S100G Antibody (S100G/7461) - Azide and BSA Free

Images

 
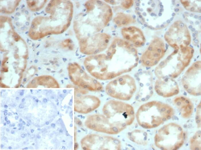
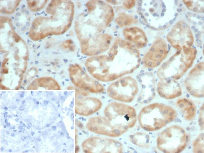
Formalin-fixed, paraffin-embedded human kidney stained with S100G antibody (S100G/7461) - Azide and BSA Free. Inset: PBS instead of primary antibody; secondary only negative control.

Product Details

Summary
Reactivity HuSpecies Glossary
Applications IHC
Clone
S100G/7461
Clonality
Monoclonal
Host
Mouse
Conjugate
Unconjugated
Format
Azide and BSA Free
Concentration
1 mg/ml

Order Details

S100G Antibody (S100G/7461) - Azide and BSA Free Summary

Description
Antibody without azide - store at -20 to -80C.
Immunogen
Recombinant fragment (around aa1-79) of human S100G protein (exact sequence is proprietary)
Localization
Cytoplasm.
Isotype
IgG2 Kappa
Clonality
Monoclonal
Host
Mouse
Gene
S100G
Purity
Protein A or G purified
Innovator's Reward
Test in a species/application not listed above to receive a full credit towards a future purchase.

Applications/Dilutions

Dilutions
  • Immunohistochemistry-Paraffin 1-2ug/ml
Application Notes
Immunohistochemistry-Paraffin: 1-2ug/ml for 30 minutes at RT. Staining of formalin-fixed tissues requires heating tissue sections in 10mM Tris with 1mM EDTA, pH 9.0, for 45 min at 95C followed by cooling at RT for 20 minutes. Optimal dilution for a specific application should be determined.

Packaging, Storage & Formulations

Storage
Store at -20 to -80C. Avoid freeze-thaw cycles.
Buffer
10mM PBS
Preservative
No Preservative
Concentration
1 mg/ml
Purity
Protein A or G purified

Alternate Names for S100G Antibody (S100G/7461) - Azide and BSA Free

  • CABP
  • CABP1
  • CaBP9K
  • CABP9KMGC138379
  • CALB3calbindin D9K
  • calbindin 3, (vitamin D-dependent calcium-binding protein)
  • calbindin-D9K
  • protein S100-G
  • S100 calcium binding protein G
  • S100 calcium-binding protein G
  • S100D
  • Vitamin D-dependent calcium-binding protein, intestinal

Background

The S100G gene encodes calbindin D9K, a vitamin D-dependent calcium-binding protein. This cytosolic protein belongs to a family of calcium-binding proteins that includes calmodulin, parvalbumin, troponin C, and S100 protein. In the intestine, the protein is vi

Limitations

This product is for research use only and is not approved for use in humans or in clinical diagnosis. Primary Antibodies are guaranteed for 1 year from date of receipt.

Customers Who Viewed This Item Also Viewed...

NBP2-50028
Species: Bv, Hu, Mu, Rt
Applications: ICC/IF, IHC-FrFl, IHC,  IHC-P, WB
NBP2-14871
Species: Mu, Rt
Applications: ICC/IF, WB
NB120-2860
Species: Ba, Bv, Ch, Hu, Mu, Rt
Applications: ELISA, Flow, ICC/IF, IHC,  IHC-P, WB
NBP2-15669
Species: Mu, Rt, Ze
Applications: IHC-WhMt, IHC, WB
NBP3-33063
Species: Hu, Mu, Rt
Applications: Flow, ICC/IF, IHC,  IHC-P, WB
H00001594-Q01
Species: Hu
Applications: ELISA, AP, PA, WB
NBP2-66778
Species: Hu, Mu, Rt
Applications: Flow, IHC,  IHC-P, WB
NBP1-89522
Species: Hu, Mu, Rt
Applications: ICC/IF, IHC,  IHC-P, WB
NB100-93520
Species: Hu
Applications: PEP-ELISA, WB
NB300-560
Species: Av, Bv, Ma, Hu, Mu, Pm, Rt
Applications: IF, IHC, IHC-Fr,  IHC-P, WB
MAB7665
Species: Hu
Applications: IHC, WB
NBP1-87102
Species: Hu, Mu, Rt
Applications: ICC/IF, IHC,  IHC-P, WB
NBP1-85495
Species: Hu
Applications: ICC/IF, IHC,  IHC-P, WB
AF5415
Species: Hu
Applications: ICC, IHC, Simple Western, WB
NB300-578
Species: Am, Ca, Ch, Fe, Ha, Hu, Mu, Po, Pm, Rb, Rt, Sh
Applications: Flow, ICC/IF, IHC, IHC-Fr,  IHC-P, IP, WB
MAB1419
Species: Hu, Rt
Applications: CyTOF-ready, ICC, IHC, ICFlow
NBP1-87103
Species: Hu, Mu
Applications: IHC,  IHC-P, WB
NBP2-94316
Species: Hu, Mu, Rt
Applications: IHC,  IHC-P, WB
NBP1-32870
Species: Ch, Hu
Applications: IHC,  IHC-P, IP, KD, WB
NBP3-24024
Species: Hu
Applications: IHC

Publications for S100G Antibody (NBP3-24024) (0)

There are no publications for S100G Antibody (NBP3-24024).
By submitting your publication information earn gift cards and discounts for future purchases.

Reviews for S100G Antibody (NBP3-24024) (0)

There are no reviews for S100G Antibody (NBP3-24024). By submitting a review you will receive an Amazon e-Gift Card or Novus Product Discount.
  • Review with no image -- $10/€7/£6/$10 CAD/¥70 Yuan/¥1110 Yen
  • Review with an image -- $25/€18/£15/$25 CAD/¥150 Yuan/¥2500 Yen

Product General Protocols

Find general support by application which include: protocols, troubleshooting, illustrated assays, videos and webinars.

FAQs for S100G Antibody (NBP3-24024) (0)

There are no specific FAQs related to this product. Read our general customer & technical service FAQs.

Customers Who Bought This Also Bought

Contact Information

Product PDFs

Calculators

Concentration Calculator

The concentration calculator allows you to quickly calculate the volume, mass or concentration of your vial. Simply enter your mass, volume, or concentration values for your reagent and the calculator will determine the rest.

=
÷

Review this Product

Be the first to review our S100G Antibody (S100G/7461) - Azide and BSA Free and receive a gift card or discount.

Bioinformatics

Gene Symbol S100G