Ribophorin II Antibody (OTI1G9) - Azide and BSA Free

Images

 
Western Blot: Ribophorin II Antibody (OTI1G9) - Azide and BSA Free [NBP2-73907] - Analysis of HEK293T cells were transfected with the pCMV6-ENTRY control (Left lane) or pCMV6-ENTRY Ribophorin II.
Immunohistochemistry: Ribophorin II Antibody (OTI1G9) - Azide and BSA Free [NBP2-73907] - Analysis of Human pancreas tissue. (Heat-induced epitope retrieval by 10mM citric buffer, pH6.0, 120C for 3min)
Immunohistochemistry: Ribophorin II Antibody (OTI1G9) - Azide and BSA Free [NBP2-73907] - Analysis of Adenocarcinoma of Human endometrium tissue. (Heat-induced epitope retrieval by 10mM citric buffer, pH6.0, 120C for ...read more
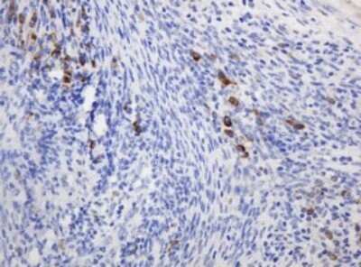
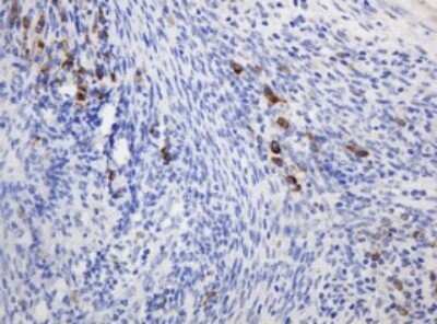
Immunohistochemistry: Ribophorin II Antibody (OTI1G9) - Azide and BSA Free [NBP2-73907] - Analysis of Carcinoma of Human lung tissue.(Heat-induced epitope retrieval by 10mM citric buffer, pH6.0, 120C for 3min)
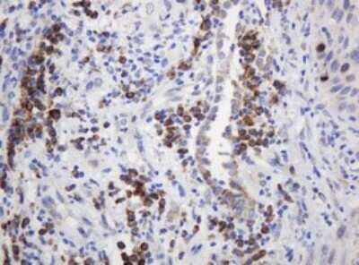
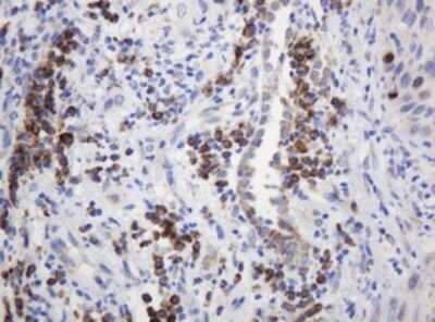
Immunohistochemistry: Ribophorin II Antibody (OTI1G9) - Azide and BSA Free [NBP2-73907] - Analysis of Human tonsil tissue. (Heat-induced epitope retrieval by 10mM citric buffer, pH6.0, 120C for 3min)

Product Details

Summary
Reactivity Hu, Mu, RtSpecies Glossary
Applications WB, IHC
Clone
OTI1G9
Clonality
Monoclonal
Host
Mouse
Conjugate
Unconjugated
Format
Azide and BSA Free
Concentration
LYOPH

Order Details

Ribophorin II Antibody (OTI1G9) - Azide and BSA Free Summary

Description
Novus Biologicals Mouse Ribophorin II Antibody (OTI1G9) - Azide and BSA Free (NBP2-45963) is a monoclonal antibody validated for use in IHC and WB. All Novus Biologicals antibodies are covered by our 100% guarantee.
Immunogen
Full length human recombinant protein of human RPN2(NP_002942) peoduced in HEK293T cell.
Isotype
IgG1
Clonality
Monoclonal
Host
Mouse
Gene
RPN2
Purity
Immunogen affinity purified
Innovator's Reward
Test in a species/application not listed above to receive a full credit towards a future purchase.

Applications/Dilutions

Dilutions
  • Immunohistochemistry 1:150
  • Immunohistochemistry-Paraffin
  • Western Blot 1:2000
Theoretical MW
67 kDa.
Disclaimer note: The observed molecular weight of the protein may vary from the listed predicted molecular weight due to post translational modifications, post translation cleavages, relative charges, and other experimental factors.

Reactivity Notes

Please note that this antibody is reactive to Mouse and derived from the same host, Mouse. Mouse-On-Mouse blocking reagent may be needed for IHC and ICC experiments to reduce high background signal. You can find these reagents under catalog numbers PK-2200-NB and MP-2400-NB. Please contact Technical Support if you have any questions.

Packaging, Storage & Formulations

Storage
Store at -20C. Avoid freeze-thaw cycles.
Buffer
Lyophilized from PBS (pH 7.3) with 8% Trehalose
Preservative
No Preservative
Concentration
LYOPH
Purity
Immunogen affinity purified
Reconstitution Instructions
we recommend adding 100uL distilled water to a final antibody concentration of about 1 mg/mL. To use this carrier-free antibody for conjugation experiment, we strongly recommend performing another round of desalting process.

Alternate Names for Ribophorin II Antibody (OTI1G9) - Azide and BSA Free

  • RIBIIREC 2.4.1.119
  • ribophorin IIDolichyl-diphosphooligosaccharide--protein glycosyltransferase 63 kDa subunit
  • ribophorin-2
  • RPNII
  • RPN-IIdolichyl-diphosphooligosaccharide--protein glycosyltransferase subunit 2
  • SWP1

Background

Ribophorin II encodes a type I integral membrane protein found only in the rough endoplasmic reticulum. The encoded protein is part of an N-oligosaccharyl transferase complex that links high mannose oligosaccharides to asparagine residues found in the Asn-X-Ser/Thr consensus motif of nascent polypeptide chains. This protein is similar in sequence to the yeast oligosaccharyl transferase subunit SWP1.

Limitations

This product is for research use only and is not approved for use in humans or in clinical diagnosis. Primary Antibodies are guaranteed for 1 year from date of receipt.

Customers Who Viewed This Item Also Viewed...

NBP2-01294
Species: Ca, Hu, Pm, Mu, Pm, Rt
Applications: Flow, ICC/IF, IHC,  IHC-P, WB
NBP2-46439
Species: Hu, Mu, Rt
Applications: IHC,  IHC-P, WB
NBP3-38097
Species: Hu, Mu, Rt
Applications: ELISA, ICC/IF, IHC,  IHC-P, WB
H00023263-M01
Species: Hu
Applications: ELISA, IHC,  IHC-P, S-ELISA, WB
NB100-1483
Species: Hu, Mu, Rt
Applications: Flow, ICC/IF, PEP-ELISA, PLA, WB
NBP1-77197
Species: Hu, Mu
Applications: ELISA, ICC/IF, WB
NBP2-19952
Species: Hu
Applications: ICC/IF, KD, WB
NBP2-38323
Species: Hu
Applications: ICC/IF, IHC,  IHC-P, WB
NBP2-31660
Species: Hu
Applications: ICC/IF, IHC,  IHC-P
NBP2-93687
Species: Hu, Mu, Rt
Applications: ICC/IF, IHC,  IHC-P, WB
NBP1-87404
Species: Hu, Mu, Rt
Applications: Flow, ICC/IF, IHC,  IHC-P, KD, WB
NBP1-06274
Species: Ce, Ch, Dr, Hu, Mu, Rt, Sh, Ze
Applications: Flow, ICC/IF, IHC-FrFl, IHC,  IHC-P, Simple Western, WB
NBP2-73636
Species: Ca, Hu, Pm, Mu, Pm, Rt
Applications: CyTOF-ready, Flow, WB
NBP1-80961
Species: Hu, Mu, Rt
Applications: ICC/IF, IHC,  IHC-P, WB
NBP1-80956
Species: Hu, Mu, Rt
Applications: ICC/IF, IHC,  IHC-P, WB
NBP2-00537
Species: Hu, Mu, Rt
Applications: Flow, ICC/IF, IHC,  IHC-P, KO, WB
H00003703-M02
Species: Hu
Applications: ELISA, IHC,  IHC-P, IP, WB
NBP2-22203
Species: Hu, Pm, Mu, Rt
Applications: ELISA, Flow, ICC/IF, IHC,  IHC-P, WB

Publications for Ribophorin II Antibody (NBP2-73907) (0)

There are no publications for Ribophorin II Antibody (NBP2-73907).
By submitting your publication information earn gift cards and discounts for future purchases.

Reviews for Ribophorin II Antibody (NBP2-73907) (0)

There are no reviews for Ribophorin II Antibody (NBP2-73907). By submitting a review you will receive an Amazon e-Gift Card or Novus Product Discount.
  • Review with no image -- $10/€7/£6/$10 CAD/¥70 Yuan/¥1110 Yen
  • Review with an image -- $25/€18/£15/$25 CAD/¥150 Yuan/¥2500 Yen

Product General Protocols

Find general support by application which include: protocols, troubleshooting, illustrated assays, videos and webinars.

Video Protocols

WB Video Protocol

FAQs for Ribophorin II Antibody (NBP2-73907) (0)

There are no specific FAQs related to this product. Read our general customer & technical service FAQs.

Customers Who Bought This Also Bought

Contact Information

Product PDFs

Calculators

Concentration Calculator

The concentration calculator allows you to quickly calculate the volume, mass or concentration of your vial. Simply enter your mass, volume, or concentration values for your reagent and the calculator will determine the rest.

=
÷

Review this Product

Be the first to review our Ribophorin II Antibody (OTI1G9) - Azide and BSA Free and receive a gift card or discount.

Bioinformatics

Gene Symbol RPN2