SETDB2 Antibody

Images

 
Western Blot: SETDB2 Antibody [NB100-1137] - Staining of Nuclear HeLa lysate with antibody at 0.3 ug/mL (35 ug protein in RIPA buffer). Detected by chemiluminescence.
Immunocytochemistry/ Immunofluorescence: SETDB2 Antibody [NB100-1137] - Human dermal microvascular endothelial cells were fixed with 4% paraformaldehyde, permeabilized with 0.2% TritonX-100 and immunostained with ...read more
Chromatin Immunoprecipitation (ChIP): SETDB2 Antibody [NB100-1137] - Human B-cell nuclear extract (500 ug). Gene of interest promoter primers were used for amplification to detect ChIP efficiency to IgG control. Image ...read more
Western Blot: SETDB2 Antibody [NB100-1137] - RL human non-Hodgkin's lymphoma B cell line whole cell lysate (WCL). Single band around correct MW is specific to the target protein SETDB2. Image submitted by a verified ...read more
Immunocytochemistry/ Immunofluorescence: SETDB2 Antibody [NB100-1137] - SETDB2 in human induced Pluripotent Stem Cells (iPSCs) using anti-SETDB2 antibody. Image submitted by a verified customer review.
Demonstration of IFI16’s interaction with specific H3K9 MTases in KSHV latently infected PEL (BCBL-1 and BC-3) cells and in uninfected control BJAB cells.(A) Nuclear fractions were isolated from latently infected ...read more
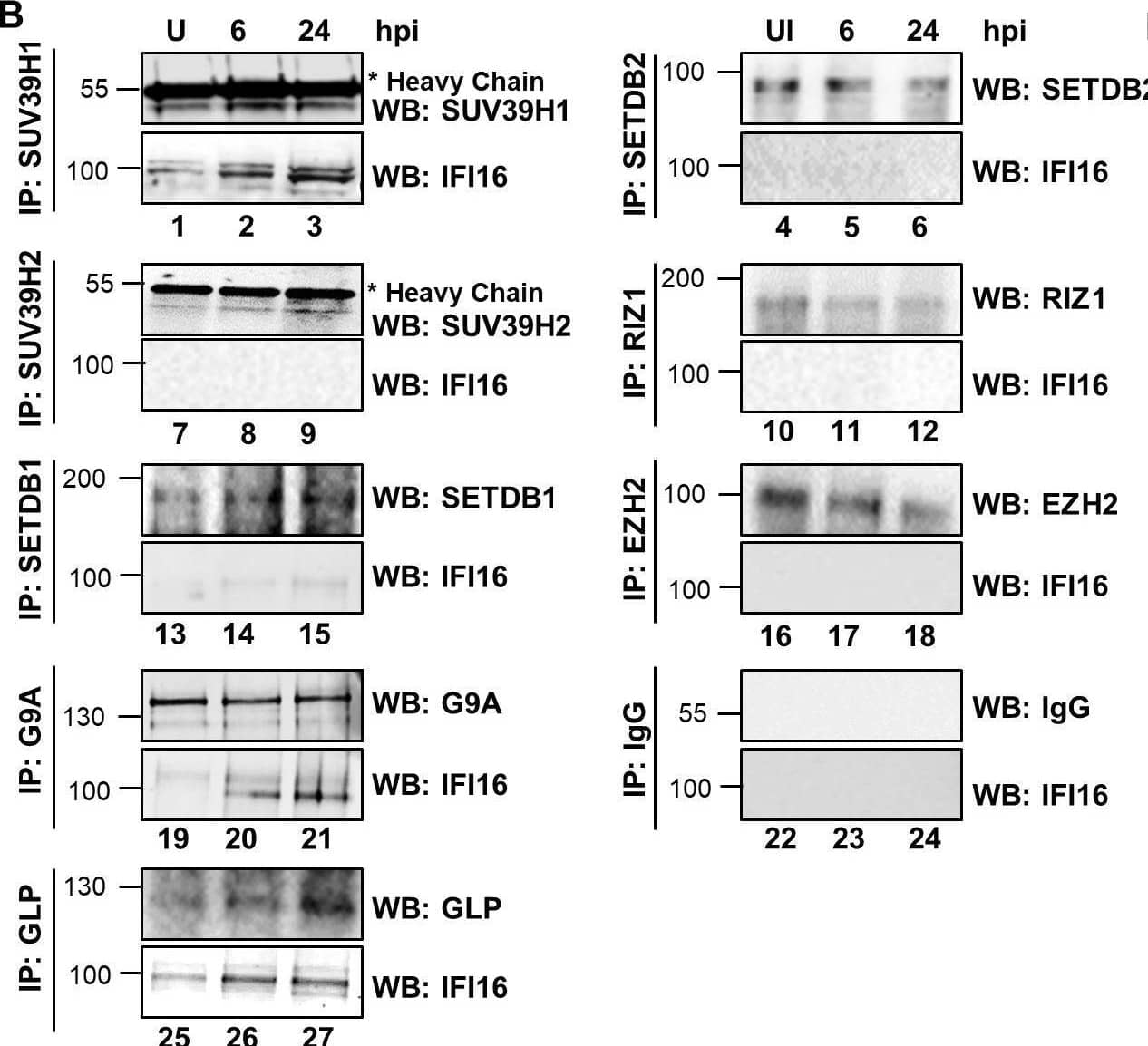
Demonstration of IFI16’s interaction and recruitment of specific H3K9 MTases during de novo KSHV infection.(A) TIME cells either left uninfected or infected with KSHV for 6 or 24 hr were IPed with anti-IFI16 ...read more
Demonstration of IFI16’s interaction and recruitment of specific H3K9 MTases during de novo KSHV infection.(A) TIME cells either left uninfected or infected with KSHV for 6 or 24 hr were IPed with anti-IFI16 ...read more
Demonstration of IFI16’s interaction with specific H3K9 MTases in KSHV latently infected PEL (BCBL-1 and BC-3) cells and in uninfected control BJAB cells.(A) Nuclear fractions were isolated from latently infected ...read more
Effect of A366 on KSHV life cycle and the demonstration of IFI16’s association with cellular H3K9 methyltransferase(s) (H3K9 MTase) and recruitment of various H3K9 MTases to the KSHV genome during de novo ...read more
Demonstration of IFI16’s interaction and recruitment of specific H3K9 MTases during de novo KSHV infection.(A) TIME cells either left uninfected or infected with KSHV for 6 or 24 hr were IPed with anti-IFI16 ...read more

Product Details

Summary
Reactivity Hu, Mu, Rt, Po, Bv, CaSpecies Glossary
Applications WB, ELISA, ICC/IF, IP, ChIP
Clonality
Polyclonal
Host
Goat
Conjugate
Unconjugated
Concentration
0.5 mg/ml

Order Details

SETDB2 Antibody Summary

Description
Novus Biologicals Goat SETDB2 Antibody (NB100-1137) is a polyclonal antibody validated for use in WB, ELISA, ICC/IF, IP and ChIP. Anti-SETDB2 Antibody: Cited in 2 publications. All Novus Biologicals antibodies are covered by our 100% guarantee.
Immunogen
Peptide with sequence GEKNGDAKTFWME-C corresponding to N-Terminus according to NP_114121.2, NP_001153780.1.
Specificity
This antibody is expected to recognize both reported isoforms (NP_114121.2; NP_001153780.1).
Predicted Species
Mouse (100%), Rat (100%), Porcine (100%), Bovine (100%), Canine (100%). Backed by our 100% Guarantee.
Isotype
IgG
Clonality
Polyclonal
Host
Goat
Gene
SETDB2
Purity
Immunogen affinity purified
Innovator's Reward
Test in a species/application not listed above to receive a full credit towards a future purchase.

Applications/Dilutions

Dilutions
  • Chromatin Immunoprecipitation (ChIP)
  • Immunocytochemistry/ Immunofluorescence
  • Immunoprecipitation
  • Peptide ELISA Detection limit 1:1000
  • Western Blot 1 - 3 ug/mL
Application Notes
Approx 85 kDa band observed in nuclear lysates of cell line HeLa (calculated MW of 81.9 kDa according to NP_114121.2). Not suitable on mouse heart and rat heart lysates. This SETDB2 antibody is validated for WB, CHIP, ICC/IF IP from verified customer reviews.
Reviewed Applications
Read 6 Reviews rated 4
using
NB100-1137 in the following applications:

Publications
Read Publications using
NB100-1137 in the following applications:

Packaging, Storage & Formulations

Storage
Store at -20C. Avoid freeze-thaw cycles.
Buffer
Tris saline (20 mM Tris pH 7.3, 150 mM NaCl), 0.5% BSA
Preservative
0.02% Sodium Azide
Concentration
0.5 mg/ml
Purity
Immunogen affinity purified

Alternate Names for SETDB2 Antibody

  • C13orf4
  • chromosome 13 open reading frame 4
  • chronic lymphocytic leukemia deletion region 8
  • Chronic lymphocytic leukemia deletion region gene 8 protein
  • CLLD8DKFZp761J1217
  • DKFZp586I0123
  • EC 2.1.1.43
  • histone-lysine N-methyltransferase SETDB2
  • KMT1FCLLL8
  • Lysine N-methyltransferase 1F
  • SET domain bifurcated 2
  • SET domain, bifurcated 2

Background

Proteins that contain a SET domain, such as SETDB2, modulate gene expression epigenetically through histone H3 methylation. SETDB2 is likely a histone H3 methyltransferase, as it contains both the active site and flanking cysteine residues required for catalytic activity.

Limitations

This product is for research use only and is not approved for use in humans or in clinical diagnosis. Primary Antibodies are guaranteed for 1 year from date of receipt.

Customers Who Viewed This Item Also Viewed...

NBP1-21367
Species: Hu, Mu
Applications: ICC/IF, IHC,  IHC-P, IP, WB
NBP3-38467
Species: Hu, Mu, Rt
Applications: ELISA, WB
NBP1-87911
Species: Hu
Applications: ICC/IF, IHC,  IHC-P, WB
NBP2-01249
Species: Hu, Mu, Rt
Applications: Flow, IHC,  IHC-P, WB
NBP1-44315
Species: Ha, Hu, Pm, Mu, Rt
Applications: IHC,  IHC-P
AF2434
Species: Mu
Applications: IP, WB
NB500-171
Species: Hu, I, Mu, Rt, Xp, Ye
Applications: ChIP, IB, ICC/IF, IHC,  IHC-P, Single-Cell Western, WB
NBP2-20116
Species: Hu, Mu
Applications: ICC/IF, IHC,  IHC-P, WB
NB100-87021
Species: Hu
Applications: IP, WB
NBP2-20322
Species: Hu, Mu
Applications: ChIP, ICC/IF, IHC,  IHC-P, IP, PLA, WB
NBP1-90510
Species: Hu
Applications: ICC/IF, IHC,  IHC-P
423-F8
Species: Hu, Mu
Applications: BA
AF3709
Species: Hu
Applications: IHC, Simple Western, WB
NBP1-76755
Species: Gp, Hu, Mu, Rt
Applications: ELISA, ICC/IF, IHC,  IHC-P, WB
NBP1-85638
Species: Hu
Applications: ICC/IF, IHC,  IHC-P, WB
NBP1-92443
Species: Hu
Applications: ICC/IF, IHC,  IHC-P
H00055777-M01
Species: Hu
Applications: ELISA, ICC/IF, S-ELISA, WB
NB100-1137
Species: Hu, Mu, Rt, Po, Bv, Ca
Applications: WB, ELISA, ICC/IF, IP, ChIP

Publications for SETDB2 Antibody (NB100-1137)(2)

We have publications tested in 1 confirmed species: Human.

We have publications tested in 4 applications: Chemotaxis, ICC/IF, IP, WB.


Filter By Application
Chemotaxis
(1)
ICC/IF
(1)
IP
(1)
WB
(1)
All Applications
Filter By Species
Human
(1)
All Species

Reviews for SETDB2 Antibody (NB100-1137) (6) 46

Average Rating: 4
(Based on 6 reviews)
We have 6 reviews tested in 1 species: Human.

Reviews using NB100-1137:
Filter by Applications
WB
(2)
ChIP
(1)
ICC
(2)
IP
(1)
All Applications
Filter by Species
Human
(6)
All Species
Images Ratings Applications Species Date Details
Western Blot SETDB2 NB100-1137
Enlarge
4
reviewed by:
Verified Customer
WB Human 07/18/2018
View

Summary

ApplicationWestern Blot
Sample TestedTHP1 cell line
SpeciesHuman
LotS3G2N16/04/2013
Chromatin Immunoprecipitation SETDB2 NB100-1137
Enlarge
3
reviewed by:
Verified Customer
ChIP Human 06/22/2018
View

Summary

ApplicationChromatin Immunoprecipitation
Sample TestedB cells
SpeciesHuman
LotS3G2N16/04/2013
Immunocytochemistry SETDB2 NB100-1137
Enlarge
4
reviewed by:
Verified Customer
ICC Human 06/18/2018
View

Summary

ApplicationImmunocytochemistry
Sample TestedHuman Dermal Microvascular Endothelial cells
SpeciesHuman
LotS3G2N16/04/2013
Immunoprecipitation SETDB2 NB100-1137
Enlarge
4
reviewed by:
Verified Customer
IP Human 05/16/2018
View

Summary

ApplicationImmunoprecipitation
Sample TestedRL human non-Hodgkin's lymphoma B cell line
SpeciesHuman
LotS3G2N16/04/2013
Western Blot SETDB2 NB100-1137
Enlarge
4
reviewed by:
Verified Customer
WB Human 01/04/2018
View

Summary

ApplicationWestern Blot
Sample TestedRL human non-Hodgkin's lymphoma B cell line
SpeciesHuman
LotS3G2N16/04/2013
Immunocytochemistry SETDB2 NB100-1137
Enlarge
5
reviewed by:
Verified Customer
ICC Human 02/25/2016
View

Summary

ApplicationImmunocytochemistry
Sample TestedInduced pluripotent stem cells
SpeciesHuman

Product General Protocols

Find general support by application which include: protocols, troubleshooting, illustrated assays, videos and webinars.

Video Protocols

WB Video Protocol
ICC/IF Video Protocol

FAQs for SETDB2 Antibody (NB100-1137) (0)

There are no specific FAQs related to this product. Read our general customer & technical service FAQs.

Customers Who Bought This Also Bought

Contact Information

Product PDFs

Calculators

Concentration Calculator

The concentration calculator allows you to quickly calculate the volume, mass or concentration of your vial. Simply enter your mass, volume, or concentration values for your reagent and the calculator will determine the rest.

=
÷

Recent Reviews

4
5
1
4
4
3
1
2
0
1
0

Verified Customer
07/18/2018
Application: WB
Species: Human

Verified Customer
06/22/2018
Application: ChIP
Species: Human

Verified Customer
06/18/2018
Application: ICC
Species: Human

Bioinformatics

Gene Symbol SETDB2
Entrez
Uniprot