TEM5/GPR124 Antibody

Images

 
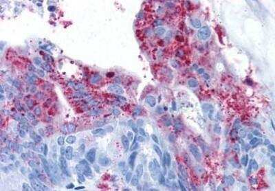
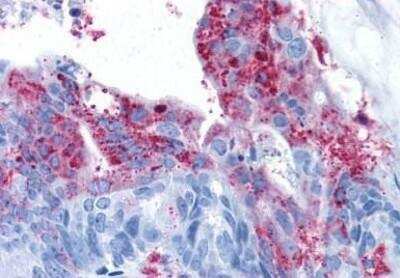
Immunohistochemistry-Paraffin: TEM5/GPR124 Antibody [NBP1-02342] - Staining of human colon carcinoma. Immunohistochemistry of formalin-fixed, paraffin-embedded tissue after heat-induced antigen retrieval. Antibody ...read more

Product Details

Summary
Product Discontinued
View other related TEM5/GPR124 Primary Antibodies

Order Details


    • Catalog Number
      NBP1-02342
    • Availability
      Product Discontinued

    Can't find what you are looking for? Use our Antibody Concierge Service & we will help you locate your antibody!

    Or feel free to contact us for alternative products.

TEM5/GPR124 Antibody Summary

Immunogen
Synthetic 20 amino acid peptide from N-terminal extracellular domain of human TEM5/GPR124.
Specificity
Human GPR124. BLAST analysis of the peptide immunogen showed no homology with other human proteins, except SEMA4G (55%), CSF3 (40%).
Predicted Species
Primate (90%), Monkey (90%). Backed by our 100% Guarantee.
Isotype
IgG
Clonality
Polyclonal
Host
Rabbit
Gene
ADGRA2
Purity
Immunogen affinity purified
Innovator's Reward
Test in a species/application not listed above to receive a full credit towards a future purchase.

Applications/Dilutions

Dilutions
  • Immunohistochemistry 1:10 - 1:500
  • Immunohistochemistry-Paraffin 11 ug/ml

Reactivity Notes

Predicted cross-reactivity based on sequence identity: Gorilla (100%), Gibbon (90%), Canine (85%).

Packaging, Storage & Formulations

Storage
Store at 4C short term. Aliquot and store at -20C long term. Avoid freeze-thaw cycles.
Buffer
PBS
Preservative
0.1% Sodium Azide
Concentration
0.9 mg/ml
Purity
Immunogen affinity purified

Alternate Names for TEM5/GPR124 Antibody

  • DKFZp434C211
  • DKFZp434J0911
  • G protein-coupled receptor 124
  • GPR124
  • G-protein coupled receptor 124
  • KIAA1531
  • KIAA1531FLJ14390
  • TEM5
  • TEM5Tumor endothelial marker 5

Background

Tumor endothelial marker 5 is an Orphan-U GPCR with an unknown ligand. Tumor Endothelial Marker 5, like GPR125, has a leucine rich repeat (LRR), an immunoglobulin (Ig) domain, and a hormone-binding domain (HBD). The Ig domain shows similarities to motilin and titin, while the LRR domain shows similarities to LRIG1 and SLIT1-2.

Limitations

This product is for research use only and is not approved for use in humans or in clinical diagnosis. Primary Antibodies are guaranteed for 1 year from date of receipt.

Customers Who Viewed This Item Also Viewed...

NB110-39113
Species: Hu, Mu, Rb, Rt
Applications: ChIP, ChIP, Flow-IC, Flow, ICC/IF, IHC, IHC-Fr,  IHC-P, In vitro, Simple Western, WB
NB300-517
Species: Bv, Ha, Hu, Pm, Mu, Po, Pm, Rb, Rt
Applications: B/N, ELISA, Flow, ICC/IF, IHC, IHC-Fr,  IHC-P, IM, IP, KD, WB
DVE00
Species: Hu
Applications: ELISA
NBP2-25160
Species: Bv, Ca, Eq, Hu, Mu, Po, Rt
Applications: ICC/IF, IHC, WB
233-FB
Species: Hu
Applications: BA
NBP1-03561
Species: Hu, Mu
Applications: IHC,  IHC-P, PEP-ELISA, WB
NBP1-58359
Species: Hu
Applications: IHC,  IHC-P, WB
AF887
Species: Hu, Mu, Rt
Applications: CyTOF-ready, IHC, ICFlow, Simple Western, WB
NBP2-67895
Species: Hu, Mu, Rt
Applications: Flow, IHC,  IHC-P, IP, WB
NB200-540
Species: Ec, Mu
Applications: CyTOF-ready, Flow-IC, Flow, IA, ICC/IF, IHC, IHC-Fr,  IHC-P, IP
NLS418
Species: Hu
Applications: IHC,  IHC-P
NBP1-85047
Species: Hu, Mu, Po, Rt
Applications: ICC/IF, IHC,  IHC-P, WB
AF847
Species: Hu, Mu, Rt
Applications: CyTOF-ready, IHC, ICFlow, KO, Simple Western, WB
NLS2756
Species: Hu, Pm
Applications: ICC, IHC,  IHC-P
NB300-556
Species: Hu, In, Mu, Pm, Rt
Applications: B/N, ChIP, Flow, ICC/IF, IHC, IHC-Fr,  IHC-P, IP, WB
AF4634
Species: Hu
Applications: CyTOF-ready, Flow, Simple Western, WB
NB100-91662
Species: Hu, Mu, Rt
Applications: Flow, ICC/IF, IHC,  IHC-P, Simple Western, WB
NBP2-37761
Species: Hu
Applications: ICC/IF, IHC,  IHC-P

Publications for TEM5/GPR124 Antibody (NBP1-02342) (0)

There are no publications for TEM5/GPR124 Antibody (NBP1-02342).
By submitting your publication information earn gift cards and discounts for future purchases.

Reviews for TEM5/GPR124 Antibody (NBP1-02342) (0)

There are no reviews for TEM5/GPR124 Antibody (NBP1-02342). By submitting a review you will receive an Amazon e-Gift Card or Novus Product Discount.
  • Review with no image -- $10/€7/£6/$10 CAD/¥70 Yuan/¥1110 Yen
  • Review with an image -- $25/€18/£15/$25 CAD/¥150 Yuan/¥2500 Yen

Product General Protocols

Find general support by application which include: protocols, troubleshooting, illustrated assays, videos and webinars.

FAQs for TEM5/GPR124 Antibody (NBP1-02342) (0)

There are no specific FAQs related to this product. Read our general customer & technical service FAQs.

Secondary Antibodies

 

Isotype Controls

Additional TEM5/GPR124 Products

Research Areas for TEM5/GPR124 Antibody (NBP1-02342)

Find related products by research area.

Blogs on TEM5/GPR124

There are no specific blogs for TEM5/GPR124, but you can read our latest blog posts.

Contact Information

Product PDFs

Calculators

Concentration Calculator

The concentration calculator allows you to quickly calculate the volume, mass or concentration of your vial. Simply enter your mass, volume, or concentration values for your reagent and the calculator will determine the rest.

=
÷

Review this Product

Be the first to review our TEM5/GPR124 Antibody and receive a gift card or discount.

Bioinformatics

Gene Symbol ADGRA2
Uniprot