RAD18 Antibody (SN66-01)

Images

 
Western Blot: RAD18 Antibody (SN66-01) [NBP2-67669] - Analysis of RAD18 on different lysates using anti-RAD18 antibody at 1/1,000 dilution. Positive control: Lane 1: NIH/3T3 Lane 2: 293T Lane 3: MCF-7
Immunocytochemistry/ Immunofluorescence: RAD18 Antibody (SN66-01) [NBP2-67669] - Staining RAD18 in NIH/3T3 cells (green). The nuclear counter stain is DAPI (blue). Cells were fixed in paraformaldehyde, permeabilised ...read more
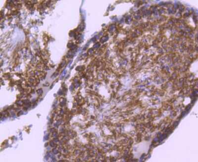
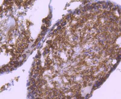
Immunohistochemistry-Paraffin: RAD18 Antibody (SN66-01) [NBP2-67669] - Analysis of paraffin-embedded rat testis tissue using anti-RAD18 antibody. Counter stained with hematoxylin.
Flow Cytometry: RAD18 Antibody (SN66-01) [NBP2-67669] - Analysis of Hela cells with RAD18 antibody at 1/50 dilution (red) compared with an unlabelled control (cells without incubation with primary antibody; black). ...read more
Immunocytochemistry/ Immunofluorescence: RAD18 Antibody (SN66-01) [NBP2-67669] - Staining RAD18 in 293 cells (green). The nuclear counter stain is DAPI (blue). Cells were fixed in paraformaldehyde, permeabilised with ...read more
Immunocytochemistry/ Immunofluorescence: RAD18 Antibody (SN66-01) [NBP2-67669] - Staining RAD18 in Hela cells (green). The nuclear counter stain is DAPI (blue). Cells were fixed in paraformaldehyde, permeabilised with ...read more

Product Details

Summary
Product Discontinued
View other related RAD18 Primary Antibodies

Order Details


    • Catalog Number
      NBP2-67669
    • Availability
      Product Discontinued

    Can't find what you are looking for? Use our Antibody Concierge Service & we will help you locate your antibody!

    Or feel free to contact us for alternative products.

RAD18 Antibody (SN66-01) Summary

Additional Information
Recombinant Monoclonal Antibody.
Immunogen
Synthetic peptide within Human RAD18 aa 50-99 / 495. (SwissProt: Q9NS91 Human; SwissProt: Q9QXK2 Mouse; Unigene: 22793 Rat)
Localization
Nucleus, Cytoplasm.
Isotype
IgG
Clonality
Monoclonal
Host
Rabbit
Gene
RAD18
Purity
Protein A purified
Innovator's Reward
Test in a species/application not listed above to receive a full credit towards a future purchase.

Applications/Dilutions

Dilutions
  • Flow Cytometry 1:50-1:100
  • Immunocytochemistry/ Immunofluorescence 1:100-1:500
  • Immunohistochemistry
  • Immunohistochemistry-Paraffin 1:50-1:200
  • Western Blot 1:1000-1:2000

Packaging, Storage & Formulations

Storage
Store at 4C short term. Aliquot and store at -20C long term. Avoid freeze-thaw cycles.
Buffer
TBS (pH7.4), 0.05% BSA, 40% Glycerol
Preservative
0.05% Sodium Azide
Concentration
1 mg/ml
Purity
Protein A purified

Alternate Names for RAD18 Antibody (SN66-01)

  • EC 6.3.2.-
  • hHR18
  • hRAD18
  • postreplication repair protein hRAD18p
  • Postreplication repair protein RAD18
  • RAD18 homolog (S. cerevisiae)
  • RAD18, S. cerevisiae, homolog
  • RING finger protein 73
  • RNF73E3 ubiquitin-protein ligase RAD18

Background

RAD18 is encoded by this gene is highly similar to S. cerevisiae DNA damage repair protein Rad18. Yeast Rad18 functions through its interaction with Rad6, which is an ubiquitin-conjugating enzyme required for post-replication repair of damaged DNA. Similar to its yeast counterpart, this protein is able to interact with the human homolog of yeast Rad6 protein through a conserved ring-finger motif. Mutation of this motif results in defective replication of UV-damaged DNA and hypersensitivity to multiple mutagens.

Limitations

This product is for research use only and is not approved for use in humans or in clinical diagnosis. Primary Antibodies are guaranteed for 1 year from date of receipt.

Customers Who Viewed This Item Also Viewed...

NB500-106
Species: Ch, Dr, Fi, Hu, Mar, Mu, Po, Pm, Rb, Rt, Ye, Ze
Applications: ChIP, ChIP, ELISA, Flow, ICC/IF, IHC-FrFl, IHC, IHC-Fr,  IHC-P, IP, Simple Western, WB
NB100-565
Species: Hu, Mu, Rt
Applications: ICC/IF, IHC,  IHC-P, IP, KO, WB
H00005980-Q01
Species: Hu
Applications: ELISA, AP, PA, WB
NBP2-58116
Species: Hu
Applications: ICC/IF, KD, WB
NB100-469
Species: Hu, Mu
Applications: ICC/IF, IP, WB
NB100-148
Species: Ch, Hu, Mu, Rt
Applications: ChIP, ICC/IF, IHC, IHC-Fr,  IHC-P, IP, In vitro, KD, PLA, WB
NB100-56360
Species: Hu
Applications: WB
NBP2-13266
Species: Hu
Applications: ICC/IF, IHC,  IHC-P
PP-H4417-00
Species: Hu
Applications: DirELISA, IP, WB
NB100-150
Species: Hu, Mu
Applications: ChIP, ICC/IF, IP, Simple Western, WB
NB100-60424
Species: Hu
Applications: IP, WB
NBP1-89150
Species: Hu
Applications: IHC,  IHC-P, WB
NBP1-76593
Species: Hu, Mu, Rt
Applications: ELISA, ICC/IF, IHC,  IHC-P, WB
H00011026-M01
Species: Hu
Applications: ELISA, WB
NBP1-31302
Species: Hu, Mu, Rt
Applications: ICC/IF, IHC,  IHC-P, KO, WB
NBP3-15271
Species: Hu, Mu, Rt
Applications: IHC,  IHC-P, WB
NBP3-42115
Species: Hu
Applications: WB
NBP2-01020
Species: Hu, Mu
Applications: Flow, ICC/IF, IHC,  IHC-P, WB

Publications for RAD18 Antibody (NBP2-67669) (0)

There are no publications for RAD18 Antibody (NBP2-67669).
By submitting your publication information earn gift cards and discounts for future purchases.

Reviews for RAD18 Antibody (NBP2-67669) (0)

There are no reviews for RAD18 Antibody (NBP2-67669). By submitting a review you will receive an Amazon e-Gift Card or Novus Product Discount.
  • Review with no image -- $10/€7/£6/$10 CAD/¥70 Yuan/¥1110 Yen
  • Review with an image -- $25/€18/£15/$25 CAD/¥150 Yuan/¥2500 Yen

Product General Protocols

Find general support by application which include: protocols, troubleshooting, illustrated assays, videos and webinars.

Video Protocols

WB Video Protocol
ICC/IF Video Protocol

FAQs for RAD18 Antibody (NBP2-67669) (0)

There are no specific FAQs related to this product. Read our general customer & technical service FAQs.

Secondary Antibodies

 

Isotype Controls

Additional RAD18 Products

Research Areas for RAD18 Antibody (NBP2-67669)

Find related products by research area.

Blogs on RAD18

There are no specific blogs for RAD18, but you can read our latest blog posts.

Contact Information

Product PDFs

Calculators

Concentration Calculator

The concentration calculator allows you to quickly calculate the volume, mass or concentration of your vial. Simply enter your mass, volume, or concentration values for your reagent and the calculator will determine the rest.

=
÷

Review this Product

Be the first to review our RAD18 Antibody (SN66-01) and receive a gift card or discount.

Bioinformatics

Gene Symbol RAD18