator will determine the rest.

=
÷

Review this Product

Be the first to review our THOC3 Antibody - BSA Free and receive a gift card or discount.

Bioinformatics

Gene Symbol THOC3