TACC3 Antibody (SN73-05) Summary
| Additional Information |
Recombinant Monoclonal Antibody. |
| Immunogen |
Synthetic peptide within Human TACC3 aa 35-84 / 838. (SwissProt: Q9Y6A5 Human; SwissProt: Q9JJ11 Mouse; Unigene:58838 Rat) |
| Localization |
Centrosome, spindle, spindle pole, Cytoplasm. |
| Isotype |
IgG |
| Clonality |
Monoclonal |
| Host |
Rabbit |
| Gene |
TACC3 |
| Purity |
Protein A purified |
| Innovator's Reward |
Test in a species/application not listed above to receive a full credit towards a future purchase. |
Applications/Dilutions
| Dilutions |
- Immunocytochemistry/ Immunofluorescence 1:100-1:500
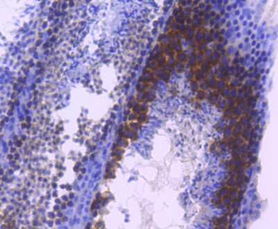
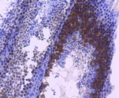
- Immunohistochemistry
- Immunohistochemistry-Paraffin 1:100-1:500
- Western Blot 1:1000-1:5000
|
| Publications |
|
Packaging, Storage & Formulations
| Storage |
Store at 4C short term. Aliquot and store at -20C long term. Avoid freeze-thaw cycles. |
| Buffer |
TBS (pH7.4), 0.05% BSA, 40% Glycerol |
| Preservative |
0.05% Sodium Azide |
| Concentration |
1 mg/ml |
| Purity |
Protein A purified |
Alternate Names for TACC3 Antibody (SN73-05)
Background
The function of this gene has not yet been determined; however, it is speculated that it may be involved in cell growth and differentiation. Expression of this gene is up-regulated in some cancer cell lines, and in embryonic day 15 in mice.
Limitations
This product is for research use only and is not approved for use in humans or in clinical diagnosis. Primary Antibodies are
guaranteed for 1 year from date of receipt.
Customers Who Viewed This Item Also Viewed...
Species: Hu, Ma, Mu, Rt
Applications: ICC/IF, IP, WB
Species: Pm, Hu, Pm, Mu
Applications: Flow, ICC/IF, IHC, IHC-P, WB
Species: Hu
Applications: IHC, IHC-P, WB
Species: Hu, Mu
Applications: ICC/IF, IHC, IHC-P, Simple Western, WB
Species: Hu
Applications: IHC, IHC-P, WB
Species: Hu, Mu
Applications: CyTOF-ready, Flow, ICC, KO, Simple Western, WB
Species: Bv, Ma, Hu, Mu, Pm, Rt, Sh
Applications: ChIP, CHIP-SEQ, GS, IB, ICC/IF, IHC, IHC-P, IP, WB
Species: Mu
Applications: ELISA
Species: Bv, Ca, Fe, Ma, Hu, Pm, Mu, Po, Pm, Rb, Rt, Sh, Xp
Applications: ChIP, ChIP, ELISA, Flow, GS, IA, IB, ICC/IF, IHC-FrFl, IHC, IHC-Fr, IHC-P, IP, In vitro, KD, KO, LA, PLA, Simple Western, TCS, WB
Species: Hu
Applications: Flow, ICC, IHC, WB
Species: Hu, Pm, Mu, Rt
Applications: ELISA, Flow, ICC/IF, IHC, IHC-P, WB
Species: Hu
Applications: IHC, IHC-P, WB
Species: Hu, Mu, Rt, Xp(-), Ye
Applications: CyTOF-ready, ELISA, Flow-IC, Flow, ICC/IF, IHC, IHC-Fr, IHC-P, IP, WB
Species: Hu
Applications: IHC, IHC-P, WB
Species: Hu, Rt
Applications: ELISA, ICC/IF, S-ELISA, WB
Species: Hu, Mu, Rt
Applications: ELISA
Species: Hu, Mu, Rt
Applications: ChIP, GS, ICC/IF, IHC, IHC-P, WB
Species: Hu
Applications: ICC/IF, IHC, IHC-P
Species: Hu, Mu
Applications: ICC/IF, IHC, IHC-P, Simple Western, WB
Species: Hu, Mu, Rt
Applications: WB, ICC/IF, IHC
Publications for TACC3 Antibody (NBP2-67671)(1)
Showing Publication 1 -
1 of 1.
Reviews for TACC3 Antibody (NBP2-67671) (0)
There are no reviews for TACC3 Antibody (NBP2-67671).
By submitting a review you will receive an Amazon e-Gift Card or Novus Product Discount.
- Review with no image -- $10/€7/£6/$10 CAD/¥70 Yuan/¥1110 Yen
- Review with an image -- $25/€18/£15/$25 CAD/¥150 Yuan/¥2500 Yen
Product General Protocols
Find general support by application which include: protocols, troubleshooting, illustrated assays, videos and webinars.
Video Protocols
FAQs for TACC3 Antibody (NBP2-67671) (0)
Secondary Antibodies
| |
Isotype Controls
|
Additional TACC3 Products
Research Areas for TACC3 Antibody (NBP2-67671)
Find related products by research area.
|
Blogs on TACC3