SEC23A Antibody (JU37-48) Summary
| Additional Information |
Recombinant Monoclonal Antibody. |
| Immunogen |
Recombinant protein within Human SEC23A aa 280-420 / 765. (SwissProt: Q15436 Human; SwissProt: Q01405 Mouse) |
| Localization |
Cytosol. Endoplasmic reticulum. |
| Isotype |
IgG |
| Clonality |
Monoclonal |
| Host |
Rabbit |
| Gene |
SEC23A |
| Purity |
Protein A purified |
| Innovator's Reward |
Test in a species/application not listed above to receive a full credit towards a future purchase. |
Applications/Dilutions
| Dilutions |
- Flow Cytometry 1:50-1:100
- Immunocytochemistry/ Immunofluorescence 1:50-1:200
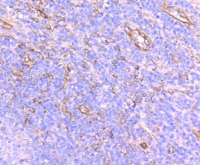
- Immunohistochemistry
- Immunohistochemistry-Paraffin 1:50-1:200
- Western Blot 1:500-1:1000
|
| Theoretical MW |
86 kDa. Disclaimer note: The observed molecular weight of the protein may vary from the listed predicted molecular weight due to post translational modifications, post translation cleavages, relative charges, and other experimental factors. |
Packaging, Storage & Formulations
| Storage |
Store at 4C short term. Aliquot and store at -20C long term. Avoid freeze-thaw cycles. |
| Buffer |
TBS (pH7.4), 0.05% BSA, 40% Glycerol |
| Preservative |
0.05% Sodium Azide |
| Concentration |
1 mg/ml |
| Purity |
Protein A purified |
Alternate Names for SEC23A Antibody (JU37-48)
Background
SEC23A is encoded by this gene is a member of the SEC23 subfamily of the SEC23/SEC24 family. It is part of a protein complex and found in the ribosome-free transitional face of the endoplasmic reticulum (ER) and associated vesicles. This protein has similarity to yeast Sec23p component of COPII. COPII is the coat protein complex responsible for vesicle budding from the ER. The encoded protein is suggested to play a role in the ER-Golgi protein trafficking. [provided by RefSeq]
Limitations
This product is for research use only and is not approved for use in humans or in clinical diagnosis. Primary Antibodies are
guaranteed for 1 year from date of receipt.
Customers Who Viewed This Item Also Viewed...
Species: Hu
Applications: IHC, IHC-P, KD, WB
Species: Hu
Applications: ICC/IF, IHC, IHC-P
Species: Hu
Applications: ELISA, ICC/IF, IHC, IHC-P, KD, S-ELISA, WB
Species: Hu, Mu, Rt
Applications: ICC/IF, IHC, IHC-P, WB
Species: Hu
Applications: ICC/IF, IHC, IHC-P, IP, WB
Species: Hu
Applications: IHC, IHC-P, WB
Species: Hu
Applications: ICC/IF, IHC, IHC-P
Species: Hu
Applications: ICC/IF, IHC, IHC-P, WB
Species: Hu
Applications: ICC/IF, IHC, IHC-P
Species: Hu, Mu, Rt
Applications: ICC/IF, IHC, IHC-P, WB
Species: Hu, Mu, Pm, Rt
Applications: ICC/IF, IP, WB
Species: Hu, Mu
Applications: ICC/IF, IHC, IHC-P, WB
Species: Ba, Hu, Pm, Mu, Rt
Applications: DB, ELISA, IB, ICC/IF, IHC-FrFl, IHC, IHC-Fr, IHC-P, IP, WB
Species: Hu
Applications: ChIP-EXO-SEQ, IHC, IHC-P
Species: Hu, Mu, Pl, Po, Rb, Rt
Applications: ChIP, CyTOF-ready, Flow-IC, Flow, IB, ICC/IF, IHC, IHC-Fr, IHC-P, IP, KO, Simple Western, WB
Species: Ca, ChHa, Hu, Mu
Applications: ICC/IF, IHC, IHC-P, WB
Publications for SEC23A Antibody (NBP2-75428) (0)
There are no publications for SEC23A Antibody (NBP2-75428).
By submitting your publication information earn gift cards and discounts for future purchases.
Reviews for SEC23A Antibody (NBP2-75428) (0)
There are no reviews for SEC23A Antibody (NBP2-75428).
By submitting a review you will receive an Amazon e-Gift Card or Novus Product Discount.
- Review with no image -- $10/€7/£6/$10 CAD/¥70 Yuan/¥1110 Yen
- Review with an image -- $25/€18/£15/$25 CAD/¥150 Yuan/¥2500 Yen
Product General Protocols
Find general support by application which include: protocols, troubleshooting, illustrated assays, videos and webinars.
Video Protocols
FAQs for SEC23A Antibody (NBP2-75428) (0)
Secondary Antibodies
| |
Isotype Controls
|
Additional SEC23A Products
Blogs on SEC23A