RSK1 Antibody (JE48-76)

Images

 
Western Blot: RSK1 Antibody (JE48-76) [NBP2-80423] - Analysis of RSK1 on Daudi cell lysate. Proteins were transferred to a PVDF membrane and blocked with 5% BSA in PBS for 1 hour at room temperature. The primary ...read more
Immunocytochemistry/ Immunofluorescence: RSK1 Antibody (JE48-76) [NBP2-80423] - Staining of RSK1 p90 in Hela cells (green). Formalin fixed cells were permeabilized with 0.1% Triton X-100 in TBS for 10 minutes at room ...read more
Immunohistochemistry-Paraffin: RSK1 Antibody (JE48-76) [NBP2-80423] - Analysis in mouse colon tissue using RSK1 antibody. The section was pre-treated using heat mediated antigen retrieval with sodium citrate buffer (pH ...read more
Flow Cytometry: RSK1 Antibody (JE48-76) [NBP2-80423] - Analysis of RSK1 p90 was done on F9 cells. The cells were fixed, permeabilized and stained with the primary antibody (1/50) (red). After incubation of the primary ...read more
Immunohistochemistry-Paraffin: RSK1 Antibody (JE48-76) [NBP2-80423] - Analysis in rat testis tissue using RSK1 antibody. The section was pre-treated using heat mediated antigen retrieval with sodium citrate buffer (pH ...read more
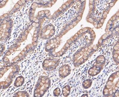
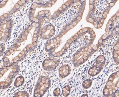
Immunohistochemistry-Paraffin: RSK1 Antibody (JE48-76) [NBP2-80423] - Analysis in human appendix tissue using RSK1 antibody. The section was pre-treated using heat mediated antigen retrieval with sodium citrate buffer ...read more
Immunohistochemistry-Paraffin: RSK1 Antibody (JE48-76) [NBP2-80423] - Analysis in human prostate cancer tissue using RSK1 antibody. The section was pre-treated using heat mediated antigen retrieval with sodium citrate ...read more
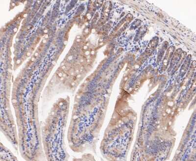
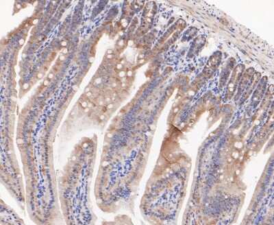
Immunohistochemistry-Paraffin: RSK1 Antibody (JE48-76) [NBP2-80423] - Analysis in human small intestine tissue using RSK1 antibody. The section was pre-treated using heat mediated antigen retrieval with sodium citrate ...read more

Product Details

Summary
Product Discontinued
View other related RSK1 Primary Antibodies

Order Details


    • Catalog Number
      NBP2-80423
    • Availability
      Product Discontinued

    Can't find what you are looking for? Use our Antibody Concierge Service & we will help you locate your antibody!

    Or feel free to contact us for alternative products.

RSK1 Antibody (JE48-76) Summary

Additional Information
Recombinant Monoclonal Antibody
Immunogen
Recombinant protein within Human RSK1 aa 1-107 / 735. (SwissProt: Q15418 Human; SwissProt: P18653 Mouse; SwissProt: Q63531 Rat)
Localization
Cytoplasm. Nucleus.
Isotype
IgG
Clonality
Monoclonal
Host
Rabbit
Gene
RPS6KA1
Purity
Immunogen affinity purified
Innovator's Reward
Test in a species/application not listed above to receive a full credit towards a future purchase.

Applications/Dilutions

Dilutions
  • Flow Cytometry 1:50-1:100
  • Immunocytochemistry/ Immunofluorescence
  • Immunohistochemistry
  • Immunohistochemistry-Paraffin 1:50-1:200
  • Western Blot 1:500-1:2000
Theoretical MW
83 kDa.
Disclaimer note: The observed molecular weight of the protein may vary from the listed predicted molecular weight due to post translational modifications, post translation cleavages, relative charges, and other experimental factors.

Packaging, Storage & Formulations

Storage
Store at 4C short term. Aliquot and store at -20C long term. Avoid freeze-thaw cycles.
Buffer
TBS (pH7.4), 0.05% BSA, 40% Glycerol
Preservative
0.05% Sodium Azide
Concentration
1 mg/ml
Purity
Immunogen affinity purified

Alternate Names for RSK1 Antibody (JE48-76)

  • 90kD, polypeptide 1)
  • EC 2.7.11
  • EC 2.7.11.1,90 kDa ribosomal protein S6 kinase 1
  • HU-1
  • MAP kinase-activated protein kinase 1a
  • MAPK-activated protein kinase 1a
  • MAPKAP kinase 1a
  • MAPKAPK-1a
  • MAPKAPL1A
  • p90RSK1
  • p90S6K
  • ribosomal protein S6 kinase alpha 1
  • ribosomal protein S6 kinase alpha-1
  • ribosomal protein S6 kinase, 90kD, polypeptide 1
  • ribosomal protein S6 kinase, 90kDa, polypeptide 1
  • Ribosomal S6 kinase 1
  • RPS6KA1
  • RSK
  • RSK1
  • RSK-1
  • RSK1p90-RSK 1
  • S6K-alpha 1
  • S6K-alpha-1

Background

Rsk-1 (p90-Rsk-1) is a member of a family of 90 kDa ribosomal protein S6 kinases, which includes Rsk-1, Rsk-2 and Rsk-3. These are broadly expressed serine/threonine protein kinases (1) activated in response to mitogenic stimuli, including extracellular signal-regulated protein kinases Erk1 and Erk2 (2). p90-Rsk-1 is activated by MAPK in vitro and in vivo via phosphorylation (3). Active Rsks appear to play a major role in transcriptional regulation by translocating to the nucleus and phosphorylating c-Fos and CREB (2,4).

Limitations

This product is for research use only and is not approved for use in humans or in clinical diagnosis. Primary Antibodies are guaranteed for 1 year from date of receipt.

Customers Who Viewed This Item Also Viewed...

AF3918
Species: Hu, Mu, Rt
Applications: IHC, Simple Western, WB
NBP1-87799
Species: Hu, Mu, Rt
Applications: ICC/IF, IHC,  IHC-P, WB
AF1230
Species: Hu, Mu, Rt
Applications: IHC, KO, WB
DYC1825-2
Species: Hu, Mu, Rt
Applications: ELISA
AF467
Species: Hu, Mu
Applications: CyTOF-ready, Flow, ICC, IHC, Simple Western, WB
NB200-585
Species: Mu, Rt
Applications: CyTOF-ready, Flow-IC, Flow, ICC/IF, IHC, IHC-Fr,  IHC-P, WB
NB100-1965
Species: Av, Bv, Ch, Dr, Gp, Hu, Mu, Po, Rb, Rt, Sh, Xp, Ze
Applications: Flow, ICC/IF, IHC,  IHC-P, IP, Simple Western, WB
NBP1-85085
Species: Hu
Applications: ICC/IF, IHC, IHC-Fr,  IHC-P
NB600-607
Species: Hu, Rt
Applications: ELISA, IHC,  IHC-P, WB
AF8962
Species: Hu
Applications: CyTOF-ready, IHC, ICFlow, Simple Western, WB
AF887
Species: Hu, Mu, Rt
Applications: CyTOF-ready, IHC, ICFlow, Simple Western, WB
NBP2-20237
Species: Hu, Mu, Rt
Applications: IHC,  IHC-P, WB
236-EG
Species: Hu
Applications: BA
NBP1-47833
Species: Hu, Mu, Rt
Applications: ICC/IF, IHC,  IHC-P, WB
AF1347
Species: Hu, Mu, Rt
Applications: ICC, IHC, Simple Western, WB
NBP2-13304
Species: Hu
Applications: ICC/IF, IHC,  IHC-P, WB
DYC2510-2
Species: Hu, Mu, Rt
Applications: ELISA
NBP2-80423
Species: Hu, Mu, Rt
Applications: WB, Flow, ICC/IF, IHC

Publications for RSK1 Antibody (NBP2-80423) (0)

There are no publications for RSK1 Antibody (NBP2-80423).
By submitting your publication information earn gift cards and discounts for future purchases.

Reviews for RSK1 Antibody (NBP2-80423) (0)

There are no reviews for RSK1 Antibody (NBP2-80423). By submitting a review you will receive an Amazon e-Gift Card or Novus Product Discount.
  • Review with no image -- $10/€7/£6/$10 CAD/¥70 Yuan/¥1110 Yen
  • Review with an image -- $25/€18/£15/$25 CAD/¥150 Yuan/¥2500 Yen

Product General Protocols

Find general support by application which include: protocols, troubleshooting, illustrated assays, videos and webinars.

Video Protocols

WB Video Protocol
ICC/IF Video Protocol

FAQs for RSK1 Antibody (NBP2-80423) (0)

There are no specific FAQs related to this product. Read our general customer & technical service FAQs.

Contact Information

Product PDFs

Calculators

Concentration Calculator

The concentration calculator allows you to quickly calculate the volume, mass or concentration of your vial. Simply enter your mass, volume, or concentration values for your reagent and the calculator will determine the rest.

=
÷

Review this Product

Be the first to review our RSK1 Antibody (JE48-76) and receive a gift card or discount.

Bioinformatics

Gene Symbol RPS6KA1