SLC35G2 Antibody - BSA Free

Images

 
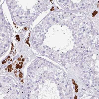
Immunohistochemistry-Paraffin: SLC35G2 Antibody [NBP2-14756] Staining of human testis shows strong cytoplasmic positivity in Leydig cells.

Product Details

Summary
Reactivity Hu, Mu, RtSpecies Glossary
Applications IHC
Clonality
Polyclonal
Host
Rabbit
Conjugate
Unconjugated
Format
BSA Free

Order Details

View Available Formulations
Catalog# & Formulation Size Price

SLC35G2 Antibody - BSA Free Summary

Description
Novus Biologicals Rabbit SLC35G2 Antibody - BSA Free (NBP2-14756) is a polyclonal antibody validated for use in IHC. All Novus Biologicals antibodies are covered by our 100% guarantee.
Immunogen
This antibody was developed against Recombinant Protein corresponding to amino acids: VCYYQEAPFGPSGYRLRLFFY
Predicted Species
Mouse (100%), Rat (95%). Backed by our 100% Guarantee.
Isotype
IgG
Clonality
Polyclonal
Host
Rabbit
Gene
SLC35G2
Purity
Affinity purified
Innovator's Reward
Test in a species/application not listed above to receive a full credit towards a future purchase.

Applications/Dilutions

Dilutions
  • Immunohistochemistry 1:20 - 1:50
  • Immunohistochemistry-Paraffin 1:20 - 1:50
Application Notes
For IHC-Paraffin, HIER pH 6 retrieval is recommended.
Control Peptide
SLC35G2 Protein (NBP2-14756PEP)

Packaging, Storage & Formulations

Storage
Store at 4C short term. Aliquot and store at -20C long term. Avoid freeze-thaw cycles.
Buffer
PBS (pH 7.2) and 40% Glycerol
Preservative
0.02% Sodium Azide
Purity
Affinity purified

Alternate Names for SLC35G2 Antibody - BSA Free

  • SLC35G2 solute carrier family 35, member G2
  • TMEM22

Limitations

This product is for research use only and is not approved for use in humans or in clinical diagnosis. Primary Antibodies are guaranteed for 1 year from date of receipt.

Customers Who Viewed This Item Also Viewed...

NBP2-45926
Species: Hu, Mu, Rt
Applications: ICC/IF, IHC,  IHC-P, WB
H00007001-M01
Species: Hu
Applications: ELISA, ICC/IF, IHC,  IHC-P, KD, WB
NBP1-87154
Species: Hu
Applications: ICC/IF, IHC,  IHC-P, KD, WB
NBP1-89265
Species: Hu
Applications: ICC/IF, IHC,  IHC-P, WB
NBP1-86513
Species: Hu, Mu
Applications: IHC,  IHC-P
AF8150
Species: Hu
Applications: ICC, ICFlow, Simple Western, WB
NBP1-91830
Species: Hu
Applications: ICC/IF, IHC,  IHC-P, WB
NBP3-46595
Species: Hu, Mu
Applications: ELISA, IHC, WB
NBP2-20391
Species: Hu, Mu
Applications: IHC,  IHC-P, WB
302-B2
Species: Hu
Applications: BA
NB200-106
Species: Mu, Rt
Applications: ELISA, ICC/IF, IHC, IHC-Fr,  IHC-P, WB
NBP3-46500
Species: Hu, Mu, Rt
Applications: ELISA, IHC, WB
NBP3-15720
Species: Hu, Rt
Applications: ELISA, IHC,  IHC-P, WB
NB100-56467
Species: Ca, Hu, Pm
Applications: WB
NB600-844
Species: Ch, Hu, Mu, Rb, Rt
Applications: ICC/IF, IHC, IHC-Fr,  IHC-P, Simple Western, WB
NBP1-90290
Species: Hu
Applications: IHC,  IHC-P
NBP1-59534
Species: Hu
Applications: WB
H00091319-P01
Species: Hu
Applications: ELISA, AP, PA, WB
NBP2-82023
Species: Hu, Mu, Rt
Applications: ELISA, ICC/IF, IHC,  IHC-P, WB
NBP2-14756
Species: Hu, Mu, Rt
Applications: IHC

Publications for SLC35G2 Antibody (NBP2-14756) (0)

There are no publications for SLC35G2 Antibody (NBP2-14756).
By submitting your publication information earn gift cards and discounts for future purchases.

Reviews for SLC35G2 Antibody (NBP2-14756) (0)

There are no reviews for SLC35G2 Antibody (NBP2-14756). By submitting a review you will receive an Amazon e-Gift Card or Novus Product Discount.
  • Review with no image -- $10/€7/£6/$10 CAD/¥70 Yuan/¥1110 Yen
  • Review with an image -- $25/€18/£15/$25 CAD/¥150 Yuan/¥2500 Yen

Product General Protocols

Find general support by application which include: protocols, troubleshooting, illustrated assays, videos and webinars.

FAQs for SLC35G2 Antibody (NBP2-14756) (0)

There are no specific FAQs related to this product. Read our general customer & technical service FAQs.

Customers Who Bought This Also Bought

Contact Information

Product PDFs

Calculators

Concentration Calculator

The concentration calculator allows you to quickly calculate the volume, mass or concentration of your vial. Simply enter your mass, volume, or concentration values for your reagent and the calculator will determine the rest.

=
÷

Review this Product

Be the first to review our SLC35G2 Antibody - BSA Free and receive a gift card or discount.

Bioinformatics

Gene Symbol SLC35G2