RAG1AP1 Antibody - BSA Free

Images

 
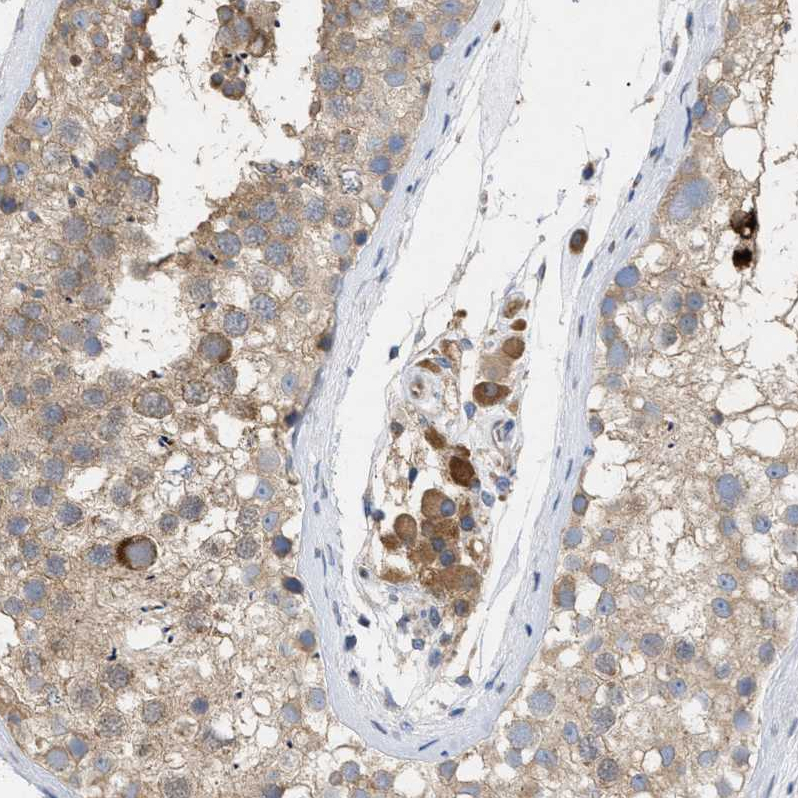
Immunohistochemistry-Paraffin: RAG1AP1 Antibody [NBP1-92311] - Staining of human epididymis shows strong cytoplasmic positivity in glandular cells.
Staining of human prostate shows moderate cytoplasmic membranous positivity in glandular cells.
Staining of human testis shows moderate cytoplasmic membranous positivity in Leydig cells and weak cytoplasmic membranous positivity in cells in seminiferous cells.
Staining of human pancreas shows strong cytoplasmic membranous positivity in exocrine glandular cells.
Staining of human duodenum shows moderate cytoplasmic membranous positivity in glandular cells and lymphoid cells.

Product Details

Summary
Reactivity HuSpecies Glossary
Applications IHC
Clonality
Polyclonal
Host
Rabbit
Conjugate
Unconjugated
Format
BSA Free

Order Details

View Available Formulations
Catalog# & Formulation Size Price

RAG1AP1 Antibody - BSA Free Summary

Description
Novus Biologicals Rabbit RAG1AP1 Antibody - BSA Free (NBP1-92311) is a polyclonal antibody validated for use in IHC. All Novus Biologicals antibodies are covered by our 100% guarantee.
Immunogen
This antibody was developed against Recombinant Protein corresponding to amino acids: RMTRSVDNVQFLPFLTTEVNNLGWLSYGALKGDG
Isotype
IgG
Clonality
Polyclonal
Host
Rabbit
Gene
SLC50A1
Purity
Affinity purified
Innovator's Reward
Test in a species/application not listed above to receive a full credit towards a future purchase.

Applications/Dilutions

Dilutions
  • Immunohistochemistry 1:20 - 1:50
  • Immunohistochemistry-Paraffin 1:20 - 1:50
Application Notes
For IHC-Paraffin, HIER pH 6 retrieval is recommended.
Control Peptide
RAG1AP1 Protein (NBP1-92311PEP)

Reactivity Notes

Immunogen displays the following percentage of sequence identity for non-tested species: Mouse (82%), Rat (85%)

Packaging, Storage & Formulations

Storage
Store at 4C short term. Aliquot and store at -20C long term. Avoid freeze-thaw cycles.
Buffer
PBS (pH 7.2) and 40% Glycerol
Preservative
0.02% Sodium Azide
Purity
Affinity purified

Alternate Names for RAG1AP1 Antibody - BSA Free

  • HsSWEET1RAG1-activating protein 1
  • probable sugar transporter RAG1AP1
  • RAG1AP1SWEET1
  • recombination activating gene 1 activating protein 1
  • RZPDo834D038D
  • SCPRP11-540D14.5
  • slv
  • solute carrier family 50 (sugar transporter), member 1
  • Solute carrier family 50 member 1
  • Stromal cell protein

Limitations

This product is for research use only and is not approved for use in humans or in clinical diagnosis. Primary Antibodies are guaranteed for 1 year from date of receipt.

Customers Who Viewed This Item Also Viewed...

NB100-93444
Species: Hu
Applications: PEP-ELISA, WB
NBP2-15698
Species: Hu, Mu, Rt
Applications: IHC,  IHC-P, WB
NBP1-85958
Species: Hu, Mu, Rt
Applications: ICC/IF, IHC,  IHC-P, WB
AF2005
Species: Hu
Applications: CyTOF-ready, Flow, IHC, WB
NBP1-90214
Species: Hu
Applications: ICC/IF, IHC,  IHC-P, WB
NBP2-94045
Species: Hu, Mu, Rt
Applications: ELISA, ICC/IF, WB
NBP3-09392
Species: Hu, Mu
Applications: WB
NBP2-52546
Species: Hu, Mu
Applications: CyTOF-ready, ELISA, Flow, ICC/IF, IHC,  IHC-P, WB
NBP2-92783
Species: Hu, Mu, Rt
Applications: IHC,  IHC-P, WB
NBP3-15868
Species: Hu, Mu, Rt
Applications: ELISA, ICC/IF, IHC,  IHC-P, WB
H00001392-M02
Species: Hu
Applications: ELISA, IHC,  IHC-P, S-ELISA, WB
NBP3-12450
Species: Hu, Mu
Applications: ELISA, IHC,  IHC-P, WB
MAB4937
Species: Hu
Applications: CyTOF-ready, ICFlow, WB
NBP2-01743
Species: Hu
Applications: Flow, ICC/IF, IHC,  IHC-P, WB
NBP1-88927
Species: Hu, Mu
Applications: ICC/IF, IHC,  IHC-P, WB
NBP1-32870
Species: Ch, Hu
Applications: IHC,  IHC-P, IP, KD, WB
NB100-2564
Species: Hu
Applications: WB
NBP1-91258
Species: Bv, Ca, Eq, Fe, Hu, Mu, Po, Rt
Applications: ICC/IF, IHC, IHC-Fr,  IHC-P, Simple Western, WB

Publications for RAG1AP1 Antibody (NBP1-92311) (0)

There are no publications for RAG1AP1 Antibody (NBP1-92311).
By submitting your publication information earn gift cards and discounts for future purchases.

Reviews for RAG1AP1 Antibody (NBP1-92311) (0)

There are no reviews for RAG1AP1 Antibody (NBP1-92311). By submitting a review you will receive an Amazon e-Gift Card or Novus Product Discount.
  • Review with no image -- $10/€7/£6/$10 CAD/¥70 Yuan/¥1110 Yen
  • Review with an image -- $25/€18/£15/$25 CAD/¥150 Yuan/¥2500 Yen

Product General Protocols

Find general support by application which include: protocols, troubleshooting, illustrated assays, videos and webinars.

FAQs for RAG1AP1 Antibody (NBP1-92311) (0)

There are no specific FAQs related to this product. Read our general customer & technical service FAQs.

Customers Who Bought This Also Bought

Contact Information

Product PDFs

Calculators

Concentration Calculator

The concentration calculator allows you to quickly calculate the volume, mass or concentration of your vial. Simply enter your mass, volume, or concentration values for your reagent and the calculator will determine the rest.

=
÷

Review this Product

Be the first to review our RAG1AP1 Antibody - BSA Free and receive a gift card or discount.

Bioinformatics

Gene Symbol SLC50A1