THAP7 Antibody - BSA Free

Images

 
Immunocytochemistry/ Immunofluorescence: THAP7 Antibody [NBP1-81232] - Staining of human cell line A-431 shows localization to nuclear membrane & vesicles. Antibody staining is shown in green.
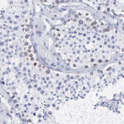
Immunohistochemistry-Paraffin: THAP7 Antibody [NBP1-81232] - Staining of human testis shows moderate nuclear positivity in cells in seminiferous ducts.
ChIP-Exo-Seq composite graph for Anti-THAP7 (NBP1-81232) tested in K562 cells. Strand-specific reads (blue: forward, red: reverse) and IgG controls (black: forward, grey: reverse) are plotted against the distance from a ...read more

Product Details

Summary
Reactivity Hu, MuSpecies Glossary
Applications ICC/IF, IHC, ChIP
Clonality
Polyclonal
Host
Rabbit
Conjugate
Unconjugated
Format
BSA Free

Order Details

View Available Formulations
Catalog# & Formulation Size Price

THAP7 Antibody - BSA Free Summary

Description
Novus Biologicals Rabbit THAP7 Antibody - BSA Free (NBP1-81232) is a polyclonal antibody validated for use in IHC and ICC/IF. Anti-THAP7 Antibody: Cited in 1 publication. All Novus Biologicals antibodies are covered by our 100% guarantee.
Immunogen
This antibody was developed against Recombinant Protein corresponding to amino acids: GISFHRLPKKDNPRRGLWLANCQRLDPSGQGLWDPASEYIYFCSKHFEEDCFELVGISGYHRLKEGAVPTIFESFSKLRRTTKTKGHSYPPGPPEVSRLRRCRKRCSEGRGPTTPFSPPPPADVTCFP
Predicted Species
Mouse (91%). Backed by our 100% Guarantee.
Isotype
IgG
Clonality
Polyclonal
Host
Rabbit
Gene
THAP7
Purity
Affinity purified
Innovator's Reward
Test in a species/application not listed above to receive a full credit towards a future purchase.

Applications/Dilutions

Dilutions
  • Chromatin Immunoprecipitation-exo-Seq 1-10ug per reaction
  • Immunocytochemistry/ Immunofluorescence 0.25-2 ug/ml
  • Immunohistochemistry 1:50 - 1:200
  • Immunohistochemistry-Paraffin 1:50 - 1:200
Application Notes
For IHC-Paraffin, HIER pH 6 retrieval is recommended. ICC/IF Fixation Permeabilization: Use PFA/Triton X-100.
Control Peptide
THAP7 Protein (NBP1-81232PEP)
Publications
Read Publication using NBP1-81232.

Reactivity Notes

Immunogen displays the following percentage of sequence identity for non-tested species: Rat (89%). Reactivity reported in scientific literature (PMID: 23435261)

Packaging, Storage & Formulations

Storage
Store at 4C short term. Aliquot and store at -20C long term. Avoid freeze-thaw cycles.
Buffer
PBS (pH 7.2) and 40% Glycerol
Preservative
0.02% Sodium Azide
Purity
Affinity purified

Alternate Names for THAP7 Antibody - BSA Free

  • MGC10963
  • THAP domain containing 7
  • THAP domain-containing protein 7

Background

Chromatin-associated, histone tail-binding protein that represses transcription via recruitment of HDAC3 andnuclear hormone receptor corepressors

Limitations

This product is for research use only and is not approved for use in humans or in clinical diagnosis. Primary Antibodies are guaranteed for 1 year from date of receipt.

Customers Who Viewed This Item Also Viewed...

NBP2-07996
Species: Hu
Applications: WB
NBL1-11570
Species: Hu
Applications: WB
NBP3-46113
Species: Hu, Mu, Rt
Applications: ELISA, IHC, IP, , WB
AF5215
Species: Hu, Mu
Applications: ICC, WB
H00008365-M01
Species: Hu
Applications: ELISA, ICC/IF, S-ELISA
NBL1-11567
Species: Hu
Applications: WB
NBP1-30888
Species: Hu
Applications: ICC/IF, IHC,  IHC-P, WB
NBP2-52486
Species: Hu
Applications: CyTOF-ready, ELISA, Flow, ICC/IF, IHC,  IHC-P, WB
NBP3-46118
Species: Hu, Mu, Rt
Applications: ELISA, ICC/IF, WB
NBP1-85312
Species: Hu, Mu, Rt
Applications: ICC/IF, IHC,  IHC-P, WB
NBP1-28863
Species: Hu
Applications: ELISA, ICC/IF, IHC,  IHC-P, WB
NB100-1669
Species: Hu
Applications: ChIP, ICC/IF, IHC,  IHC-P, IP, Simple Western, WB
NB500-171
Species: Hu, I, Mu, Rt, Xp, Ye
Applications: ChIP, IB, ICC/IF, IHC,  IHC-P, Single-Cell Western, WB
NBP2-00776
Species: Ca, Hu, Pm, Mu, Rt
Applications: Flow, ICC/IF, IHC,  IHC-P, WB
NB100-268
Species: Hu, Po
Applications: IP, WB
NBP2-33271
Species: Hu
Applications: IHC,  IHC-P, WB

Publications for THAP7 Antibody (NBP1-81232)(1)

Reviews for THAP7 Antibody (NBP1-81232) (0)

There are no reviews for THAP7 Antibody (NBP1-81232). By submitting a review you will receive an Amazon e-Gift Card or Novus Product Discount.
  • Review with no image -- $10/€7/£6/$10 CAD/¥70 Yuan/¥1110 Yen
  • Review with an image -- $25/€18/£15/$25 CAD/¥150 Yuan/¥2500 Yen

Product General Protocols

Find general support by application which include: protocols, troubleshooting, illustrated assays, videos and webinars.

Video Protocols

ICC/IF Video Protocol

FAQs for THAP7 Antibody (NBP1-81232) (0)

There are no specific FAQs related to this product. Read our general customer & technical service FAQs.

Secondary Antibodies

 

Isotype Controls

Additional THAP7 Products

Research Areas for THAP7 Antibody (NBP1-81232)

Find related products by research area.

Blogs on THAP7

There are no specific blogs for THAP7, but you can read our latest blog posts.

Customers Who Bought This Also Bought

Contact Information

Product PDFs

Calculators

Concentration Calculator

The concentration calculator allows you to quickly calculate the volume, mass or concentration of your vial. Simply enter your mass, volume, or concentration values for your reagent and the calculator will determine the rest.

=
÷

Review this Product

Be the first to review our THAP7 Antibody - BSA Free and receive a gift card or discount.

Bioinformatics

Gene Symbol THAP7
Entrez
Uniprot