STK31 Antibody

Images

 
Western Blot: STK31 Antibody [NBP2-19305] - Sample (30 ug of whole cell lysate) A: AZ521 cell B: AZ521-Stk31-GFP C: AZ521-Stk31-Myc-His 5% SDS PAGE gel, diluted at 1:1000.
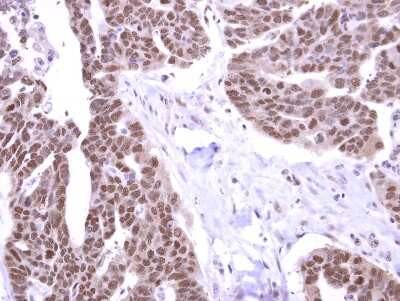
Immunohistochemistry-Paraffin: STK31 Antibody [NBP2-19305] - Stk31 antibody detects Stk31 protein at cytoplasm and nucleus on Ovarian carcinoma by immunohistochemical analysis. Sample: Paraffin-embedded Ovarian ...read more

Product Details

Summary
Reactivity Hu, MuSpecies Glossary
Applications WB, IHC
Clonality
Polyclonal
Host
Rabbit
Conjugate
Unconjugated

Order Details

STK31 Antibody Summary

Description
Novus Biologicals Rabbit STK31 Antibody (NBP2-19305) is a polyclonal antibody validated for use in IHC and WB. All Novus Biologicals antibodies are covered by our 100% guarantee.
Immunogen
Carrier-protein conjugated synthetic peptide encompassing a sequence within the C-terminus region of mouse STK31. The exact sequence is proprietary.
Isotype
IgG
Clonality
Polyclonal
Host
Rabbit
Gene
STK31
Purity
Antigen Affinity-purified
Innovator's Reward
Test in a species/application not listed above to receive a full credit towards a future purchase.

Applications/Dilutions

Dilutions
  • Immunohistochemistry 1:100-1:1000
  • Immunohistochemistry-Paraffin 1:100-1:1000
  • Western Blot 1:500-1:3000
Theoretical MW
115 kDa.
Disclaimer note: The observed molecular weight of the protein may vary from the listed predicted molecular weight due to post translational modifications, post translation cleavages, relative charges, and other experimental factors.

Reactivity Notes

Rat (88%).

Packaging, Storage & Formulations

Storage
Aliquot and store at -20C or -80C. Avoid freeze-thaw cycles.
Buffer
PBS, 1% BSA, 20% Glycerol
Preservative
0.01% Thimerosal
Purity
Antigen Affinity-purified

Alternate Names for STK31 Antibody

  • EC 2.7.11.1
  • FLJ16102
  • serine/threonine kinase 31
  • serine/threonine-protein kinase 31
  • Serine/threonine-protein kinase NYD-SPK
  • SgK396
  • Sugen kinase 396
  • TDRD8
  • tudor domain containing 8

Background

STK31 - serine/threonine kinase 31

Limitations

This product is for research use only and is not approved for use in humans or in clinical diagnosis. Primary Antibodies are guaranteed for 1 year from date of receipt.

Customers Who Viewed This Item Also Viewed...

AF6548
Species: Hu, Mu
Applications: IHC
NBP3-38158
Species: Hu
Applications: ELISA, ICC/IF, IHC,  IHC-P, WB
NBP3-20167
Species: Hu
Applications: ELISA, Flow, ICC/IF, IHC, IP, WB
NB100-64775
Species: Hu
Applications: CyTOF-ready, ELISA, Flow, Func, IHC, IHC-Fr, IHC-P (-), IP
AF5675
Species: Hu, Mu, Rt
Applications: IHC, IP, KO, WB
1129-ER
Species: Hu
Applications: BA
NBP2-38464
Species: Hu
Applications: ICC/IF, IHC,  IHC-P, KD, WB
NBP2-24590
Species: Mu
Applications: IHC,  IHC-P, WB
NBP1-60112
Species: Hu, Mu
Applications: IHC,  IHC-P, WB
H00003400-B01P
Species: Hu, Mu
Applications: ICC/IF, WB
NBP2-13403
Species: Hu
Applications: ICC/IF, IHC,  IHC-P
NBP1-90989
Species: Hu
Applications: IHC,  IHC-P, WB
NB100-87011
Species: Hu
Applications: IP, WB
NBP2-69049
Species: Hu
Applications: IHC,  IHC-P
NBP1-84881
Species: Hu
Applications: ICC/IF, IHC,  IHC-P, WB
AF5869
Species: Hu, Mu
Applications: ICC, IHC, IP, Simple Western, WB
NBP1-92607
Species: Hu
Applications: ICC/IF, IHC,  IHC-P
NB100-619
Species: Hu
Applications: IHC,  IHC-P, IP, WB
⚠ WARNING: This product can expose you to chemicals including mercury, which is known to the State of California to cause reproductive toxicity with developmental effects.  For more information go to www.P65Warnings.ca.gov.

Publications for STK31 Antibody (NBP2-19305) (0)

There are no publications for STK31 Antibody (NBP2-19305).
By submitting your publication information earn gift cards and discounts for future purchases.

Reviews for STK31 Antibody (NBP2-19305) (0)

There are no reviews for STK31 Antibody (NBP2-19305). By submitting a review you will receive an Amazon e-Gift Card or Novus Product Discount.
  • Review with no image -- $10/€7/£6/$10 CAD/¥70 Yuan/¥1110 Yen
  • Review with an image -- $25/€18/£15/$25 CAD/¥150 Yuan/¥2500 Yen

Product General Protocols

Find general support by application which include: protocols, troubleshooting, illustrated assays, videos and webinars.

Video Protocols

WB Video Protocol

FAQs for STK31 Antibody (NBP2-19305) (0)

There are no specific FAQs related to this product. Read our general customer & technical service FAQs.

Customers Who Bought This Also Bought

Contact Information

Product PDFs

Calculators

Concentration Calculator

The concentration calculator allows you to quickly calculate the volume, mass or concentration of your vial. Simply enter your mass, volume, or concentration values for your reagent and the calculator will determine the rest.

=
÷

Review this Product

Be the first to review our STK31 Antibody and receive a gift card or discount.

Bioinformatics

Gene Symbol STK31