SERCA2 ATPase Antibody (JM10-20)

Images

 
Immunocytochemistry/ Immunofluorescence: SERCA2 ATPase Antibody (JM10-20) [NBP2-67133] - Staining SERCA2 in MCF-7 cells (red). The nuclear counter stain is DAPI (blue). Cells were fixed in paraformaldehyde, ...read more
Immunohistochemistry-Paraffin: SERCA2 ATPase Antibody (JM10-20) [NBP2-67133] - Analysis of paraffin-embedded mouse skin tissue using anti-SERCA2 antibody. Counter stained with hematoxylin.
Flow Cytometry: SERCA2 ATPase Antibody (JM10-20) [NBP2-67133] - Flow cytometric analysis of SERCA2 ATPase was done on Hela cells. The cells were fixed, permeabilized and stained with the primary antibody (1/50) (red). ...read more
Immunocytochemistry/ Immunofluorescence: SERCA2 ATPase Antibody (JM10-20) [NBP2-67133] - Staining SERCA2 in A549 cells (red). The nuclear counter stain is DAPI (blue). Cells were fixed in paraformaldehyde, permeabilised ...read more
Immunocytochemistry/ Immunofluorescence: SERCA2 ATPase Antibody (JM10-20) [NBP2-67133] - Staining SERCA2 in Hela cells (red). The nuclear counter stain is DAPI (blue). Cells were fixed in paraformaldehyde, permeabilised ...read more
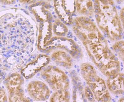
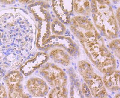
Immunohistochemistry-Paraffin: SERCA2 ATPase Antibody (JM10-20) [NBP2-67133] - Analysis of paraffin-embedded human kidney tissue using anti-SERCA2 antibody. Counter stained with hematoxylin.
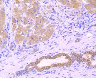
Immunohistochemistry-Paraffin: SERCA2 ATPase Antibody (JM10-20) [NBP2-67133] - Analysis of paraffin-embedded human liver cancer tissue using anti-SERCA2 antibody. Counter stained with hematoxylin.
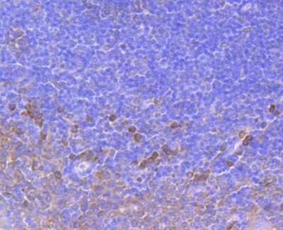
Immunohistochemistry-Paraffin: SERCA2 ATPase Antibody (JM10-20) [NBP2-67133] - Analysis of paraffin-embedded human tonsil tissue using anti-SERCA2 antibody. Counter stained with hematoxylin.
Immunohistochemistry-Paraffin: SERCA2 ATPase Antibody (JM10-20) [NBP2-67133] - Analysis of paraffin-embedded mouse heart tissue using anti-SERCA2 antibody. Counter stained with hematoxylin.
Immunohistochemistry-Paraffin: SERCA2 ATPase Antibody (JM10-20) [NBP2-67133] - Analysis of paraffin-embedded mouse kidney tissue using anti-SERCA2 antibody. Counter stained with hematoxylin.
Immunohistochemistry-Paraffin: SERCA2 ATPase Antibody (JM10-20) [NBP2-67133] - Analysis of paraffin-embedded mouse skeletal muscle tissue using anti-SERCA2 antibody. Counter stained with hematoxylin.

Product Details

Summary
Product Discontinued
View other related SERCA2 ATPase Primary Antibodies

Order Details


    • Catalog Number
      NBP2-67133
    • Availability
      Product Discontinued

    Can't find what you are looking for? Use our Antibody Concierge Service & we will help you locate your antibody!

    Or feel free to contact us for alternative products.

SERCA2 ATPase Antibody (JM10-20) Summary

Additional Information
Recombinant Monoclonal Antibody.
Immunogen
Synthetic peptide within Human SERCA2 ATPase aa 999-1,042 / 1,042. (SwissProt: P16615 Human; SwissProt: O55143 Mouse; SwissProt: P11507 Rat)
Localization
Endoplasmic reticulum membrane, Sarcoplasmic reticulum membrane.
Isotype
IgG
Clonality
Monoclonal
Host
Rabbit
Gene
ATP2A2
Purity
Protein A purified
Innovator's Reward
Test in a species/application not listed above to receive a full credit towards a future purchase.

Applications/Dilutions

Dilutions
  • Flow Cytometry 1:50-1:100
  • Immunocytochemistry/ Immunofluorescence 1:50-1:200
  • Immunohistochemistry
  • Immunohistochemistry-Paraffin 1:50-1:200
  • Western Blot 1:500

Packaging, Storage & Formulations

Storage
Store at 4C short term. Aliquot and store at -20C long term. Avoid freeze-thaw cycles.
Buffer
TBS (pH7.4), 0.05% BSA, 40% Glycerol
Preservative
0.05% Sodium Azide
Concentration
1 mg/ml
Purity
Protein A purified

Alternate Names for SERCA2 ATPase Antibody (JM10-20)

  • ATP2A2
  • ATP2B
  • ATP2BFLJ20293
  • ATPase, Ca++ dependent, slow-twitch, cardiac muscle-2
  • ATPase, Ca++ transporting, cardiac muscle, slow twitch 2
  • Calcium pump 2
  • Calcium-transporting ATPase sarcoplasmic reticulum type, slow twitch skeletalmuscle isoform
  • cardiac Ca2+ ATPase
  • DAR
  • DD
  • EC 3.6.3
  • EC 3.6.3.8
  • Endoplasmic reticulum class 1/2 Ca(2+) ATPase
  • FLJ38063
  • MGC45367
  • sarcoplasmic/endoplasmic reticulum calcium ATPase 2
  • SERCA2 ATPase
  • SERCA2
  • SERCA2DKFZp686P0211
  • SR Ca(2+)-ATPase 2

Background

Sarcoplasmic/endoplasmic reticulum Calcium-ATPase 2 (SERCA2) is a magnesium-dependent pump that catalyzes the hydrolysis of ATP and translocates calcium from the cytosol to the sarcoplasmic reticulum lumen. There are 2 SERCA2 isoforms that differ in the 3' UTR. The SERCA2A isoform is highly expressed in heart and slow twitch skeletal muscle and is important to the regulation of the contraction and relaxation cycle, while the SERCA2B isoform is expressed in smooth muscle and adult epidermis. SERCA2 is also known as ATP2A2, ATP2B, DAR, DD, and MGC45367.

Limitations

This product is for research use only and is not approved for use in humans or in clinical diagnosis. Primary Antibodies are guaranteed for 1 year from date of receipt.

Customers Who Viewed This Item Also Viewed...

AF1513
Species: Mu
Applications: CyTOF-ready, Flow, IHC, IP, Simple Western, WB
AF4377
Species: Hu, Mu
Applications: ICC, Simple Western, WB
H00342184-M07
Species: Hu
Applications: ELISA, ICC/IF, WB
AF6989
Species: Mu
Applications: IHC
NBP1-30027
Species: Hu, Mu, Rt
Applications: ICC/IF, IHC,  IHC-P, WB
NBP2-19807
Species: Hu, Mu, Po, Rt
Applications: ICC/IF, IHC,  IHC-P, WB
664-LI
Species: Hu
Applications: BA
MAB5745
Species: Hu
Applications: IHC, WB
NBP1-86125
Species: Hu
Applications: IHC,  IHC-P
H00000487-M01
Species: Hu
Applications: ELISA, ICC/IF, IHC,  IHC-P, S-ELISA, WB
NBP2-49409
Species: Hu
Applications: IHC,  IHC-P
NBP1-58268
Species: Hu, Mu
Applications: IHC,  IHC-P, WB
NBP2-94035
Species: Hu, Mu, Rt
Applications: ChIP, ELISA, ICC/IF, IHC,  IHC-P, WB
NBP1-89200
Species: Hu, Mu
Applications: IHC,  IHC-P, Simple Western, WB
MAB1417
Species: Bv, Hu, Mu
Applications: ICC, IHC
NBP1-19773
Species: Hu, Mu, Rt
Applications: ELISA, ICC/IF, IHC, IHC-Fr,  IHC-P, WB
NBP2-20383
Species: Hu, Mu
Applications: ICC/IF, IHC,  IHC-P, WB

Publications for SERCA2 ATPase Antibody (NBP2-67133) (0)

There are no publications for SERCA2 ATPase Antibody (NBP2-67133).
By submitting your publication information earn gift cards and discounts for future purchases.

Reviews for SERCA2 ATPase Antibody (NBP2-67133) (0)

There are no reviews for SERCA2 ATPase Antibody (NBP2-67133). By submitting a review you will receive an Amazon e-Gift Card or Novus Product Discount.
  • Review with no image -- $10/€7/£6/$10 CAD/¥70 Yuan/¥1110 Yen
  • Review with an image -- $25/€18/£15/$25 CAD/¥150 Yuan/¥2500 Yen

Product General Protocols

Find general support by application which include: protocols, troubleshooting, illustrated assays, videos and webinars.

Video Protocols

WB Video Protocol
ICC/IF Video Protocol

FAQs for SERCA2 ATPase Antibody (NBP2-67133) (0)

There are no specific FAQs related to this product. Read our general customer & technical service FAQs.

Secondary Antibodies

 

Isotype Controls

Additional SERCA2 ATPase Products

Research Areas for SERCA2 ATPase Antibody (NBP2-67133)

Find related products by research area.

Blogs on SERCA2 ATPase.

Mending a Broken Heart: New SERCA2 Gene Therapy Fights Heart Disease
While many of the proteins on our antibody database are studied in relation to their expression in diseases; others become therapies in their own right. This is the case with SERCA2 (Sarcoplasmic reticulum Calcium-ATPase 2 pump), which recently hit th...  Read full blog post.

Contact Information

Product PDFs

Calculators

Concentration Calculator

The concentration calculator allows you to quickly calculate the volume, mass or concentration of your vial. Simply enter your mass, volume, or concentration values for your reagent and the calculator will determine the rest.

=
÷

Review this Product

Be the first to review our SERCA2 ATPase Antibody (JM10-20) and receive a gift card or discount.

Bioinformatics

Gene Symbol ATP2A2