SV2B Antibody - BSA Free

Images

 
Immunohistochemistry-Paraffin: SV2B Antibody [NBP1-92462] - Staining of human cerebral cortex shows distinct positivity in neuropil.
Staining of human cerebellum shows strong cytoplasmic positivity in cells in molecular layer.
Staining of human cerebral cortex shows strong cytoplasmic positivity in neuropil.
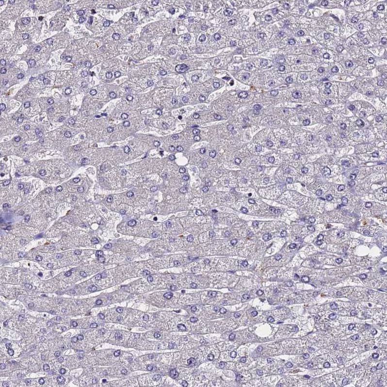
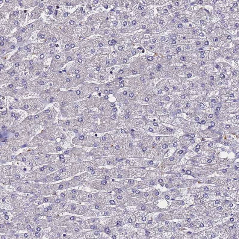
Staining of human liver shows no positivity in hepatocytes as expected.
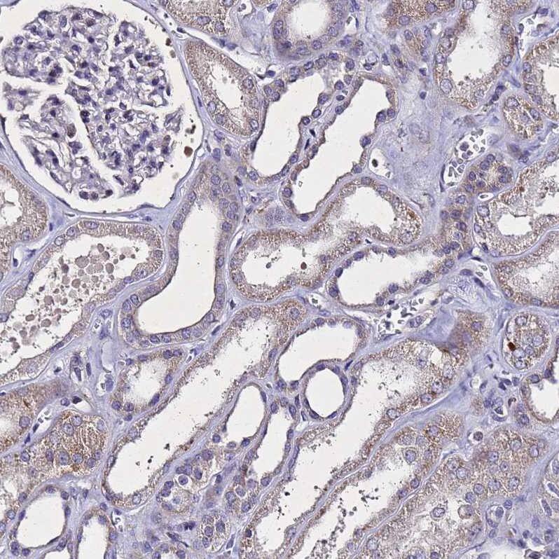
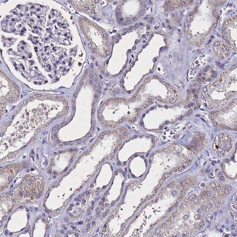
Staining of human kidney shows no positivity in cells in tubules as expected.

Product Details

Summary
Reactivity HuSpecies Glossary
Applications IHC
Clonality
Polyclonal
Host
Rabbit
Conjugate
Unconjugated
Format
BSA Free

Order Details

View Available Formulations
Catalog# & Formulation Size Price

SV2B Antibody - BSA Free Summary

Description
Novus Biologicals Rabbit SV2B Antibody - BSA Free (NBP1-92462) is a polyclonal antibody validated for use in IHC. All Novus Biologicals antibodies are covered by our 100% guarantee.
Immunogen
This antibody was developed against Recombinant Protein corresponding to amino acids: EYQGIPHPDDVKAKQAKMAPSRMDSLRGQTDLMAERLEDEEQLAHQYETIMDECGHGR
Isotype
IgG
Clonality
Polyclonal
Host
Rabbit
Gene
SV2B
Purity
Affinity purified
Innovator's Reward
Test in a species/application not listed above to receive a full credit towards a future purchase.

Applications/Dilutions

Dilutions
  • Immunohistochemistry 1:500 - 1:1000
  • Immunohistochemistry-Paraffin 1:500 - 1:1000
Application Notes
For IHC-Paraffin, HIER pH 6 retrieval is recommended.
Control Peptide
SV2B Protein (NBP1-92462PEP)

Reactivity Notes

Immunogen displays the following percentage of sequence identity for non-tested species: Mouse (84%).

Packaging, Storage & Formulations

Storage
Store at 4C short term. Aliquot and store at -20C long term. Avoid freeze-thaw cycles.
Buffer
PBS (pH 7.2) and 40% Glycerol
Preservative
0.02% Sodium Azide
Purity
Affinity purified

Alternate Names for SV2B Antibody - BSA Free

  • FLJ30413
  • FLJ42732
  • HsT19680
  • KIAA0735HsT19680
  • SV2B
  • synaptic vesicle glycoprotein 2B
  • synaptic vesicle protein 2B homolog

Background

Probably plays a role in the control of regulated secretion in neural and endocrine cells

Limitations

This product is for research use only and is not approved for use in humans or in clinical diagnosis. Primary Antibodies are guaranteed for 1 year from date of receipt.

Customers Who Viewed This Item Also Viewed...

NBP1-82964
Species: Hu, Mu
Applications: ICC/IF, IHC,  IHC-P, IP, WB
NBP1-86239
Species: Hu
Applications: IHC,  IHC-P
MAB4364
Species: Rt
Applications: ICC, IHC, IP, KO, WB
NB300-653
Species: Ch, Fe, Hu, Pm, Mu, Rt
Applications: ELISA, ICC/IF, IHC, IHC-Fr,  IHC-P, IP, WB
NBP3-17120
Species: Hu
Applications: IHC,  IHC-P
NBP1-33714
Species: Hu, Mu, Rt, Ze
Applications: ICC/IF, IHC-WhMt, IHC, IHC-Fr,  IHC-P, Simple Western, WB
NBP3-13179
Species: Mu, Rt
Applications: ICC/IF, IHC, IHC-Fr,  IHC-P, WB
NBP2-20857
Species: Hu, Mu, Rt
Applications: ICC/IF, IHC, IHC-Fr,  IHC-P, WB
AF3159
Species: Mu
Applications: IHC
NB110-58870
Species: Hu, Mu, Rt
Applications: ICC/IF, IHC, KD, Simple Western, WB
NB300-109
Species: Ch, Dr, Hu, I, Ma, Mu, Rt
Applications: Dual ISH-IHC, ICC/IF, IHC-FrFl, IHC-WhMt, IHC, IHC-Fr,  IHC-P, KO, Simple Western, WB
NBP1-77112
Species: Hu, Mu, Rt
Applications: ELISA, ICC/IF, IHC,  IHC-P, WB
NBP1-70484
Species: Hu
Applications: WB
NBP1-87936
Species: Hu, Mu, Rt
Applications: IHC,  IHC-P, WB
NBP1-59355
Species: Hu
Applications: IHC,  IHC-P, WB
NBP1-92462
Species: Hu
Applications: IHC

Publications for SV2B Antibody (NBP1-92462) (0)

There are no publications for SV2B Antibody (NBP1-92462).
By submitting your publication information earn gift cards and discounts for future purchases.

Reviews for SV2B Antibody (NBP1-92462) (0)

There are no reviews for SV2B Antibody (NBP1-92462). By submitting a review you will receive an Amazon e-Gift Card or Novus Product Discount.
  • Review with no image -- $10/€7/£6/$10 CAD/¥70 Yuan/¥1110 Yen
  • Review with an image -- $25/€18/£15/$25 CAD/¥150 Yuan/¥2500 Yen

Product General Protocols

Find general support by application which include: protocols, troubleshooting, illustrated assays, videos and webinars.

FAQs for SV2B Antibody (NBP1-92462) (0)

There are no specific FAQs related to this product. Read our general customer & technical service FAQs.

Secondary Antibodies

 

Isotype Controls

Additional SV2B Products

Research Areas for SV2B Antibody (NBP1-92462)

Find related products by research area.

Blogs on SV2B

There are no specific blogs for SV2B, but you can read our latest blog posts.

Customers Who Bought This Also Bought

Contact Information

Product PDFs

Calculators

Concentration Calculator

The concentration calculator allows you to quickly calculate the volume, mass or concentration of your vial. Simply enter your mass, volume, or concentration values for your reagent and the calculator will determine the rest.

=
÷

Review this Product

Be the first to review our SV2B Antibody - BSA Free and receive a gift card or discount.

Bioinformatics

Gene Symbol SV2B