TDRD5 Antibody - BSA Free

Images

 
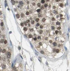
Immunohistochemistry: TDRD5 Antibody - BSA Free [NBP3-45272] - Immunohistochemistry of paraffin-embedded mouse testis tissue slide using (TDRD5 Antibody) at dilution of 1:50
Immunoprecipitation: TDRD5 Antibody - BSA Free [NBP3-45272] - IP Result of anti-TDRD5 (IP:, 5ug; Detection: 1:300) with mouse testis tissue lysate 2800ug.
Western Blot: TDRD5 Antibody - BSA Free [NBP3-45272] - Mouse testis tissue were subjected to SDS PAGE followed by western blot with (TDRD5 Antibody) at dilution of 1:300

Product Details

Summary
Reactivity Hu, MuSpecies Glossary
Applications WB, ELISA, IHC, IP
Clonality
Polyclonal
Host
Rabbit
Conjugate
Unconjugated
Format
BSA Free

Order Details

TDRD5 Antibody - BSA Free Summary

Description
Novus Biologicals Rabbit TDRD5 Antibody - BSA Free (NBP3-45272) is a polyclonal antibody validated for use in IHC, WB, ELISA and IP. All Novus Biologicals antibodies are covered by our 100% guarantee.
Immunogen
tudor domain containing 5. (Uniprot# Q8NAT2)
Isotype
IgG
Clonality
Polyclonal
Host
Rabbit
Gene
TDRD5
Purity
Immunogen affinity purified
Innovator's Reward
Test in a species/application not listed above to receive a full credit towards a future purchase.

Applications/Dilutions

Dilutions
  • ELISA
  • Immunohistochemistry 1:20-1:200
  • Immunoprecipitation 1:200-1:1000
  • Western Blot 1:200-1:1000
Theoretical MW
116 kDa.
Disclaimer note: The observed molecular weight of the protein may vary from the listed predicted molecular weight due to post translational modifications, post translation cleavages, relative charges, and other experimental factors.

Packaging, Storage & Formulations

Storage
Store at -20C. Avoid freeze-thaw cycles.
Buffer
PBS, 50% Glycerol, pH (7.3)
Preservative
0.02% Sodium Azide
Purity
Immunogen affinity purified

Alternate Names for TDRD5 Antibody - BSA Free

  • FLJ34823
  • RP11-427G13.1
  • tudor domain containing 5
  • tudor domain-containing protein 5
  • TUDOR3

Background

TDRD5 is a gene that codes for a protein with two isoforms, measuring 981 and 1035 amino acids in length with weights of approximately 110 and 116 kDa respectively. TDRD5 is required during spermiogenesis, as it helps to repress transposable elements and prevent their mobilization, and it is also required for chromatid body assembly. Current research is being done on diseases and disorders related to this gene including hypertension. TDRD5 has been shown to have interactions with UBR7.

Limitations

This product is for research use only and is not approved for use in humans or in clinical diagnosis. Primary Antibodies are guaranteed for 1 year from date of receipt.

Customers Who Viewed This Item Also Viewed...

NBP2-37398
Species: Hu
Applications: CyTOF-ready, ELISA, Flow, IHC,  IHC-P, WB
MAB6296
Species: Mu
Applications: IHC
AF6548
Species: Hu, Mu
Applications: IHC
NBP2-31637
Species: Hu
Applications: IHC,  IHC-P
NBP1-87315
Species: Hu
Applications: IHC,  IHC-P
NB110-57130
Species: ChHa, Hu, Mu, Pm, Rt
Applications: ChIP, DB, ELISA, Flow-IC, Flow, ICC/IF, IHC,  IHC-P, IP, KD, Simple Western, WB
NBP3-46708
Species: Hu
Applications: ELISA, IHC, WB
NBP2-57100
Species: Hu
Applications: ICC/IF
NBP2-30949
Species: Hu
Applications: IHC,  IHC-P
NBP1-89150
Species: Hu
Applications: IHC,  IHC-P, WB
NBP3-46411
Species: Hu, Mu
Applications: ELISA, ICC/IF, IHC, IP, WB
NBP1-83299
Species: Hu, Mu
Applications: IHC,  IHC-P, WB
NBP2-13980
Species: Hu
Applications: ICC/IF, IHC,  IHC-P, WB
AF2030
Species: Hu
Applications: IHC, WB
NB120-16518
Species: Hu, Mu, Po, Rt
Applications: ChIP, ELISA, Flow, ICC/IF, IHC, IHC-Fr,  IHC-P, WB
AF1759
Species: Hu, Mu
Applications: ChIP, ICC, IP, Simple Western, WB
NBP1-31302
Species: Hu, Mu, Rt
Applications: ICC/IF, IHC,  IHC-P, KO, WB
NBP3-45272
Species: Hu, Mu
Applications: WB, ELISA, IHC, IP

Publications for TDRD5 Antibody (NBP3-45272) (0)

There are no publications for TDRD5 Antibody (NBP3-45272).
By submitting your publication information earn gift cards and discounts for future purchases.

Reviews for TDRD5 Antibody (NBP3-45272) (0)

There are no reviews for TDRD5 Antibody (NBP3-45272). By submitting a review you will receive an Amazon e-Gift Card or Novus Product Discount.
  • Review with no image -- $10/€7/£6/$10 CAD/¥70 Yuan/¥1110 Yen
  • Review with an image -- $25/€18/£15/$25 CAD/¥150 Yuan/¥2500 Yen

Product General Protocols

Find general support by application which include: protocols, troubleshooting, illustrated assays, videos and webinars.

Video Protocols

WB Video Protocol

FAQs for TDRD5 Antibody (NBP3-45272) (0)

There are no specific FAQs related to this product. Read our general customer & technical service FAQs.

Customers Who Bought This Also Bought

Contact Information

Product PDFs

Calculators

Concentration Calculator

The concentration calculator allows you to quickly calculate the volume, mass or concentration of your vial. Simply enter your mass, volume, or concentration values for your reagent and the calculator will determine the rest.

=
÷

Review this Product

Be the first to review our TDRD5 Antibody - BSA Free and receive a gift card or discount.

Bioinformatics

Gene Symbol TDRD5