SRPRB Antibody (OTI2D4) - Azide and BSA Free

Images

 
Western Blot: SRPRB Antibody (OTI2D4) - Azide and BSA Free [NBP2-74351] - Analysis of HEK293T cells were transfected with the pCMV6-ENTRY control (Left lane) or pCMV6-ENTRY SRPRB.
Immunohistochemistry: SRPRB Antibody (OTI2D4) - Azide and BSA Free [NBP2-74351] - Analysis of Human pancreas tissue. (Heat-induced epitope retrieval by 10mM citric buffer, pH6.0, 120C for 3min)
Western Blot: SRPRB Antibody (OTI2D4) - Azide and BSA Free [NBP2-74351] - Analysis of extracts (35ug) from 9 different cell lines (HepG2: human; HeLa: human; SVT2: mouse; A549: human; COS7: monkey; Jurkat: human; MDCK: ...read more
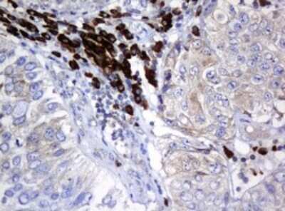
Immunohistochemistry: SRPRB Antibody (OTI2D4) - Azide and BSA Free [NBP2-74351] - Analysis of Adenocarcinoma of Human colon tissue . (Heat-induced epitope retrieval by 10mM citric buffer, pH6.0, 120C for 3min)
Immunohistochemistry: SRPRB Antibody (OTI2D4) - Azide and BSA Free [NBP2-74351] - Analysis of Carcinoma of Human bladder tissue using. (Heat-induced epitope retrieval by 10mM citric buffer, pH6.0, 120C for 3min)
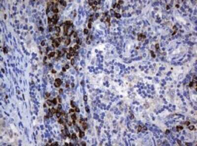
Immunohistochemistry: SRPRB Antibody (OTI2D4) - Azide and BSA Free [NBP2-74351] - Analysis of Human lymph node tissue. (Heat-induced epitope retrieval by 10mM citric buffer, pH6.0, 120C for 3min)
Immunohistochemistry: SRPRB Antibody (OTI2D4) - Azide and BSA Free [NBP2-74351] - Analysis of Human tonsil tissue. (Heat-induced epitope retrieval by 10mM citric buffer, pH6.0, 120C for 3min)

Product Details

Summary
Reactivity Hu, Mu, RtSpecies Glossary
Applications WB, IHC
Clone
OTI2D4
Clonality
Monoclonal
Host
Mouse
Conjugate
Unconjugated
Format
Azide and BSA Free
Concentration
LYOPH

Order Details

SRPRB Antibody (OTI2D4) - Azide and BSA Free Summary

Description
Novus Biologicals Mouse SRPRB Antibody (OTI2D4) - Azide and BSA Free (NBP2-45958) is a monoclonal antibody validated for use in IHC and WB. All Novus Biologicals antibodies are covered by our 100% guarantee.
Immunogen
Full length human recombinant protein of human SRPRB(NP_067026) produced in HEK293T cell.
Isotype
IgG1
Clonality
Monoclonal
Host
Mouse
Gene
SRPRB
Purity
Immunogen affinity purified
Innovator's Reward
Test in a species/application not listed above to receive a full credit towards a future purchase.

Applications/Dilutions

Dilutions
  • Immunohistochemistry 1:100
  • Immunohistochemistry-Paraffin
  • Western Blot 1:2000
Theoretical MW
29.5 kDa.
Disclaimer note: The observed molecular weight of the protein may vary from the listed predicted molecular weight due to post translational modifications, post translation cleavages, relative charges, and other experimental factors.

Reactivity Notes

Please note that this antibody is reactive to Mouse and derived from the same host, Mouse. Mouse-On-Mouse blocking reagent may be needed for IHC and ICC experiments to reduce high background signal. You can find these reagents under catalog numbers PK-2200-NB and MP-2400-NB. Please contact Technical Support if you have any questions.

Packaging, Storage & Formulations

Storage
Store at -20C. Avoid freeze-thaw cycles.
Buffer
Lyophilized from PBS (pH 7.3) with 8% Trehalose
Preservative
No Preservative
Concentration
LYOPH
Purity
Immunogen affinity purified
Reconstitution Instructions
we recommend adding 100uL distilled water to a final antibody concentration of about 1 mg/mL. To use this carrier-free antibody for conjugation experiment, we strongly recommend performing another round of desalting process.

Alternate Names for SRPRB Antibody (OTI2D4) - Azide and BSA Free

  • APMCF1
  • Protein APMCF1
  • signal recognition particle receptor subunit beta
  • signal recognition particle receptor, B subunit
  • signal recognition particle receptor, beta subunit
  • SR-beta

Background

SRPRB is encoded by this gene has similarity to mouse protein which is a subunit of the signal recognition particle receptor (SR). This subunit is a transmembrane GTPase belonging to the GTPase superfamily. It anchors alpha subunit, a peripheral membrane GTPase, to the ER membrane. SR is required for the cotranslational targeting of both secretory and membrane proteins to the ER membrane. [provided by RefSeq]

Limitations

This product is for research use only and is not approved for use in humans or in clinical diagnosis. Primary Antibodies are guaranteed for 1 year from date of receipt.

Customers Who Viewed This Item Also Viewed...

NBP2-13075
Species: Ba, Hu, Pm, Mu, Rt
Applications: DB, ELISA, IB, ICC/IF, IHC-FrFl, IHC, IHC-Fr,  IHC-P, IP, WB
NBP2-29463
Species: Pm, Hu, Pm, Mu
Applications: Flow, ICC/IF, IHC,  IHC-P, WB
NBP1-90299
Species: Hu
Applications: ICC/IF, IHC, IHC-Fr,  IHC-P, WB
H00005355-P01
Species: Hu
Applications: ELISA, AP, PA, PAGE, WB
AF4647
Species: Hu
Applications: IHC, IP, WB
NBP3-03966
Species: Hu, Mu, Rt
Applications: ICC/IF, IHC,  IHC-P, WB
NBP1-89330
Species: Hu
Applications: IHC,  IHC-P
MAB1368
Species: Hu, Mu
Applications: CyTOF-ready, ICC, ICFlow, KO, Simple Western, WB
973-TM
Species: Hu
Applications: InhibAct
2914-HT
Species: Hu
Applications: BA
NBP1-83910
Species: Hu
Applications: IHC,  IHC-P, KD, WB
H00027065-M01
Species: Hu, Rt
Applications: ELISA, ICC/IF, S-ELISA, WB
NBP2-46085
Species: Hu
Applications: IHC,  IHC-P, WB
NBP2-13403
Species: Hu
Applications: ICC/IF, IHC,  IHC-P
NBP2-45910
Species: Hu
Applications: IHC,  IHC-P, WB
NBP2-46379
Species: Hu
Applications: IHC,  IHC-P, WB
NBP2-38469
Species: Hu
Applications: ICC/IF, IHC,  IHC-P, KD, WB
NBP2-74351
Species: Hu, Mu, Rt
Applications: WB, IHC

Publications for SRPRB Antibody (NBP2-74351) (0)

There are no publications for SRPRB Antibody (NBP2-74351).
By submitting your publication information earn gift cards and discounts for future purchases.

Reviews for SRPRB Antibody (NBP2-74351) (0)

There are no reviews for SRPRB Antibody (NBP2-74351). By submitting a review you will receive an Amazon e-Gift Card or Novus Product Discount.
  • Review with no image -- $10/€7/£6/$10 CAD/¥70 Yuan/¥1110 Yen
  • Review with an image -- $25/€18/£15/$25 CAD/¥150 Yuan/¥2500 Yen

Product General Protocols

Find general support by application which include: protocols, troubleshooting, illustrated assays, videos and webinars.

Video Protocols

WB Video Protocol

FAQs for SRPRB Antibody (NBP2-74351) (0)

There are no specific FAQs related to this product. Read our general customer & technical service FAQs.

Customers Who Bought This Also Bought

Contact Information

Product PDFs

Calculators

Concentration Calculator

The concentration calculator allows you to quickly calculate the volume, mass or concentration of your vial. Simply enter your mass, volume, or concentration values for your reagent and the calculator will determine the rest.

=
÷

Review this Product

Be the first to review our SRPRB Antibody (OTI2D4) - Azide and BSA Free and receive a gift card or discount.

Bioinformatics

Gene Symbol SRPRB