RTN3 Antibody (10A8)

Images

 
Immunohistochemistry-Paraffin: RTN3 Antibody (10A8) [NBP1-47353] - Immunohistochemical analysis of paraffin-embedded human Liver tissues using RTN3 mouse mAb
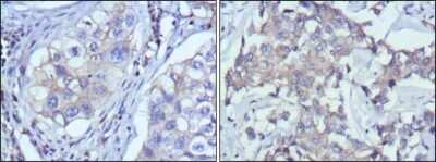
Immunohistochemistry: RTN3 Antibody (10A8) [NBP1-47353] - Immunohistochemical analysis of paraffin-embedded human lung cancer (left) and breast cancer (right) using anti-RTN3 antibody with DAB staining.

Product Details

Summary
Product Discontinued
View other related RTN3 Primary Antibodies

Order Details


    • Catalog Number
      NBP1-47353
    • Availability
      Product Discontinued

    Can't find what you are looking for? Use our Antibody Concierge Service & we will help you locate your antibody!

    Or feel free to contact us for alternative products.

RTN3 Antibody (10A8) Summary

Immunogen
Purified recombinant fragment of RTN3 expressed in E. Coli.
Isotype
IgG2a
Clonality
Monoclonal
Host
Mouse
Gene
RTN3
Purity
Unpurified
Innovator's Reward
Test in a species/application not listed above to receive a full credit towards a future purchase.

Applications/Dilutions

Dilutions
  • ELISA 1:10000
  • Immunohistochemistry 1:10-1:500
  • Immunohistochemistry-Paraffin 1:200-1000
Theoretical MW
113 kDa.
Disclaimer note: The observed molecular weight of the protein may vary from the listed predicted molecular weight due to post translational modifications, post translation cleavages, relative charges, and other experimental factors.

Reactivity Notes

Human

Packaging, Storage & Formulations

Storage
Store at 4C short term. Aliquot and store at -20C long term. Avoid freeze-thaw cycles.
Buffer
Ascites
Preservative
0.03% Sodium Azide
Purity
Unpurified

Alternate Names for RTN3 Antibody (10A8)

  • ASYIPASY interacting protein
  • HAP
  • isoforme III
  • isoforme VI
  • Neuroendocrine-specific protein-like 2
  • Neuroendocrine-specific protein-like II
  • NSPL2NSP-like protein II
  • NSPLIIhomolog of ASY protein
  • NSP-like protein 2
  • reticulon 3
  • reticulon-3
  • RTN3-A1

Background

The reticulons are a group of highly conserved genes with preferential expression in neuroendocrine tissues (see, e.g., RTN1; MIM 600865).[supplied by OMIM]

Limitations

This product is for research use only and is not approved for use in humans or in clinical diagnosis. Primary Antibodies are guaranteed for 1 year from date of receipt.

Customers Who Viewed This Item Also Viewed...

NB100-56681
Species: Hu, Mu, Rb, Rt, Sh
Applications: ELISA, ICC/IF, IHC,  IHC-P, Simple Western, WB
NB110-74569
Species: Hu, Mu, Rt
Applications: Flow, ICC/IF, IHC, IHC-Fr,  IHC-P, IP, WB
MAB1455
Species: Hu
Applications: CyTOF-ready, Dual ISH-IHC, ICC, IHC, ICFlow, Simple Western, WB
NBP2-47525
Species: Hu
Applications: IHC,  IHC-P, WB
H00006690-M01
Species: Hu, Mu
Applications: ELISA, ICC/IF, IHC, IHC-Fr,  IHC-P, IP, WB
NBP2-19533
Species: Hu, Mu, Rt
Applications: ICC/IF, IHC,  IHC-P, WB
H00000053-M01
Species: Hu
Applications: ELISA, ICC/IF, IHC,  IHC-P, KD, WB
NBP1-86658
Species: Hu, Mu, Rt
Applications: IHC,  IHC-P, Simple Western, WB
NBP1-04266
Species: Hu
Applications: ELISA, ICC/IF, WB
H00055835-M02
Species: Hu
Applications: ELISA, IP, S-ELISA, WB
7754-BH/CF
Species: Hu
Applications: BA
NBP1-82847
Species: Hu
Applications: ICC/IF, IHC,  IHC-P, WB
NBP2-13075
Species: Ba, Hu, Pm, Mu, Rt
Applications: DB, ELISA, IB, ICC/IF, IHC-FrFl, IHC, IHC-Fr,  IHC-P, IP, WB
NBP2-19535
Species: Hu, Mu, Rt, Ze
Applications: ChIP, ICC/IF, IHC,  IHC-P, IP, WB
NBP1-92450
Species: Hu
Applications: IHC,  IHC-P
396-HB
Species: Hu
Applications: BA
NB100-116
Species: Hu, Mu, Pm, Rt
Applications: ChIP, ELISA, GS, IB, ICC/IF, IHC, IHC-Fr,  IHC-P, IP, KD, PLA, Simple Western, WB
NBL1-14964
Species: Hu
Applications: WB
NBP1-47353
Species: Hu
Applications: ELISA, IHC

Publications for RTN3 Antibody (NBP1-47353) (0)

There are no publications for RTN3 Antibody (NBP1-47353).
By submitting your publication information earn gift cards and discounts for future purchases.

Reviews for RTN3 Antibody (NBP1-47353) (0)

There are no reviews for RTN3 Antibody (NBP1-47353). By submitting a review you will receive an Amazon e-Gift Card or Novus Product Discount.
  • Review with no image -- $10/€7/£6/$10 CAD/¥70 Yuan/¥1110 Yen
  • Review with an image -- $25/€18/£15/$25 CAD/¥150 Yuan/¥2500 Yen

Product General Protocols

Find general support by application which include: protocols, troubleshooting, illustrated assays, videos and webinars.

FAQs for RTN3 Antibody (NBP1-47353) (0)

There are no specific FAQs related to this product. Read our general customer & technical service FAQs.

Contact Information

Product PDFs

Calculators

Concentration Calculator

The concentration calculator allows you to quickly calculate the volume, mass or concentration of your vial. Simply enter your mass, volume, or concentration values for your reagent and the calculator will determine the rest.

=
÷

Review this Product

Be the first to review our RTN3 Antibody (10A8) and receive a gift card or discount.

Bioinformatics

Gene Symbol RTN3