Tau [p Thr231] Antibody (SC58-08)

Images

 
Western Blot: Tau [p Thr231] Antibody (SC58-08) [NBP2-67574] - Analysis of phospho -Tau(T231) on mouse brain lysates using anti-Tau(phospho T231) antibody at 1/1,000 dilution.
Immunohistochemistry-Paraffin: Tau [p Thr231] Antibody (SC58-08) [NBP2-67574] - Analysis of paraffin-embedded rat brain tissue with Rabbit anti-Tau [p Thr231] antibody washed with ddH2O and PBS, and then probed with the ...read more
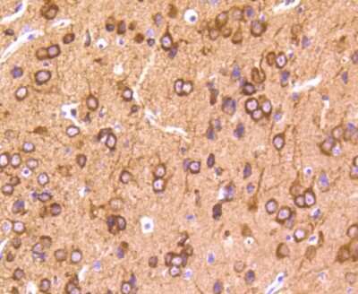
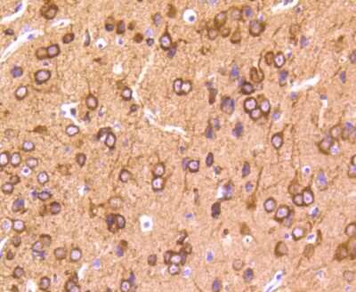
Immunohistochemistry-Paraffin: Tau [p Thr231] Antibody (SC58-08) [NBP2-67574] - Analysis of paraffin-embedded mouse brain tissue using anti- phospho -Tau(T231) antibody. Counter stained with hematoxylin.
Immunohistochemistry-Paraffin: Tau [p Thr231] Antibody (SC58-08) [NBP2-67574] - Analysis of paraffin-embedded mouse brain tissue with Rabbit anti-Tau [p Thr231] antibody washed with ddH2O and PBS, and then probed with ...read more

Product Details

Summary
Product Discontinued
View other related Tau Primary Antibodies

Order Details


    • Catalog Number
      NBP2-67574
    • Availability
      Product Discontinued

    Can't find what you are looking for? Use our Antibody Concierge Service & we will help you locate your antibody!

    Or feel free to contact us for alternative products.

Tau [p Thr231] Antibody (SC58-08) Summary

Additional Information
Recombinant Monoclonal Antibody.
Immunogen
Synthetic phospho-peptide corresponding to residues surrounding Thr231 of human Tau. (SwissProt: P10636-8 Human; SwissProt: P10637 Mouse; SwissProt: P19332 Rat)
Modification
p Thr231
Localization
Secreted, cytoskeleton, cell membrane, cytosol, axon, dendrite.
Isotype
IgG
Clonality
Monoclonal
Host
Rabbit
Gene
MAPT
Purity
Protein A purified
Innovator's Reward
Test in a species/application not listed above to receive a full credit towards a future purchase.

Applications/Dilutions

Dilutions
  • Immunohistochemistry
  • Immunohistochemistry-Paraffin 1:50-1:800
  • Immunoprecipitation
  • Western Blot 1:500-1:1000
Publications
Read Publication using
NBP2-67574 in the following applications:

Packaging, Storage & Formulations

Storage
Store at 4C short term. Aliquot and store at -20C long term. Avoid freeze-thaw cycles.
Buffer
TBS (pH7.4), 0.05% BSA, 40% Glycerol
Preservative
0.05% Sodium Azide
Concentration
1 mg/ml
Purity
Protein A purified

Alternate Names for Tau [p Thr231] Antibody (SC58-08)

  • DDPAC
  • FLJ31424
  • FTDP-17
  • G protein beta1/gamma2 subunit-interacting factor 1
  • MAPT
  • MGC138549
  • microtubule-associated protein tau
  • MSTD
  • MSTDMAPTL
  • MTBT1
  • MTBT1Neurofibrillary tangle protein
  • MTBT2
  • Neurofibrillary tangle protein
  • PHF-tau
  • PPND
  • Tau
  • TAUPaired helical filament-tau

Background

Tau is a microtubule binding protein that promotes microtubule assembly and stability. Tau is found to be the major component of the paired helical filaments (PHFs) found in the brains of patients with Alzheimer disease (AD) (1,2). Tau is hyperphosphorylated in PHFs, and specific phosphorylation sites have been implicated in the loss of Tau's association with the membrane cortex during AD disease state, including Ser 199/202, Thr 231, and Ser 393/404 (3). Glycogen synthase kinase-3, or GSK-3, phosphorylates Tau on Ser 396 (4).

Limitations

This product is for research use only and is not approved for use in humans or in clinical diagnosis. Primary Antibodies are guaranteed for 1 year from date of receipt.

Customers Who Viewed This Item Also Viewed...

NBP2-13075
Species: Ba, Hu, Pm, Mu, Rt
Applications: DB, ELISA, IB, ICC/IF, IHC-FrFl, IHC, IHC-Fr,  IHC-P, IP, WB
7954-GM/CF
Species: Hu
Applications: BA
NBP2-42388
Species: Hu
Applications: ICC/IF, IHC,  IHC-P, KD, WB
NBP2-37602
Species: Hu, Pm, Rt
Applications: ELISA, Flow, ICC/IF, IHC,  IHC-P, WB
NB100-74510
Species: Hu, Mu, Pm, Rt
Applications: ELISA, ICC/IF, IHC,  IHC-P, IP, WB
NBP2-15365
Species: Hu, Mu, Rt
Applications: ICC/IF, IHC, IHC-Fr,  IHC-P, S-ELISA, WB
NB300-213
Species: Fe, Hu, Mu, Rt
Applications: ICC/IF, IHC, IHC-Fr,  IHC-P, KD, WB
NB110-60531
Species: Hu, Mu, Rt(-)
Applications: CyTOF-ready, ELISA, Flow-IC, Flow, ICC/IF, IHC,  IHC-P, IP, WB
NBP2-27202
Species: Ca, Ch, ChHa, Fe, Hu, Mu, Ma-Op, Po, Pm, Rt
Applications: ICC/IF, Simple Western, WB
NBP1-47470
Species: Hu, Mu, Pm, Rt
Applications: ELISA, Flow, ICC/IF, IHC,  IHC-P, Simple Western, WB
NBP3-05513
Species: Hu
Applications: ICC/IF, IHC,  IHC-P, WB
NBP3-13279
Species: Hu, Mu, Rt
Applications: ICC/IF, IHC,  IHC-P, WB
NBP2-13304
Species: Hu
Applications: ICC/IF, IHC,  IHC-P, WB
NB100-56605
Species: Av, Bv, Sh
Applications: WB
NB300-141
Species: Bv, Ch, Eq, Gp, Hu, Mu, Po, Rb, Rt
Applications: ICC/IF, IHC, IHC-Fr,  IHC-P, Simple Western, WB
MAB4937
Species: Hu
Applications: CyTOF-ready, ICFlow, WB
H00023435-M01
Species: Ba, Pp, Hu, I, Pm, Mu, Rt
Applications: ELISA, Func, ICC/IF, IHC,  IHC-P, IP, KD, WB
NBP2-02450
Species: Hu
Applications: ICC/IF, IHC,  IHC-P, WB
NBP2-67574
Species: Hu, Mu, Rt
Applications: WB, IHC, IP

Publications for Tau Antibody (NBP2-67574)(1)

We have publications tested in 1 confirmed species: Rat.

We have publications tested in 1 application: IHC-P.


Filter By Application
IHC-P
(1)
All Applications
Filter By Species
Rat
(1)
All Species

Reviews for Tau Antibody (NBP2-67574) (0)

There are no reviews for Tau Antibody (NBP2-67574). By submitting a review you will receive an Amazon e-Gift Card or Novus Product Discount.
  • Review with no image -- $10/€7/£6/$10 CAD/¥70 Yuan/¥1110 Yen
  • Review with an image -- $25/€18/£15/$25 CAD/¥150 Yuan/¥2500 Yen

Product General Protocols

Find general support by application which include: protocols, troubleshooting, illustrated assays, videos and webinars.

Video Protocols

WB Video Protocol

FAQs for Tau Antibody (NBP2-67574) (0)

There are no specific FAQs related to this product. Read our general customer & technical service FAQs.

Secondary Antibodies

 

Isotype Controls

Additional Tau Products

Research Areas for Tau Antibody (NBP2-67574)

Find related products by research area.

Blogs on Tau.

HIV-associated neurocognitive disorders involve extracellular Nef-induced modification of lipid rafts and redistribution of Alzheimer’s disease-related proteins
Jamshed Arslan, Pharm D, PhD Cholesterol is an essential part of animal cell membranes. Cholesterol-rich lipid rafts maintain the fluidity and protein trafficking of plasma membranes. Cellular ABCA1 protein moves cho...  Read full blog post.

The C99 fragment of amyloid precursor protein (APP)
Alzheimer’s Disease (AD) is a neurodegenerative disorder that is characterized by an abundance of the beta-amyloid peptide in the brain.  When AD was first discovered, it was determined that beta-amyloid was produced as a result of the prote...  Read full blog post.

Tau - A microtubule associated protein as a biomarker for Alzheimer's disease
The tau protein is a microtubule associated protein found mostly in neuronal cells where it regulates the stability of axonal microtubules as well as kinesin-dependent transport. Tau is relevant in the study of various neurological disorders as ab...  Read full blog post.

PINK1: All work and no fun
The protein PINK1 is a mitochondrial-located serine/threonine kinase (PTK) that maintains organelle function and integrity. It not only protects organelles from cellular stress, but it also uses the selective auto-phagocytosis process for cleaning and...  Read full blog post.

Using Amyloid beta peptides in Alzheimer's Disease Immunization
Amyloid beta (AB) peptide has a central role in the neurodegeneration of Alzheimer's disease (AD). Immunization of AD transgenic mice with AB-42 peptide reduces both the spatial memory impairments and AD-like neuropathologic changes.Therapeutic im...  Read full blog post.

New Study Links Tau Mutations to Microglial Immune Response
Tau proteins are abundant in the axons of neurons in the central nervous system (CNS), and play a key role in microtubule formation and stabilization. Antibody studies have identified six tau isoforms, all produced by alternative mRNA splicing of the ...  Read full blog post.

Contact Information

Product PDFs

Calculators

Concentration Calculator

The concentration calculator allows you to quickly calculate the volume, mass or concentration of your vial. Simply enter your mass, volume, or concentration values for your reagent and the calculator will determine the rest.

=
÷

Review this Product

Be the first to review our Tau [p Thr231] Antibody (SC58-08) and receive a gift card or discount.

Bioinformatics

Gene Symbol MAPT