Smad2 [p Ser225] Antibody (JF0882)

Images

 
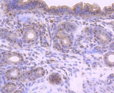
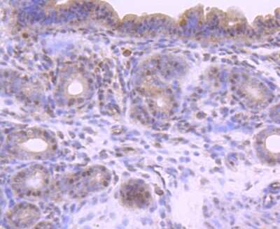
Immunohistochemistry-Paraffin: Smad2 [p Ser225] Antibody (JF0882) [NBP2-66797] - Analysis of paraffin-embedded mouse uterus tissue using anti-Phospho-Smad2(S255) antibody. Counter stained with hematoxylin.

Product Details

Summary
Product Discontinued
View other related Smad2 Primary Antibodies

Order Details


    • Catalog Number
      NBP2-66797
    • Availability
      Product Discontinued

    Can't find what you are looking for? Use our Antibody Concierge Service & we will help you locate your antibody!

    Or feel free to contact us for alternative products.

Smad2 [p Ser225] Antibody (JF0882) Summary

Additional Information
Recombinant Monoclonal Antibody.
Immunogen
Synthetic phospho-peptide corresponding to residues surrounding ser255 of human smad2 aa 229-272 / 467. (SwissProt: Q15796 Human; SwissProt: Q62432 Mouse; SwissProt: O70436 Rat)
Modification
p Ser225
Localization
Nucleus, Cytoplasm.
Isotype
IgG
Clonality
Monoclonal
Host
Rabbit
Gene
SMAD2
Purity
Protein A purified
Innovator's Reward
Test in a species/application not listed above to receive a full credit towards a future purchase.

Applications/Dilutions

Dilutions
  • Immunohistochemistry
  • Immunohistochemistry-Paraffin 1:50-1:200
  • Immunoprecipitation
  • Western Blot 1:1000

Packaging, Storage & Formulations

Storage
Store at 4C short term. Aliquot and store at -20C long term. Avoid freeze-thaw cycles.
Buffer
TBS (pH7.4), 0.05% BSA, 40% Glycerol
Preservative
0.05% Sodium Azide
Concentration
1 mg/ml
Purity
Protein A purified

Alternate Names for Smad2 [p Ser225] Antibody (JF0882)

  • hMAD-2
  • hSMAD2
  • JV18
  • JV18-1
  • JV18-1SMAD, mothers against DPP homolog 2 (Drosophila)
  • MAD homolog 2
  • Mad protein homolog
  • Mad, mothers against decapentaplegic homolog 2
  • MADH2
  • MADH2MGC34440
  • MADR2
  • MADR2MGC22139
  • Mad-related protein 2
  • mother against DPP homolog 2
  • mothers against decapentaplegic homolog 2
  • Mothers against DPP homolog 2
  • Sma- and Mad-related protein 2
  • SMAD 2
  • SMAD family member 2MAD, mothers against decapentaplegic homolog 2 (Drosophila)
  • SMAD, mothers against DPP homolog 2
  • Smad2
  • Smox

Background

Smad 2 is a member of the Mothers Against Dpp (MAD)-related family of proteins. So far, nine Smads have been identified and can be divided in 3 subgroups based on their structure and functions; pathway-restricted, common mediator and inhibitory Smad. Smad 2 and 3 serve as pathway-restricted Smads for the TGF-beta/activin signaling pathways (1-2). Smad 2 is phosphorylated by the TGF-beta type 1 receptor kinase on Ser 465 and Ser 467. Phosphorylation of both serines is essential for Smad 2-Smad4 heteromeric complex and dissociation of Smad 2 from the TGF-beta type 1 receptor (3). Once phosphorylated Smad2 translocate to the nucleus where it associates with DNA-binding proteins and forming a transcriptional complex (4). Unlike Smad 3 and 4, Smad 2 does not directly bind DNA (5).

Limitations

This product is for research use only and is not approved for use in humans or in clinical diagnosis. Primary Antibodies are guaranteed for 1 year from date of receipt.

Customers Who Viewed This Item Also Viewed...

NB100-56479
Species: Bv, Ca, Hu, Mu, Po, Pm, Rt
Applications: ICC/IF, IHC,  IHC-P, Simple Western, WB
AF2097
Species: Hu
Applications: ChIP, ICC, WB
MAB2029
Species: Hu, Mu, Rt
Applications: IHC, Simple Western, WB
7754-BH/CF
Species: Hu
Applications: BA
AF3025
Species: Hu
Applications: ELISA, ICC, WB
AF1230
Species: Hu, Mu, Rt
Applications: IHC, KO, WB
DYC1825-2
Species: Hu, Mu, Rt
Applications: ELISA
AF2039
Species: Hu
Applications: IHC, Simple Western, WB
NBP1-85533
Species: Hu
Applications: ICC/IF, IHC,  IHC-P, WB
NBP1-91258
Species: Bv, Ca, Eq, Fe, Hu, Mu, Po, Rt
Applications: ICC/IF, IHC, IHC-Fr,  IHC-P, Simple Western, WB
NBP2-29463
Species: Pm, Hu, Pm, Mu
Applications: Flow, ICC/IF, IHC,  IHC-P, WB
NBP1-19773
Species: Hu, Mu, Rt
Applications: ELISA, ICC/IF, IHC, IHC-Fr,  IHC-P, WB
3218-ND
Species: Hu
Applications: BA
AF467
Species: Hu, Mu
Applications: CyTOF-ready, Flow, ICC, IHC, Simple Western, WB
NBP2-67471
Species: Hu, Mu, Rt
Applications: ICC/IF, IHC,  IHC-P, WB
MAB17761
Species: Hu, Mu, Rt
Applications: ICC, WB
NBP2-66797
Species: Hu, Mu, Rt
Applications: WB, IHC, IP

Publications for Smad2 Antibody (NBP2-66797) (0)

There are no publications for Smad2 Antibody (NBP2-66797).
By submitting your publication information earn gift cards and discounts for future purchases.

Reviews for Smad2 Antibody (NBP2-66797) (0)

There are no reviews for Smad2 Antibody (NBP2-66797). By submitting a review you will receive an Amazon e-Gift Card or Novus Product Discount.
  • Review with no image -- $10/€7/£6/$10 CAD/¥70 Yuan/¥1110 Yen
  • Review with an image -- $25/€18/£15/$25 CAD/¥150 Yuan/¥2500 Yen

Product General Protocols

Find general support by application which include: protocols, troubleshooting, illustrated assays, videos and webinars.

Video Protocols

WB Video Protocol

FAQs for Smad2 Antibody (NBP2-66797) (0)

There are no specific FAQs related to this product. Read our general customer & technical service FAQs.

Secondary Antibodies

 

Isotype Controls

Additional Smad2 Products

Research Areas for Smad2 Antibody (NBP2-66797)

Find related products by research area.

Blogs on Smad2.

TGF-beta for treating degenerative intervertebral disc disease
By Jamshed Arslan Pharm.D. Our upright posture and balance depend on a jelly-like material, called nucleus pulposus (NP), in the middle of intervertebral discs. NP cells protect us from disc degeneration by maintain...  Read full blog post.

Contact Information

Product PDFs

Calculators

Concentration Calculator

The concentration calculator allows you to quickly calculate the volume, mass or concentration of your vial. Simply enter your mass, volume, or concentration values for your reagent and the calculator will determine the rest.

=
÷

Review this Product

Be the first to review our Smad2 [p Ser225] Antibody (JF0882) and receive a gift card or discount.

Bioinformatics

Gene Symbol SMAD2