RB1 Antibody (SY63-03)

Images

 
Western Blot: RB1 Antibody (SY63-03) [NBP2-67453] - Analysis of RB1 on mouse lung tissue lysates with Rabbit anti-Rb antibody at 1/500 dilution. Lysates/proteins at 10 ug/Lane. Predicted band size: 106 kDa Observed band ...read more
Immunocytochemistry/ Immunofluorescence: RB1 Antibody (SY63-03) [NBP2-67453] - ICC staining of RB1 in SW480 cells (green). Formalin fixed cells were permeabilized with 0.1% Triton X-100 in TBS for 10 minutes at room ...read more
Immunohistochemistry-Paraffin: RB1 Antibody (SY63-03) [NBP2-67453] - Analysis of paraffin-embedded human colon carcinoma tissue with Rabbit anti-RB1 antibody washed with ddH2O and PBS, and then probed with the primary ...read more
Western Blot: RB1 Antibody (SY63-03) [NBP2-67453] - Western blot analysis of RB1 on mouse lung tissue lysates. Proteins were transferred to a PVDF membrane and blocked with 5% BSA in PBS for 1 hour at room temperature. ...read more
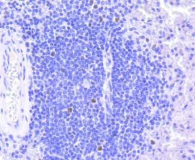
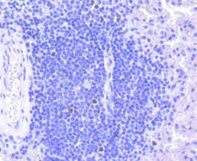
Immunohistochemistry-Paraffin: RB1 Antibody (SY63-03) [NBP2-67453] - Analysis of paraffin-embedded human spleen tissue using anti-Rb antibody. Counter stained with hematoxylin.
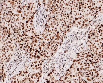
Immunohistochemistry-Paraffin: RB1 Antibody (SY63-03) [NBP2-67453] - Analysis of paraffin-embedded human breast carcinoma tissue using anti-Rb antibody. Counter stained with hematoxylin.
Immunohistochemistry-Paraffin: RB1 Antibody (SY63-03) [NBP2-67453] - Analysis of paraffin-embedded human spleen tissue with Rabbit anti-Rb antibody washed with ddH2O and PBS, and then probed with the primary antibody ...read more
Immunohistochemistry-Paraffin: RB1 Antibody (SY63-03) [NBP2-67453] - Analysis of paraffin-embedded human breast carcinoma tissue with Rabbit anti-Rb antibody. The section was pre-treated using heat mediated antigen ...read more
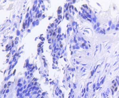
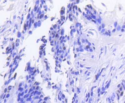
Immunohistochemistry-Paraffin: RB1 Antibody (SY63-03) [NBP2-67453] - Analysis of paraffin-embedded human colon tissue with Rabbit anti-RB1 antibody washed with ddH2O and PBS, and then probed with the primary antibody ...read more

Product Details

Summary
Product Discontinued
View other related RB1 Primary Antibodies

Order Details


    • Catalog Number
      NBP2-67453
    • Availability
      Product Discontinued

    Can't find what you are looking for? Use our Antibody Concierge Service & we will help you locate your antibody!

    Or feel free to contact us for alternative products.

RB1 Antibody (SY63-03) Summary

Additional Information
Recombinant Monoclonal Antibody.
Immunogen
Recombinant protein within mouse RB1 aa 682-921 / 921. (SwissProt: P06400 Human; SwissProt: P13405 Mouse)
Localization
Nucleus.
Isotype
IgG
Clonality
Monoclonal
Host
Rabbit
Gene
RB1
Purity
Protein A purified
Innovator's Reward
Test in a species/application not listed above to receive a full credit towards a future purchase.

Applications/Dilutions

Dilutions
  • Immunocytochemistry/ Immunofluorescence 1:50-1:200
  • Immunohistochemistry
  • Immunohistochemistry-Paraffin 1:50-1:2000
  • Immunoprecipitation
  • Western Blot 1:500-1:1000

Packaging, Storage & Formulations

Storage
Store at 4C short term. Aliquot and store at -20C long term. Avoid freeze-thaw cycles.
Buffer
TBS (pH7.4), 0.05% BSA, 40% Glycerol
Preservative
0.05% Sodium Azide
Concentration
1 mg/ml
Purity
Protein A purified

Alternate Names for RB1 Antibody (SY63-03)

  • OSRC
  • osteosarcoma
  • p105-Rb
  • pp110
  • pRb
  • RB
  • RB1
  • retinoblastoma 1
  • retinoblastoma suspectibility protein
  • retinoblastoma-associated protein

Background

Rb is a tumor suppressor nuclear phosphoprotein capable of binding to DNA. It is phosphorylated on serine and threonine, but not on tyrosine residues. It forms a complex with SV40 large T antigen, adenovirus E1A, and human papilloma virus-16 E. Rb protein may act by regulating transcription and loss of ts function leads to uncontrolled cell growth. Aberrations in the RB gene have been implicated in cancers of breast, colon, prostate, kidney, nasopharynx, and leukemia.

Limitations

This product is for research use only and is not approved for use in humans or in clinical diagnosis. Primary Antibodies are guaranteed for 1 year from date of receipt.

Customers Who Viewed This Item Also Viewed...

NB200-103
Species: Hu, Mu, Rt, Xp(-), Ye
Applications: CyTOF-ready, ELISA, Flow-IC, Flow, ICC/IF, IHC, IHC-Fr,  IHC-P, IP, WB
NB200-106
Species: Mu, Rt
Applications: ELISA, ICC/IF, IHC, IHC-Fr,  IHC-P, WB
NBP2-29463
Species: Pm, Hu, Pm, Mu
Applications: Flow, ICC/IF, IHC,  IHC-P, WB
NBP1-31308
Species: Bv, Hu, Mu, Rt
Applications: ICC/IF, IHC,  IHC-P, Simple Western, WB
NBP2-32840
Species: Hu, Pm, Mu, Rt
Applications: Flow, ICC/IF, IHC,  IHC-P, WB
NBP2-00776
Species: Ca, Hu, Pm, Mu, Rt
Applications: Flow, ICC/IF, IHC,  IHC-P, WB
NBP2-46085
Species: Hu
Applications: IHC,  IHC-P, WB
H00027065-M01
Species: Hu, Rt
Applications: ELISA, ICC/IF, S-ELISA, WB
NBP2-67899
Species: Hu, Mu, Rt
Applications: Flow, ICC/IF, IHC,  IHC-P, IP, WB
NBP1-82455
Species: Hu
Applications: ICC/IF, IHC,  IHC-P, WB
NBP2-33735
Species: Hu
Applications: ICC/IF, IHC,  IHC-P, WB
NBP1-90949
Species: Hu
Applications: IHC,  IHC-P, WB
NBP3-26876
Species: Hu
Applications: IHC,  IHC-P
NBP2-47561
Species: Hu
Applications: ICC/IF, IHC,  IHC-P, WB
NBP1-80616
Species: Hu, Mu, Rt
Applications: IHC,  IHC-P, WB
NBP2-03198
Species: Hu
Applications: Flow, ICC/IF, IHC,  IHC-P, WB
AF1555
Species: Hu
Applications: WB
AF6897
Species: Hu, Mu
Applications: IHC, Simple Western, WB
NB600-302
Species: Bv, Dr, Hu, Mu
Applications: ChIP, ELISA, Flow-IC, Flow, IB, ICC/IF, IHC, IHC-Fr,  IHC-P, IP, PLA, S-ELISA, Simple Western, WB
NB500-106
Species: Ch, Dr, Fi, Hu, Mar, Mu, Po, Pm, Rb, Rt, Ye, Ze
Applications: ChIP, ChIP, ELISA, Flow, ICC/IF, IHC-FrFl, IHC, IHC-Fr,  IHC-P, IP, Simple Western, WB

Publications for RB1 Antibody (NBP2-67453) (0)

There are no publications for RB1 Antibody (NBP2-67453).
By submitting your publication information earn gift cards and discounts for future purchases.

Reviews for RB1 Antibody (NBP2-67453) (0)

There are no reviews for RB1 Antibody (NBP2-67453). By submitting a review you will receive an Amazon e-Gift Card or Novus Product Discount.
  • Review with no image -- $10/€7/£6/$10 CAD/¥70 Yuan/¥1110 Yen
  • Review with an image -- $25/€18/£15/$25 CAD/¥150 Yuan/¥2500 Yen

Product General Protocols

Find general support by application which include: protocols, troubleshooting, illustrated assays, videos and webinars.

Video Protocols

WB Video Protocol
ICC/IF Video Protocol

FAQs for RB1 Antibody (NBP2-67453) (0)

There are no specific FAQs related to this product. Read our general customer & technical service FAQs.

Contact Information

Product PDFs

Calculators

Concentration Calculator

The concentration calculator allows you to quickly calculate the volume, mass or concentration of your vial. Simply enter your mass, volume, or concentration values for your reagent and the calculator will determine the rest.

=
÷

Review this Product

Be the first to review our RB1 Antibody (SY63-03) and receive a gift card or discount.

Bioinformatics

Gene Symbol RB1