TDAG8/GPR65 Antibody - BSA Free

Images

 
Lane 1: Marker [kDa] 250, 130, 95, 72, 55, 36, 28, 17, 10 | Lane 2: RT4 | Lane 3: U-251 MG | Lane 4: Human Plasma | Lane 5: Liver | Lane 6: Tonsil
Staining of human skeletal muscle shows low expression as expected.
Orthogonal Strategies: Analysis in human tonsil and skeletal muscle tissues using NBP3-21356 antibody. Corresponding GPR65 RNA-seq data are presented for the same tissues.
Staining of human tonsil shows strong membranous positivity in non-germinal center cells.
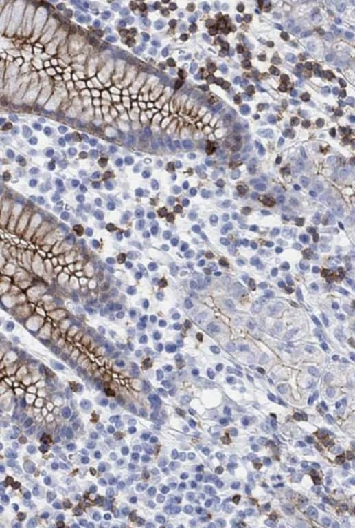
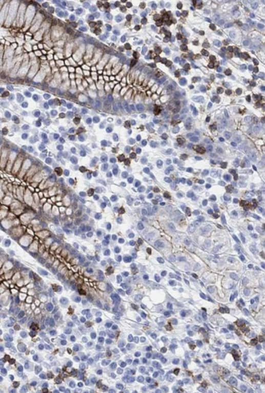
Staining of human small intestinal shows strong membranous positivity in lymphoid cells and glandular cells,
Staining of human stomach shows strong membranous positivity in glandular cells and lymphoid cells
Staining of human skeletal muscle shows negative positivity in myocytes.

Product Details

Summary
Reactivity HuSpecies Glossary
Applications WB, IHC
Clonality
Polyclonal
Host
Rabbit
Conjugate
Unconjugated
Format
BSA Free
Validated by:
       

Orthogonal Strategies

 

Order Details

View Available Formulations
Catalog# & Formulation Size Price

TDAG8/GPR65 Antibody - BSA Free Summary

Description
Novus Biologicals Rabbit TDAG8/GPR65 Antibody - BSA Free (NBP3-21356) is a polyclonal antibody validated for use in IHC and WB. All Novus Biologicals antibodies are covered by our 100% guarantee.
Immunogen
This antibody was developed against Recombinant Protein corresponding to amino acids: LLIRCILEHAVNFEDHSNSGKRTYTMYRI
Isotype
IgG
Clonality
Polyclonal
Host
Rabbit
Gene
GPR65
Purity
Affinity purified
Innovator's Reward
Test in a species/application not listed above to receive a full credit towards a future purchase.

Applications/Dilutions

Dilutions
  • Immunohistochemistry 1:200 - 1:500
  • Immunohistochemistry-Paraffin 1:200 - 1:500
  • Western Blot 0.04-0.4 ug/ml
Application Notes
For IHC-Paraffin, HIER pH 6 retrieval is recommended.

Packaging, Storage & Formulations

Storage
Store at 4C short term. Aliquot and store at -20C long term. Avoid freeze-thaw cycles.
Buffer
PBS (pH 7.2) and 40% Glycerol
Preservative
0.02% Sodium Azide
Purity
Affinity purified

Alternate Names for TDAG8/GPR65 Antibody - BSA Free

  • G protein-coupled receptor 65
  • GPR65
  • G-protein coupled receptor 65
  • Psychosine Receptor
  • T-cell death-associated gene 8 protein
  • TDAG8
  • TDAG8hTDAG8

Background

GPR65 (TDAG8), a Lysophospholipid/Lysosphingolipid Receptor, is a molecular target for psychosine, a toxic lipid formed by the breakdown of galactosylceramide (cerebroside). A build-up of psychosine, caused by the lack of galactosylceramidase, results in the death of the myelin-synthesizing cells, oligodendrocytes, which is associated with Krabbe disease. GPR65 has been reported in human in peripheral blood leukocytes, spleen, lymph node, and thymus. ESTs have been isolated from human B-cell/lung/testis, brain/lung/testis, pancreas/spleen, lung/spleen, leukocyte, embryo, kidney, liver/spleen, thyroid, and vessel libraries.

Limitations

This product is for research use only and is not approved for use in humans or in clinical diagnosis. Primary Antibodies are guaranteed for 1 year from date of receipt.

Customers Who Viewed This Item Also Viewed...

NLS1194
Species: Bv, Eq, Ha, Hu, Pm, Mu, Po, Pm, Rb, Rt
Applications: IHC,  IHC-P
NLS145
Species: Ca, Hu, Pm, Pm
Applications: ICC/IF, IHC,  IHC-P
NBP1-89807
Species: Hu
Applications: IHC,  IHC-P
NLS418
Species: Hu
Applications: IHC,  IHC-P
NLS2756
Species: Hu, Pm
Applications: ICC, IHC,  IHC-P
MAB8458
Species: Hu
Applications: CyTOF-ready, Flow, ICC
NLS1017
Species: Bt, Bv, Ca, Eq, Hu, Mu
Applications: IHC,  IHC-P
MAB194
Species: Hu, Mu
Applications: CyTOF-ready, Flow, ICC, WB
NLS2576
Species: Hu, Pm, Rt
Applications: IHC,  IHC-P
2984-SE
Species: Hu
Applications: EnzAct
NB100-93444
Species: Hu
Applications: PEP-ELISA, WB
M6000B
Species: Mu
Applications: ELISA
NB100-56104
Species: Ca, Hu, Mu, Rt
Applications: IHC, IHC-Fr,  IHC-P, IP, WB
NBP3-21356
Species: Hu
Applications: WB, IHC

Publications for TDAG8/GPR65 Antibody (NBP3-21356) (0)

There are no publications for TDAG8/GPR65 Antibody (NBP3-21356).
By submitting your publication information earn gift cards and discounts for future purchases.

Reviews for TDAG8/GPR65 Antibody (NBP3-21356) (0)

There are no reviews for TDAG8/GPR65 Antibody (NBP3-21356). By submitting a review you will receive an Amazon e-Gift Card or Novus Product Discount.
  • Review with no image -- $10/€7/£6/$10 CAD/¥70 Yuan/¥1110 Yen
  • Review with an image -- $25/€18/£15/$25 CAD/¥150 Yuan/¥2500 Yen

Product General Protocols

Find general support by application which include: protocols, troubleshooting, illustrated assays, videos and webinars.

Video Protocols

WB Video Protocol

FAQs for TDAG8/GPR65 Antibody (NBP3-21356) (0)

There are no specific FAQs related to this product. Read our general customer & technical service FAQs.

Secondary Antibodies

 

Isotype Controls

Additional TDAG8/GPR65 Products

Research Areas for TDAG8/GPR65 Antibody (NBP3-21356)

Find related products by research area.

Blogs on TDAG8/GPR65

There are no specific blogs for TDAG8/GPR65, but you can read our latest blog posts.

Customers Who Bought This Also Bought

Contact Information

Product PDFs

Calculators

Concentration Calculator

The concentration calculator allows you to quickly calculate the volume, mass or concentration of your vial. Simply enter your mass, volume, or concentration values for your reagent and the calculator will determine the rest.

=
÷

Review this Product

Be the first to review our TDAG8/GPR65 Antibody - BSA Free and receive a gift card or discount.

Bioinformatics

Gene Symbol GPR65