RPS6KC1 Antibody (OTI10F11) - Azide and BSA Free

Images

 
Western Blot: RPS6KC1 Antibody (OTI10F11) - Azide and BSA Free [NBP2-73946] - HEK293T cells were transfected with the pCMV6-ENTRY control (Left lane) or pCMV6-ENTRY RPS6KC1 (Right lane) cDNA for 48 hrs and lysed. ...read more
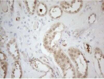
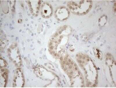
Immunohistochemistry: RPS6KC1 Antibody (OTI10F11) - Azide and BSA Free [NBP2-73946] - Staining of paraffin-embedded Human Kidney tissue using anti-RPS6KC1 mouse monoclonal antibody.

Product Details

Summary
Reactivity HuSpecies Glossary
Applications WB, IHC
Clone
OTI10F11
Clonality
Monoclonal
Host
Mouse
Conjugate
Unconjugated
Format
Azide and BSA Free
Concentration
LYOPH

Order Details

RPS6KC1 Antibody (OTI10F11) - Azide and BSA Free Summary

Description
Novus Biologicals Mouse RPS6KC1 Antibody (OTI10F11) - Azide and BSA Free (NBP2-45635) is a monoclonal antibody validated for use in IHC and WB. All Novus Biologicals antibodies are covered by our 100% guarantee.
Immunogen
Human recombinant protein fragment corresponding to amino acids 1-305 of human RPS6KC1(NP_036556) produced in E.coli.
Isotype
IgG1
Clonality
Monoclonal
Host
Mouse
Gene
RPS6KC1
Purity
Immunogen affinity purified
Innovator's Reward
Test in a species/application not listed above to receive a full credit towards a future purchase.

Applications/Dilutions

Dilutions
  • Immunohistochemistry 1:150
  • Immunohistochemistry-Paraffin
  • Western Blot 1:2000
Theoretical MW
118.5 kDa.
Disclaimer note: The observed molecular weight of the protein may vary from the listed predicted molecular weight due to post translational modifications, post translation cleavages, relative charges, and other experimental factors.

Packaging, Storage & Formulations

Storage
Store at -20C. Avoid freeze-thaw cycles.
Buffer
Lyophilized from PBS (pH 7.3) with 8% Trehalose
Preservative
No Preservative
Concentration
LYOPH
Purity
Immunogen affinity purified
Reconstitution Instructions
we recommend adding 100uL distilled water to a final antibody concentration of about 1 mg/mL. To use this carrier-free antibody for conjugation experiment, we strongly recommend performing another round of desalting process.

Alternate Names for RPS6KC1 Antibody (OTI10F11) - Azide and BSA Free

  • EC 2.7.11.1
  • humS6PKh1
  • ribosomal protein S6 kinase delta-1
  • ribosomal protein S6 kinase, 52kD, polypeptide 1,52 kDa ribosomal protein S6 kinase
  • ribosomal protein S6 kinase, 52kDa, polypeptide 1
  • Ribosomal S6 kinase-like protein with two PSK domains 118 kDa protein
  • RPK118
  • S6K-delta-1
  • SPHK1-binding protein

Background

RPS6KC1 - ribosomal protein S6 kinase, 52kDa, polypeptide 1

Limitations

This product is for research use only and is not approved for use in humans or in clinical diagnosis. Primary Antibodies are guaranteed for 1 year from date of receipt.

Customers Who Viewed This Item Also Viewed...

H00008877-M01
Species: Hu
Applications: ELISA, ICC/IF, IHC,  IHC-P, WB
NBP2-19777
Species: Hu, Mu
Applications: ICC/IF, IHC,  IHC-P, KO, WB
NB100-1595
Species: Hu, Mu
Applications: IHC,  IHC-P, IP, WB
AF887
Species: Hu, Mu, Rt
Applications: CyTOF-ready, IHC, ICFlow, Simple Western, WB
NBP1-92389
Species: Hu
Applications: IHC,  IHC-P
NBP1-87799
Species: Hu, Mu, Rt
Applications: ICC/IF, IHC,  IHC-P, WB
H00006683-M02
Species: Hu
Applications: ELISA, ICC/IF, IHC,  IHC-P, WB
NBP1-47203
Species: Hu
Applications: ICC/IF, KD, PEP-ELISA, WB
NBP3-27784
Species: Hu, Mu, Rt
Applications: ICC/IF, IHC, WB
MAB3481
Species: Hu
Applications: CyTOF-ready, ELISA(Cap), ELISA(Det), ELISA(Sta), Flow, Neut
AF4838
Species: Hu
Applications: Simple Western, WB
MAB79671
Species: Hu, Mu, Rt
Applications: ICC, Simple Western, WB
NBP2-52555
Species: Hu, Mu
Applications: CyTOF-ready, ELISA, Flow, ICC/IF, IHC,  IHC-P, WB
MAB5277
Species: Hu
Applications: IHC, WB
NBP2-20237
Species: Hu, Mu, Rt
Applications: IHC,  IHC-P, WB
6179-WN
Species: Hu
Applications: BA
NBP2-14279
Species: Hu, Mu, Rt
Applications: IHC,  IHC-P, WB
338-AC
Species: Hu, Mu, Rt
Applications: BA
DGB300
Species: Hu
Applications: ELISA
NBP1-86335
Species: Hu
Applications: IHC,  IHC-P

Publications for RPS6KC1 Antibody (NBP2-73946) (0)

There are no publications for RPS6KC1 Antibody (NBP2-73946).
By submitting your publication information earn gift cards and discounts for future purchases.

Reviews for RPS6KC1 Antibody (NBP2-73946) (0)

There are no reviews for RPS6KC1 Antibody (NBP2-73946). By submitting a review you will receive an Amazon e-Gift Card or Novus Product Discount.
  • Review with no image -- $10/€7/£6/$10 CAD/¥70 Yuan/¥1110 Yen
  • Review with an image -- $25/€18/£15/$25 CAD/¥150 Yuan/¥2500 Yen

Product General Protocols

Find general support by application which include: protocols, troubleshooting, illustrated assays, videos and webinars.

Video Protocols

WB Video Protocol

FAQs for RPS6KC1 Antibody (NBP2-73946) (0)

There are no specific FAQs related to this product. Read our general customer & technical service FAQs.

Secondary Antibodies

 

Isotype Controls

Additional RPS6KC1 Products

Research Areas for RPS6KC1 Antibody (NBP2-73946)

Find related products by research area.

Blogs on RPS6KC1

There are no specific blogs for RPS6KC1, but you can read our latest blog posts.

Customers Who Bought This Also Bought

Contact Information

Product PDFs

Calculators

Concentration Calculator

The concentration calculator allows you to quickly calculate the volume, mass or concentration of your vial. Simply enter your mass, volume, or concentration values for your reagent and the calculator will determine the rest.

=
÷

Review this Product

Be the first to review our RPS6KC1 Antibody (OTI10F11) - Azide and BSA Free and receive a gift card or discount.

Bioinformatics

Gene Symbol RPS6KC1