SMC3 Antibody (JM10-75)

Images

 
Western Blot: SMC3 Antibody (JM10-75) [NBP2-67153] - Analysis of SMC3 on different cells lysates using anti-SMC3 antibody at 1/1,000 dilution. Positive control: Line1: HepG2 Line2: NIH-3T3 Line3:PC12
Immunocytochemistry/ Immunofluorescence: SMC3 Antibody (JM10-75) [NBP2-67153] - Staining SMC3 in NIH-3T3 cells (red). The nuclear counter stain is DAPI (blue). Cells were fixed in paraformaldehyde, permeabilised with ...read more
Immunohistochemistry-Paraffin: SMC3 Antibody (JM10-75) [NBP2-67153] - Analysis of paraffin-embedded zebrafish tissue using anti-SMC3 antibody. Counter stained with hematoxylin.
Flow Cytometry: SMC3 Antibody (JM10-75) [NBP2-67153] - Analysis of Hela cells with SMC3 antibody at 1/50 dilution (red) compared with an unlabelled control (cells without incubation with primary antibody; black). Alexa ...read more
Immunocytochemistry/ Immunofluorescence: SMC3 Antibody (JM10-75) [NBP2-67153] - Staining SMC3 in Hela cells (red). The nuclear counter stain is DAPI (blue). Cells were fixed in paraformaldehyde, permeabilised with 0.25% ...read more
Immunocytochemistry/ Immunofluorescence: SMC3 Antibody (JM10-75) [NBP2-67153] - Staining SMC3 in HepG2 cells (red). The nuclear counter stain is DAPI (blue). Cells were fixed in paraformaldehyde, permeabilised with ...read more
Immunohistochemistry-Paraffin: SMC3 Antibody (JM10-75) [NBP2-67153] - Analysis of paraffin-embedded human colon cancer tissue using anti-SMC3 antibody. Counter stained with hematoxylin.
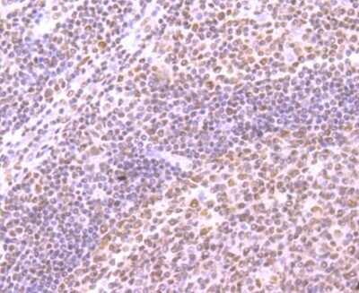
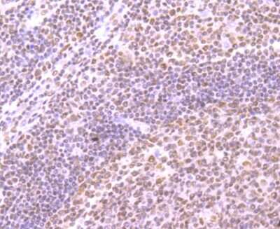
Immunohistochemistry-Paraffin: SMC3 Antibody (JM10-75) [NBP2-67153] - Analysis of paraffin-embedded human tonsil tissue using anti-SMC3 antibody. Counter stained with hematoxylin.
Immunohistochemistry-Paraffin: SMC3 Antibody (JM10-75) [NBP2-67153] - Analysis of paraffin-embedded mouse colon tissue using anti-SMC3 antibody. Counter stained with hematoxylin.

Product Details

Summary
Product Discontinued
View other related SMC3 Primary Antibodies

Order Details


    • Catalog Number
      NBP2-67153
    • Availability
      Product Discontinued

    Can't find what you are looking for? Use our Antibody Concierge Service & we will help you locate your antibody!

    Or feel free to contact us for alternative products.

SMC3 Antibody (JM10-75) Summary

Additional Information
Recombinant Monoclonal Antibody.
Immunogen
Synthetic peptide within Human SMC3 aa 1994-1217 / 1217. (SwissProt: Q9UQE7 Human; SwissProt: Q9CW03 Mouse; SwissProt: P97690 Rat)
Localization
Centromere, Chromosome, Nucleus.
Isotype
IgG
Clonality
Monoclonal
Host
Rabbit
Gene
SMC3
Purity
Protein A purified
Innovator's Reward
Test in a species/application not listed above to receive a full credit towards a future purchase.

Applications/Dilutions

Dilutions
  • Flow Cytometry 1:50-1:100
  • Immunocytochemistry/ Immunofluorescence 1:100-1:500
  • Immunohistochemistry
  • Immunohistochemistry-Paraffin 1:50-1:200
  • Western Blot 1:1000-1:5000

Packaging, Storage & Formulations

Storage
Store at 4C short term. Aliquot and store at -20C long term. Avoid freeze-thaw cycles.
Buffer
TBS (pH7.4), 0.05% BSA, 40% Glycerol
Preservative
0.05% Sodium Azide
Concentration
1 mg/ml
Purity
Protein A purified

Alternate Names for SMC3 Antibody (JM10-75)

  • Bamacan
  • BAMSMC protein 3
  • Basement membrane-associated chondroitin proteoglycan
  • BMH
  • chondroitin sulfate proteoglycan 6 (bamacan)
  • Chondroitin sulfate proteoglycan 6
  • Chromosome-associated polypeptide
  • CSPG6structural maintenance of chromosomes protein 3
  • hCAP
  • HCAPbamacan
  • SMC-3
  • SMC3L1CDLS3
  • structural maintenance of chromosomes 3

Background

Involved in chromosome cohesion during cell cycle and in DNA repair. Central component of cohesin complex. The cohesin complex is required for the cohesion of sister chromatids after DNA replication. The cohesin complex apparently forms a large proteinaceous ring within which sister chromatids can be trapped. At anaphase, the complex is cleaved and dissociates from chromatin, allowing sister chromatids to segregate. The cohesin complex may also play a role in spindle pole assembly during mitosis and in chromosome movement.

Limitations

This product is for research use only and is not approved for use in humans or in clinical diagnosis. Primary Antibodies are guaranteed for 1 year from date of receipt.

Customers Who Viewed This Item Also Viewed...

NBP1-89165
Species: Hu
Applications: IHC,  IHC-P
NBP2-59320
Species: Ha, Hu, Mu, Rt
Applications: ICC/IF, IHC, WB
NB100-204
Species: Hu, Mu
Applications: ELISA, ICC/IF, IHC,  IHC-P, IP, Simple Western, WB
NBP2-20053
Species: Hu, Mu, Rt
Applications: ChIP, ICC/IF, IHC,  IHC-P, IP, WB
NBP2-03227
Species: Hu
Applications: Flow, ICC/IF, IHC,  IHC-P, WB
7027-GT
Species: Hu, Wf
Applications: EnzAct
MAB1934
Species: Hu
Applications: CyTOF-ready, Flow, IP, WB
NBP1-85110
Species: Hu
Applications: ICC/IF, IHC,  IHC-P
AF8065
Species: Hu
Applications: WB
AF4086
Species: Hu
Applications: ICC, WB
NBP1-87144
Species: Hu
Applications: IHC,  IHC-P, WB
NBP1-89966
Species: Hu
Applications: ICC/IF, IHC,  IHC-P
NB300-232
Species: Bv, Ch, Fe, Hu, Mu, Pa, Po, Rt, RM
Applications: IB, ICC/IF, IHC, IHC-Fr,  IHC-P, IP, WB
H00114799-P01
Species: Hu
Applications: ELISA, AP, PA, WB
NB100-1533
Species: Hu, Mu, Po, Rt, Sh
Applications: Flow, ICC/IF, IHC,  IHC-P, PEP-ELISA, WB

Publications for SMC3 Antibody (NBP2-67153) (0)

There are no publications for SMC3 Antibody (NBP2-67153).
By submitting your publication information earn gift cards and discounts for future purchases.

Reviews for SMC3 Antibody (NBP2-67153) (0)

There are no reviews for SMC3 Antibody (NBP2-67153). By submitting a review you will receive an Amazon e-Gift Card or Novus Product Discount.
  • Review with no image -- $10/€7/£6/$10 CAD/¥70 Yuan/¥1110 Yen
  • Review with an image -- $25/€18/£15/$25 CAD/¥150 Yuan/¥2500 Yen

Product General Protocols

Find general support by application which include: protocols, troubleshooting, illustrated assays, videos and webinars.

Video Protocols

WB Video Protocol
ICC/IF Video Protocol

FAQs for SMC3 Antibody (NBP2-67153) (0)

There are no specific FAQs related to this product. Read our general customer & technical service FAQs.

Secondary Antibodies

 

Isotype Controls

Additional SMC3 Products

Research Areas for SMC3 Antibody (NBP2-67153)

Find related products by research area.

Blogs on SMC3

There are no specific blogs for SMC3, but you can read our latest blog posts.

Contact Information

Product PDFs

Calculators

Concentration Calculator

The concentration calculator allows you to quickly calculate the volume, mass or concentration of your vial. Simply enter your mass, volume, or concentration values for your reagent and the calculator will determine the rest.

=
÷

Review this Product

Be the first to review our SMC3 Antibody (JM10-75) and receive a gift card or discount.

Bioinformatics

Gene Symbol SMC3