TFEB Antibody (CL14112) - Azide and BSA Free

Images

 
Orthogonal Strategies: Analysis in human tonsil and liver tissues using NBP3-44287 antibody. Corresponding TFEB RNA-seq data are presented for the same tissues.
Staining of human cervix shows strong nuclear positivity in squamous epithelial cells.
Staining of human liver shows very weak positivity in hepatocytes.
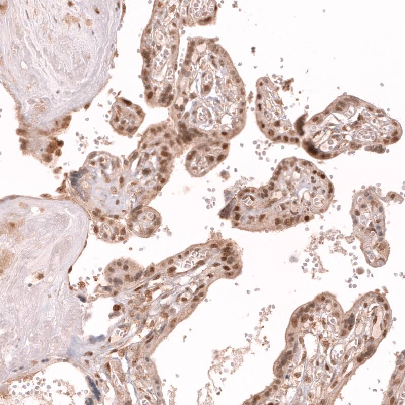
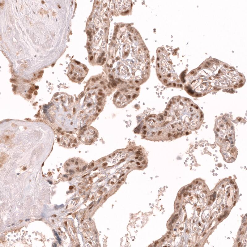
Staining of human placenta shows strong nuclear positivity in trophoblastic cells.
Staining of human tonsil shows strong nuclear and cytoplasmic positivity in non-germinal center cells.
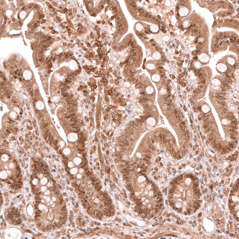
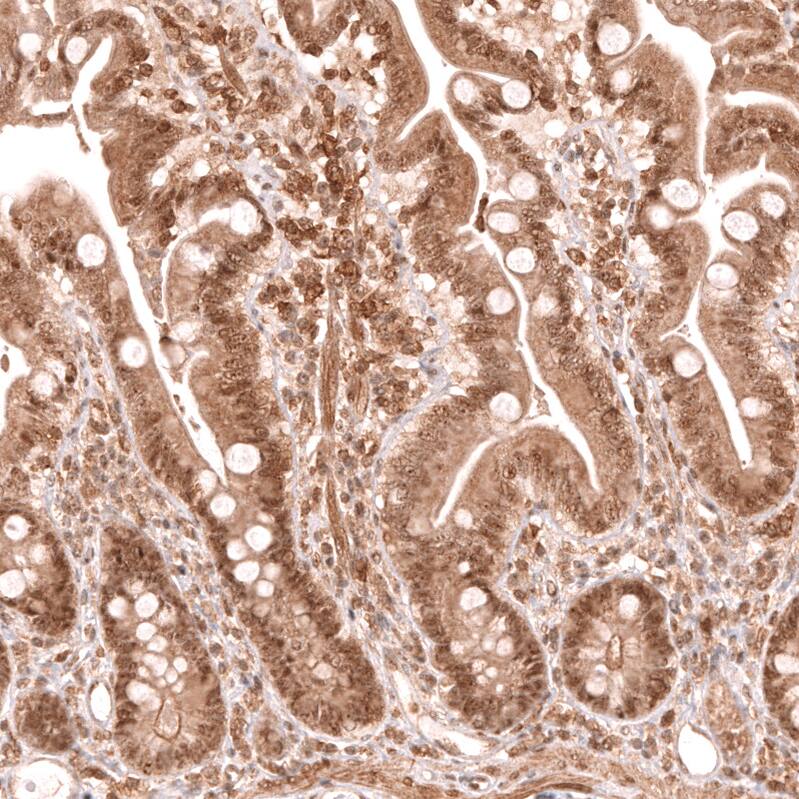
Staining of human small intestine shows strong nuclear positivity in glandular cells.

Product Details

Summary
Reactivity HuSpecies Glossary
Applications IHC
Clone
CL14112
Clonality
Monoclonal
Host
Mouse
Conjugate
Unconjugated
Format
Azide and BSA Free
Concentration
LYOPH
Validated by:
       

Orthogonal Strategies

 

Order Details

TFEB Antibody (CL14112) - Azide and BSA Free Summary

Description
Novus Biologicals Mouse TFEB Antibody (CL14112) - Azide and BSA Free (NBP3-26853) is a monoclonal antibody validated for use in IHC. All Novus Biologicals antibodies are covered by our 100% guarantee.
Immunogen
This antibody was generated using a synthetic peptide of P19484, with the exact immunogen sequence remaining proprietary.
Isotype
IgG2a
Clonality
Monoclonal
Host
Mouse
Gene
TFEB
Purity
Protein A purified
Innovator's Reward
Test in a species/application not listed above to receive a full credit towards a future purchase.

Applications/Dilutions

Dilutions
  • Immunohistochemistry-Paraffin 1:20 - 1:50
Application Notes
For IHC-Paraffin, HIER pH 6 retrieval is recommended.

Packaging, Storage & Formulations

Storage
Store at 4C short term. Aliquot and store at -20C long term. Avoid freeze-thaw cycles.
Buffer
Lyophilized from a 0.2 um filtered solution in PBS with Trehalose
Preservative
No Preservative
Concentration
LYOPH
Purity
Protein A purified
Reconstitution Instructions
Centrifuge the vial of lyophilized antibody at 12,000 x g for 20 seconds. Reconstitute by adding sterile, distilled water to achieve a final antibody concentration of 1mg/ml.

Alternate Names for TFEB Antibody (CL14112) - Azide and BSA Free

  • ALPHATFEB
  • BHLHE35
  • Class E basic helix-loop-helix protein 35
  • T-cell transcription factor EB
  • TCFEB
  • TCFEBbHLHe35
  • TFEB
  • transcription factor EB

Background

Transcription factor that specifically recognizes and binds E-box sequences (3'-CANNTG-5'). Efficient DNA-binding requires dimerization with itself or with another MiT/TFE family member such as TFE3 or MITF. In association with TFE3, activates the expression of CD40L in T-cells, thereby playing a role in T-cell-dependent antibody responses in activated CD4(+) T-cells and thymus-dependent humoral immunity. Specifically recognizes and binds the CLEAR-box sequence (5'-GTCACGTGAC-3') present in the regulatory region of many lysosomal genes, leading to activate their expression. It thereby plays a central role in expression of lysosomal genes. Specifically recognizes the gamma-E3 box, a subset of E-boxes, present in the heavy-chain immunoglobulin enhancer. Plays a role in the signal transduction processes required for normal vascularization of the placenta

Limitations

This product is for research use only and is not approved for use in humans or in clinical diagnosis. Primary Antibodies are guaranteed for 1 year from date of receipt.

Customers Who Viewed This Item Also Viewed...

NBP3-18540
Species: Hu
Applications: ICC/IF, IHC,  IHC-P, WB
AF5769
Species: Hu
Applications: IHC, WB
NBP3-45259
Species: Hu, Mu, Rt
Applications: ELISA, IHC, IP, WB
NB600-607
Species: Hu, Rt
Applications: ELISA, IHC,  IHC-P, WB
H00027065-M01
Species: Hu, Rt
Applications: ELISA, ICC/IF, S-ELISA, WB
NBP2-29463
Species: Pm, Hu, Pm, Mu
Applications: Flow, ICC/IF, IHC,  IHC-P, WB
NBP2-46085
Species: Hu
Applications: IHC,  IHC-P, WB
NBP1-31302
Species: Hu, Mu, Rt
Applications: ICC/IF, IHC,  IHC-P, KO, WB
H00001513-M01
Species: Hu
Applications: ELISA, ICC/IF, IHC,  IHC-P, WB
NBP1-89150
Species: Hu
Applications: IHC,  IHC-P, WB
H00011026-M01
Species: Hu
Applications: ELISA, WB
AF1230
Species: Hu, Mu, Rt
Applications: IHC, KO, WB
NB600-302
Species: Bv, Dr, Hu, Mu
Applications: ChIP, ELISA, Flow-IC, Flow, IB, ICC/IF, IHC, IHC-Fr,  IHC-P, IP, PLA, S-ELISA, Simple Western, WB
NBP2-22203
Species: Hu, Pm, Mu, Rt
Applications: ELISA, Flow, ICC/IF, IHC,  IHC-P, WB
NBP3-15642
Species: Hu, Mu, Rt
Applications: ICC/IF, IHC,  IHC-P, WB
NBP1-87152
Species: Hu
Applications: ICC/IF, IHC,  IHC-P
NBP2-55877
Species: Hu
Applications: IHC,  IHC-P
NB100-793
Species: Hu, Rt
Applications: ICC/IF, IHC,  IHC-P, PEP-ELISA, WB
AF2377
Species: Mu
Applications: IHC, Simple Western, WB
NBP3-44287
Species: Hu
Applications: IHC

Publications for TFEB Antibody (NBP3-44287) (0)

There are no publications for TFEB Antibody (NBP3-44287).
By submitting your publication information earn gift cards and discounts for future purchases.

Reviews for TFEB Antibody (NBP3-44287) (0)

There are no reviews for TFEB Antibody (NBP3-44287). By submitting a review you will receive an Amazon e-Gift Card or Novus Product Discount.
  • Review with no image -- $10/€7/£6/$10 CAD/¥70 Yuan/¥1110 Yen
  • Review with an image -- $25/€18/£15/$25 CAD/¥150 Yuan/¥2500 Yen

Product General Protocols

Find general support by application which include: protocols, troubleshooting, illustrated assays, videos and webinars.

FAQs for TFEB Antibody (NBP3-44287) (0)

There are no specific FAQs related to this product. Read our general customer & technical service FAQs.

Secondary Antibodies

 

Isotype Controls

Additional TFEB Products

Array NBP3-44287

Research Areas for TFEB Antibody (NBP3-44287)

Find related products by research area.

Blogs on TFEB.

Epigenetic Control of Autophagy
By Christina Towers, PhD. In the last 20 years, epigenetic regulation has become front and center for almost all fields of biology and its role in diseases like cancer and neurodegeneration are being heavily studi...  Read full blog post.

Customers Who Bought This Also Bought

Contact Information

Product PDFs

Calculators

Concentration Calculator

The concentration calculator allows you to quickly calculate the volume, mass or concentration of your vial. Simply enter your mass, volume, or concentration values for your reagent and the calculator will determine the rest.

=
÷

Review this Product

Be the first to review our TFEB Antibody (CL14112) - Azide and BSA Free and receive a gift card or discount.

Bioinformatics

Gene Symbol TFEB