Aly Antibody (HL3813)

Images

 
Various whole cell extracts (30 ug) were separated by 12% SDS-PAGE, and the membrane was blotted with Aly antibody [HL3813] (NBP3-48848) diluted at 1:1000. The HRP-conjugated anti-rabbit IgG antibody was used to detect ...read more
Various whole cell extracts (30 ug) were separated by 12% SDS-PAGE, and the membrane was blotted with Aly antibody [HL3813] (NBP3-48848) diluted at 1:1000. The HRP-conjugated anti-rabbit IgG antibody was used to detect ...read more
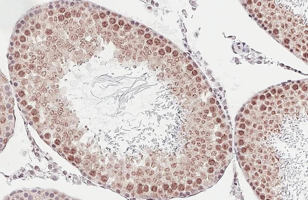
Aly antibody [HL3813] detects Aly protein by immunohistochemical analysis.Sample: Paraffin-embedded rat testis.Aly stained by Aly antibody [HL3813] (NBP3-48848) diluted at 1:200.Antigen Retrieval: Tris-EDTA buffer, pH ...read more
Orthogonal Strategies: Aly antibody [HL3813] detects Aly protein by immunohistochemical analysis.Sample: Paraffin-embedded mouse tissues.Aly stained by Aly antibody [HL3813] (NBP3-48848) diluted at 1:200.Antigen ...read more
Orthogonal Strategies: Aly antibody [HL3813] detects Aly protein by immunohistochemical analysis.Sample: Paraffin-embedded mouse tissues.Aly stained by Aly antibody [HL3813] (NBP3-48848) diluted at 1:200.Antigen ...read more
Orthogonal Strategies: Aly antibody [HL3813] detects Aly protein by immunohistochemical analysis.Sample: Paraffin-embedded rat tissues.Aly stained by Aly antibody [HL3813] (NBP3-48848) diluted at 1:200.Antigen ...read more
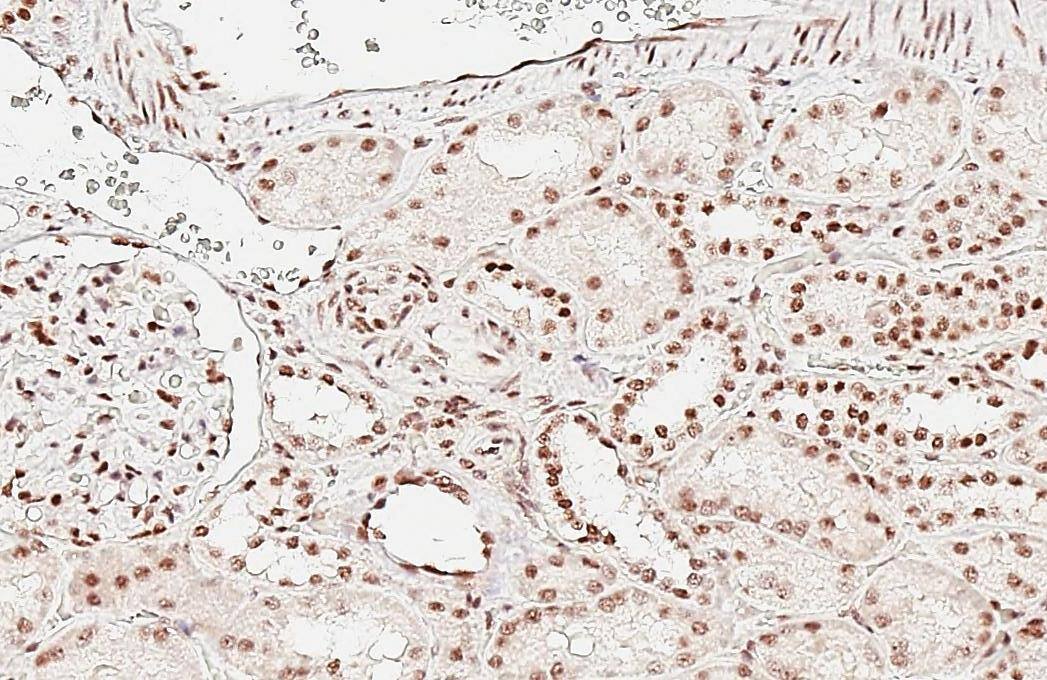
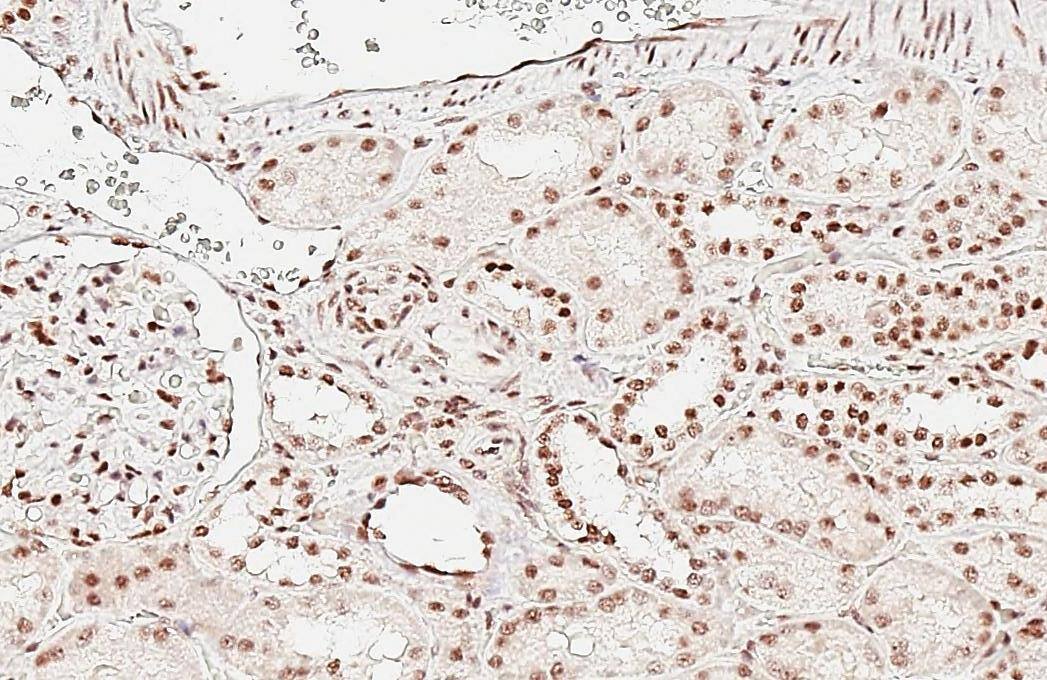
Aly antibody [HL3813] detects Aly protein by immunohistochemical analysis.Sample: Paraffin-embedded human kidney.Aly stained by Aly antibody [HL3813] (NBP3-48848) diluted at 1:200.Antigen Retrieval: Tris-EDTA buffer, pH ...read more
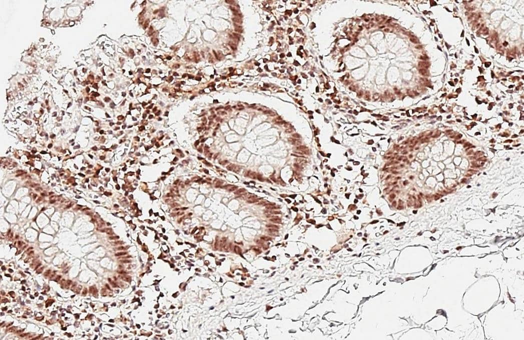
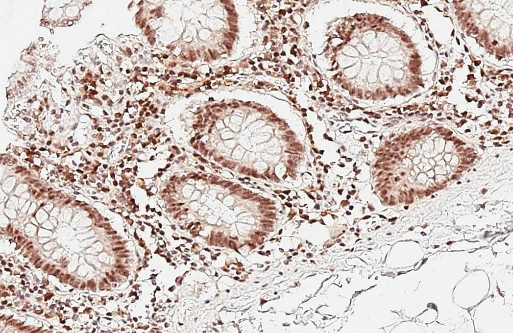
Aly antibody [HL3813] detects Aly protein by immunohistochemical analysis.Sample: Paraffin-embedded human colon.Aly stained by Aly antibody [HL3813] (NBP3-48848) diluted at 1:200.Antigen Retrieval: Tris-EDTA buffer, pH ...read more

Product Details

Summary
Reactivity Hu, Mu, RtSpecies Glossary
Applications WB, IHC
Clone
HL3813
Clonality
Monoclonal
Host
Rabbit
Conjugate
Unconjugated
Validated by:
       

Orthogonal Strategies

 

Order Details

Aly Antibody (HL3813) Summary

Description
Novus Biologicals Rabbit Aly Antibody (HL3813) (NBP3-48848) is a recombinant monoclonal antibody validated for use in IHC and WB. All Novus Biologicals antibodies are covered by our 100% guarantee.
Additional Information
Recombinant Monoclonal Antibody
Immunogen
Recombinant fragment of human Aly.
Isotype
IgG
Clonality
Monoclonal
Host
Rabbit
Gene
ALYREF
Purity
Protein A purified
Innovator's Reward
Test in a species/application not listed above to receive a full credit towards a future purchase.

Applications/Dilutions

Dilutions
  • Immunohistochemistry
  • Immunohistochemistry-Paraffin
  • Western Blot

Packaging, Storage & Formulations

Storage
Store at 4C short term. Aliquot and store at -20C long term. Avoid freeze-thaw cycles.
Buffer
PBS
Preservative
No Preservative
Purity
Protein A purified

Alternate Names for Aly Antibody (HL3813)

  • Ally of AML-1 and LEF-1
  • ALY/REF
  • ALYBEFbZIP enhancing factor
  • bZIP-enhancing factor BEF
  • REF
  • THO complex 4
  • THO complex subunit 4
  • tho4
  • Transcriptional coactivator Aly/REF

Background

Pre-mRNA splicing plays an important role in regulation of gene expression. During the splicing process, specific proteins are recruited to the mRNA and assembled into a complex of mRNA-protein near the exon-exon junction. This complex is termed the mRNA-protein complex (mRNP) or the exon-exon junction complex. The proteins that are found in this complex include: Y14, magoh, Aly/REF, RNPS1, Upf3, and DEK.1-5 Aly (also known as mREF1-I) is the mammalian homologue of the yeast mRNA export factor Yra1p.6-7 It is a 233 amino acid RNAbinding protein that contains a RNA-binding domain and is recruited to the mRNP complexes during the splicing. Excess of recombinant expression of Aly in the cells increases both the rate and efficiency of spliced and unspliced mRNA export (in vivo) from the nucleus to the cytoplasm. In contrast to the Y14 protein, Aly is dissociated from the mRNAs after the export to the cytoplasm.1, 5-6

Limitations

This product is for research use only and is not approved for use in humans or in clinical diagnosis. Primary Antibodies are guaranteed for 1 year from date of receipt.

Customers Who Viewed This Item Also Viewed...

NBP1-31649
Species: Hu
Applications: ICC/IF, IHC,  IHC-P, WB
NBP1-90286
Species: Hu, Mu, Rt
Applications: ICC/IF, IHC,  IHC-P, WB
NBP3-38014
Species: Hu
Applications: ELISA, ICC/IF, IHC,  IHC-P, WB
NBP2-01346
Species: Ca, Hu, Pm, Mu, Pm, Rt
Applications: Flow, ICC/IF, IHC,  IHC-P, WB
NBP2-52455
Species: Hu, Mu
Applications: CyTOF-ready, ELISA, ICC/IF, IHC,  IHC-P, WB
NBP1-88376
Species: Hu, Mu
Applications: ICC/IF, IHC,  IHC-P, KD, WB
NB100-1894
Species: Hu
Applications: IHC,  IHC-P, PEP-ELISA, WB
NB600-302
Species: Bv, Dr, Hu, Mu
Applications: ChIP, ELISA, Flow-IC, Flow, IB, ICC/IF, IHC, IHC-Fr,  IHC-P, IP, PLA, S-ELISA, Simple Western, WB
H00010921-M05
Species: Hu, Mu, Rt
Applications: ELISA, IP, WB
NBP2-13381
Species: Hu
Applications: Simple Western, WB
NB200-103
Species: Hu, Mu, Rt, Xp(-), Ye
Applications: CyTOF-ready, ELISA, Flow-IC, Flow, ICC/IF, IHC, IHC-Fr,  IHC-P, IP, WB
H00055110-B01P
Species: Hu
Applications: ICC/IF, WB
NB100-116
Species: Hu, Mu, Pm, Rt
Applications: ChIP, ELISA, GS, IB, ICC/IF, IHC, IHC-Fr,  IHC-P, IP, KD, PLA, Simple Western, WB
NBP2-95260
Species: V-Vi
Applications: ELISA, IHC, WB
NB200-106
Species: Mu, Rt
Applications: ELISA, ICC/IF, IHC, IHC-Fr,  IHC-P, WB
H00004116-M01
Species: Hu
Applications: ELISA, ICC/IF, S-ELISA, WB
NB100-81898
Species: Hu, Po
Applications: ICC/IF, IHC,  IHC-P, WB
NBP2-16134
Species: Hu
Applications: IHC,  IHC-P, IP, WB

Publications for Aly Antibody (NBP3-48848) (0)

There are no publications for Aly Antibody (NBP3-48848).
By submitting your publication information earn gift cards and discounts for future purchases.

Reviews for Aly Antibody (NBP3-48848) (0)

There are no reviews for Aly Antibody (NBP3-48848). By submitting a review you will receive an Amazon e-Gift Card or Novus Product Discount.
  • Review with no image -- $10/€7/£6/$10 CAD/¥70 Yuan/¥1110 Yen
  • Review with an image -- $25/€18/£15/$25 CAD/¥150 Yuan/¥2500 Yen

Product General Protocols

Find general support by application which include: protocols, troubleshooting, illustrated assays, videos and webinars.

Video Protocols

WB Video Protocol

FAQs for Aly Antibody (NBP3-48848) (0)

There are no specific FAQs related to this product. Read our general customer & technical service FAQs.

Customers Who Bought This Also Bought

Contact Information

Product PDFs

Calculators

Concentration Calculator

The concentration calculator allows you to quickly calculate the volume, mass or concentration of your vial. Simply enter your mass, volume, or concentration values for your reagent and the calculator will determine the rest.

=
÷

Review this Product

Be the first to review our Aly Antibody (HL3813) and receive a gift card or discount.

Bioinformatics

Gene Symbol ALYREF